Telefon:
+49 (0)241 95 163 153
Fax:
+49 (0)241 95 163 155
E-Mail:
orders@antikoerper-online.de

SUMO3 Antikörper (C-Term)

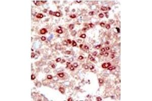
Der Kaninchen Polyklonal anti-SUMO3 Antikörper wird verwendet zum Nachweis von SUMO3 in Proben von Human und Maus. Er wurde validiert für WB, EIA und IHC (p).
Produktnummer ABIN356741
870,77 €
Zzgl. Versandkosten 20,00 € und MwSt
0.4 mL
Lieferung nach: Deutschland
Lieferung in 16 Werktagen

Kurzübersicht für SUMO3 Antikörper (C-Term) (ABIN356741)

Target

Alle SUMO3 Antikörper anzeigen
SUMO3 (Small Ubiquitin Related Modifier 3 (SUMO3))

Reaktivität

  • 45
  • 17
  • 16
  • 3
  • 3
  • 3
  • 2
  • 2
  • 2
  • 2
  • 2
  • 1
  • 1
  • 1
  • 1
  • 1
Human, Maus

Wirt

  • 28
  • 17
  • 2
Kaninchen

Klonalität

  • 34
  • 14
Polyklonal

Konjugat

  • 32
  • 3
  • 3
  • 2
  • 1
  • 1
  • 1
  • 1
  • 1
  • 1
  • 1
  • 1
Dieser SUMO3 Antikörper ist unkonjugiert

Applikation

  • 34
  • 22
  • 8
  • 6
  • 3
  • 1
  • 1
  • 1
Western Blotting (WB), Enzyme Immunoassay (EIA), Immunohistochemistry (Paraffin-embedded Sections) (IHC (p))
  • Bindungsspezifität

    • 7
    • 6
    • 3
    • 2
    • 1
    • 1
    • 1
    • 1
    • 1
    • 1
    C-Term

    Spezifität

    This antibody is specific to SUMO2/3 (C-term).

    Aufreinigung

    Protein G Chromatography, eluted with high and low pH buffers and neutralized immediately, followed by dialysis against PBS.

    Immunogen

    This antibody is generated from rabbits immunized with a KLH conjugated synthetic peptide selected within C-terminal region of human SUMO2/3.

    Isotyp

    Ig Fraction
  • Applikationshinweise

    ELISA: 1/1,000. Western blot: 1/100-1/500. Immunohistochemistry: 1/50-1/100.
    Other applications not tested.
    Optimal dilutions are dependent on conditions and should be determined by the user.

    Beschränkungen

    Nur für Forschungszwecke einsetzbar
  • Format

    Liquid

    Konzentration

    0.25 mg/mL

    Buffer

    PBS containing 0.09 % (W/V) Sodium Azide as preservative.

    Konservierungsmittel

    Sodium azide

    Vorsichtsmaßnahmen

    This product contains sodium azide: a POISONOUS AND HAZARDOUS SUBSTANCE which should be handled by trained staff only.

    Handhabung

    Avoid repeated freezing and thawing.

    Lagerung

    4 °C/-20 °C

    Informationen zur Lagerung

    Store the antibody undiluted at 2-8 °C for one month or (in aliquots) at-20 °C for longer.
  • Target

    SUMO3 (Small Ubiquitin Related Modifier 3 (SUMO3))

    Andere Bezeichnung

    SUMO3 / SMT3A

    Hintergrund

    SUMO2 and SUMO3 are members of the SUMO (small ubiquitin-like modifier) protein family. This protein family functions in a manner similar to ubiquitin in that it is bound to target proteins as part of a post-translational modification system. However, unlike ubiquitin which targets proteins for degradation, this protein is involved in a variety of cellular processes, such as nuclear transport, transcriptional regulation, apoptosis, and protein stability. In vertebrates, three members of the SUMO family have been described, SUMO 1 and the functionally distinct homologues SUMO 2 and SUMO 3. SUMO modification sites present in the N terminal regions of SUMO 2 and SUMO 3 are utilized by SAE1/SAE2 (SUMO E1) and Ubc9 (SUMO E2) to form polymeric chains of SUMO 2 and SUMO 3 on protein substrates, a property not shared by SUMO 1.Synonyms: HSMT3, SMT3 homolog 1, SMT3B, SMT3H1, SMT3H2, SUMO-2, SUMO-3, Sentrin-2, Small ubiquitin-like modifier

    Gen-ID

    6612, 9606

    UniProt

    P55854
Sie sind hier:
Chat with us!