Telefon:
+49 (0)241 95 163 153
Fax:
+49 (0)241 95 163 155
E-Mail:
orders@antikoerper-online.de

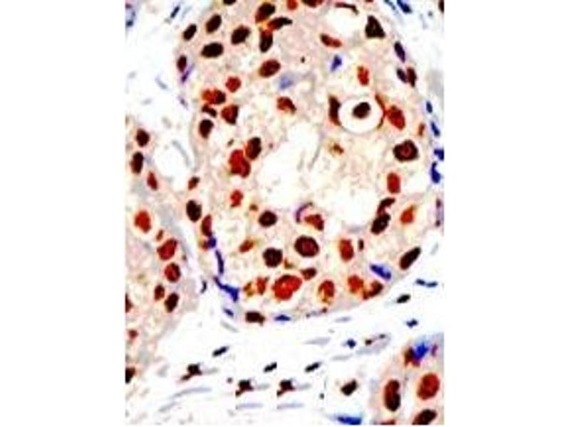
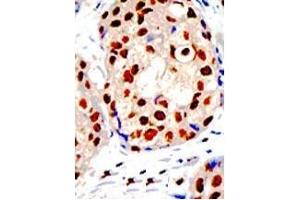
PRMT1 Antikörper (C-Term)

Der Kaninchen Polyklonal anti-PRMT1 Antikörper wird verwendet zum Nachweis von PRMT1 in Proben von Human. Er wurde validiert für WB, IHC (p) und EIA.
Produktnummer ABIN356519
870,77 €
Zzgl. Versandkosten 20,00 € und MwSt
0.4 mL
Lieferung nach: Deutschland
Lieferung in 16 Werktagen

Kurzübersicht für PRMT1 Antikörper (C-Term) (ABIN356519)

Target

Alle PRMT1 Antikörper anzeigen
PRMT1 (Protein Arginine Methyltransferase 1 (PRMT1))

Reaktivität

  • 84
  • 55
  • 40
  • 8
  • 6
  • 5
  • 5
  • 4
  • 3
  • 2
  • 2
  • 2
  • 2
  • 1
  • 1
Human

Wirt

  • 77
  • 7
  • 1
Kaninchen

Klonalität

  • 49
  • 36
Polyklonal

Konjugat

  • 42
  • 7
  • 4
  • 4
  • 4
  • 4
  • 4
  • 4
  • 3
  • 3
  • 2
  • 2
  • 1
  • 1
Dieser PRMT1 Antikörper ist unkonjugiert

Applikation

  • 65
  • 50
  • 28
  • 23
  • 15
  • 10
  • 7
  • 5
  • 3
  • 1
  • 1
Western Blotting (WB), Immunohistochemistry (Paraffin-embedded Sections) (IHC (p)), Enzyme Immunoassay (EIA)
  • Bindungsspezifität

    • 9
    • 6
    • 5
    • 3
    • 3
    • 2
    • 2
    • 2
    • 1
    • 1
    • 1
    • 1
    • 1
    • 1
    • 1
    C-Term

    Spezifität

    This antibody is specific to PRMT1 (C-term).

    Aufreinigung

    Protein G Chromatography eluted with high and low pH buffers and neutralized immediately, followed by dialysis against PBS.

    Immunogen

    This antibody is generated from rabbits immunized with a KLH conjugated synthetic peptide selected from the C-terminal region of human PRMT1.

    Isotyp

    Ig Fraction
  • Applikationshinweise

    ELISA: 1/1,000. Western blotting: 1/50-1/100. Immunohistochemistry: 1/50-1/100.
    Other applications not tested.
    Optimal dilutions are dependent on conditions and should be determined by the user.

    Beschränkungen

    Nur für Forschungszwecke einsetzbar
  • Format

    Liquid

    Konzentration

    0.25 mg/mL

    Buffer

    PBS containing 0.09 % (W/V) Sodium Azide as preservative.

    Konservierungsmittel

    Sodium azide

    Vorsichtsmaßnahmen

    This product contains sodium azide: a POISONOUS AND HAZARDOUS SUBSTANCE which should be handled by trained staff only.

    Handhabung

    Avoid repeated freezing and thawing.

    Lagerung

    4 °C/-20 °C

    Informationen zur Lagerung

    Store the antibody undiluted at 2-8 °C for one month or (in aliquots) at-20 °C for longer.
  • Target

    PRMT1 (Protein Arginine Methyltransferase 1 (PRMT1))

    Andere Bezeichnung

    PRMT1

    Hintergrund

    Arginine methylation is an irreversible post translational modification which has only recently been linked to protein activity. At least three types of PRMT enzymes have been identified in mammalian cells. These enzymes have been shown to have essential regulatory functions by methylation of key proteins in several fundamental areas. These protein include nuclear proteins, IL enhancer binding factor, nuclear factors, cell cycle proteins, signal transduction proteins, apoptosis proteins, and viral proteins. The mammalian PRMT family currently consists of 7 members that share two large domains of homology. Outside of these domains, epitopes were identified and antibodies against all 7 PRMT members have been developed.Synonyms: HMT2, HRMT1L2, Histone-arginine N-methyltransferase PRMT1, IR1B4, Interferon receptor 1-bound protein 4, Protein arginine N-methyltransferase 1

    Gen-ID

    3276, 9606

    UniProt

    Q99873
Sie sind hier:
Chat with us!