Telefon:
+49 (0)241 95 163 153
Fax:
+49 (0)241 95 163 155
E-Mail:
orders@antikoerper-online.de

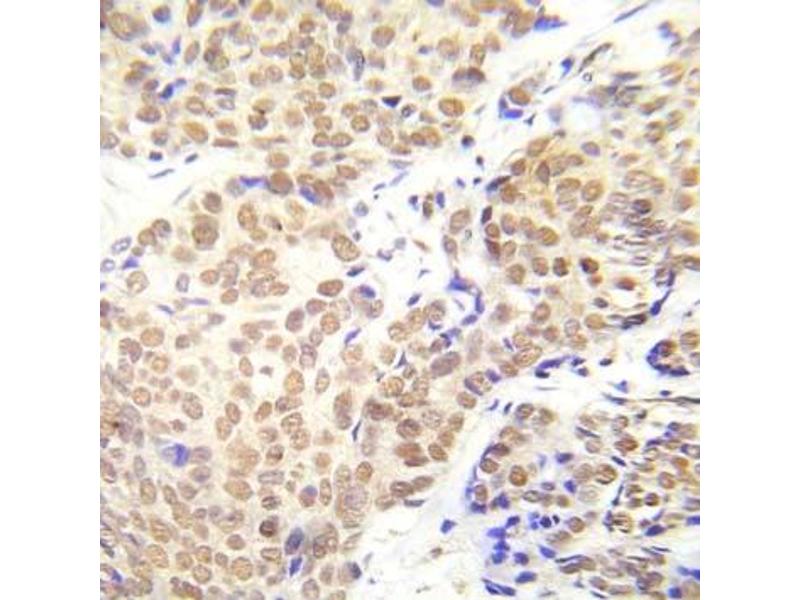
HDAC1 Antikörper (pSer421, pSer423)

Der Kaninchen Polyklonal anti-HDAC1 Antikörper (ABIN349270) detektiert spezifisch HDAC1 in WB und IHC. Dieser Antikörper reagiert spezifisch mit Proben aus Human, Maus und Ratte.
Produktnummer ABIN349270
659,62 €
Zzgl. Versandkosten 20,00 € und MwSt
Lieferung nach: Deutschland
Lieferung in 10 bis 13 Werktagen

Kurzübersicht für HDAC1 Antikörper (pSer421, pSer423) (ABIN349270)

Target

Alle HDAC1 Antikörper anzeigen
HDAC1 (Histone Deacetylase 1 (HDAC1))

Reaktivität

  • 158
  • 91
  • 74
  • 9
  • 9
  • 8
  • 7
  • 7
  • 6
  • 4
  • 3
  • 2
  • 1
  • 1
  • 1
Human, Maus, Ratte

Wirt

  • 135
  • 27
  • 2
Kaninchen

Klonalität

  • 121
  • 43
Polyklonal

Konjugat

  • 114
  • 8
  • 6
  • 6
  • 3
  • 3
  • 3
  • 3
  • 3
  • 3
  • 3
  • 3
  • 2
  • 2
  • 1
  • 1
Dieser HDAC1 Antikörper ist unkonjugiert

Applikation

  • 125
  • 73
  • 58
  • 55
  • 28
  • 25
  • 22
  • 18
  • 8
  • 4
  • 4
  • 3
  • 2
  • 2
  • 2
  • 1
  • 1
  • 1
  • 1
  • 1
  • 1
  • 1
  • 1
Western Blotting (WB), Immunohistochemistry (IHC)
Sie sind hier:
Chat with us!