Telefon:
+49 (0)241 95 163 153
Fax:
+49 (0)241 95 163 155
E-Mail:
orders@antikoerper-online.de

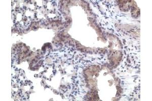
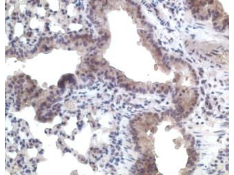
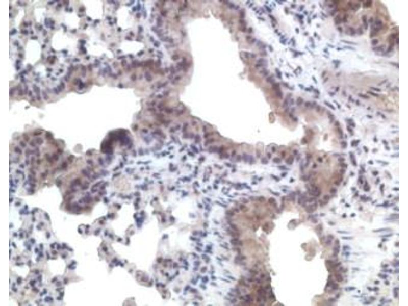
CCRL1 Antikörper (AA 4-31)

Der Ziege Polyklonal anti-CCRL1 Antikörper wird verwendet zum Nachweis von CCRL1 in Proben von Human und Maus. Er wurde validiert für WB, ELISA, IHC und IHC (p).
Produktnummer ABIN342752
1.019,59 €
Zzgl. Versandkosten 20,00 € und MwSt
200 μg
Lieferung nach: Deutschland
Lieferung in 15 bis 20 Werktagen

Kurzübersicht für CCRL1 Antikörper (AA 4-31) (ABIN342752)

Target

Alle CCRL1 Antikörper anzeigen
CCRL1 (Chemokine (C-C Motif) Receptor-Like 1 (CCRL1))

Reaktivität

  • 21
  • 11
  • 4
  • 3
  • 2
  • 2
  • 2
  • 2
  • 1
  • 1
  • 1
Human, Maus

Wirt

  • 18
  • 2
  • 1
Ziege

Klonalität

  • 19
  • 2
Polyklonal

Konjugat

  • 20
  • 1
Dieser CCRL1 Antikörper ist unkonjugiert

Applikation

  • 15
  • 12
  • 10
  • 4
  • 4
  • 1
  • 1
  • 1
  • 1
Western Blotting (WB), ELISA, Immunohistochemistry (IHC), Immunohistochemistry (Paraffin-embedded Sections) (IHC (p))
  • Bindungsspezifität

    • 6
    • 3
    • 2
    • 1
    • 1
    • 1
    • 1
    • 1
    • 1
    • 1
    AA 4-31

    Spezifität

    Peptide sequence is <50 % identical to other human chemokine receptors in this region. This antibody cross-reacts with mouse CCR11 (CCRL1). Note that mouse CCRL2 is also referred to as CCR11 and the sequence differs.

    Homologie

    Percent identity by BLAST analysis: Human, Gorilla, Gibbon (100%) Monkey, Marmoset (93%) Panda, Porcine, Dog, Rabbit, Horse (86%) Mouse, Hamster, Elephant, Bovine, Opossum (82%).

    Aufreinigung

    Immunoaffinity purified

    Immunogen

    Synthetic peptide EQNQSTDYYYEENEMNGTYDYSQYELIC corresponding to amino acids 4-31 of human CCR11. Percent identity by BLAST analysis: Human, Gorilla, Gibbon (100%), Monkey, Marmoset (93%), Panda, Porcine, Dog, Rabbit, Horse (86%), Mouse, Hamster, Elephant, Bovine, Opossum (82%).

    Type of Immunogen: Synthetic peptide
  • Applikationshinweise

    Approved: ELISA (1:35000), IHC, IHC-P (1:125), WB (1:500)

    Kommentare

    Target Species of Antibody: Human

    Beschränkungen

    Nur für Forschungszwecke einsetzbar
  • Format

    Liquid

    Konzentration

    Lot specific

    Buffer

    10 mM KHPO4, 140 mM NaCl with 1 mg/mL BSA and 0.1 % sodium azide

    Konservierungsmittel

    Sodium azide

    Vorsichtsmaßnahmen

    This product contains Sodium azide: a POISONOUS AND HAZARDOUS SUBSTANCE which should be handled by trained staff only.

    Handhabung

    Avoid freeze-thaw cycles.

    Lagerung

    -20 °C

    Informationen zur Lagerung

    Aliquot and freeze at -20°C. Avoid freeze-thaw cycles.
  • Target

    CCRL1 (Chemokine (C-C Motif) Receptor-Like 1 (CCRL1))

    Andere Bezeichnung

    ACKR4 / CCRL1 / CCR11

    Hintergrund

    Name/Gene ID: ACKR4
    Subfamily: Chemokine
    Family: GPCR

    Synonyms: ACKR4, C-C CKR-11, CC-CKR-11, CC chemokine receptor-like 1, CCR11, CCX CKR, C-C chemokine receptor type 11, CKR-11, CCRL1, VSHK1, CCR-11, CCX-CKR, PPR1

    Gen-ID

    51554

    UniProt

    Q9NPB9
Sie sind hier:
Chat with us!