Telefon:
+49 (0)241 95 163 153
Fax:
+49 (0)241 95 163 155
E-Mail:
orders@antikoerper-online.de

SKP2 Antikörper

Dieser Maus Monoklonal Antikörper detektiert spezifisch SKP2 in WB, IHC, ELISA, IP und IHC (p). Es zeigt Reaktivität gegenüber Proben von Human.
Produktnummer ABIN337213
639,37 €
Zzgl. Versandkosten 20,00 € und MwSt
50 μg
Lieferung nach: Deutschland
Lieferung in 15 bis 20 Werktagen

Kurzübersicht für SKP2 Antikörper (ABIN337213)

Target

Alle SKP2 Antikörper anzeigen
SKP2 (S-Phase Kinase-Associated Protein 2 (SKP2))

Reaktivität

  • 103
  • 48
  • 46
  • 5
  • 5
  • 2
  • 1
  • 1
  • 1
  • 1
Human

Wirt

  • 96
  • 8
  • 1
Maus

Klonalität

  • 68
  • 36
Monoklonal

Konjugat

  • 48
  • 6
  • 4
  • 4
  • 4
  • 4
  • 4
  • 4
  • 3
  • 3
  • 3
  • 2
  • 2
  • 2
  • 1
  • 1
  • 1
  • 1
  • 1
  • 1
  • 1
  • 1
  • 1
  • 1
  • 1
  • 1
Dieser SKP2 Antikörper ist unkonjugiert

Applikation

  • 73
  • 43
  • 31
  • 29
  • 28
  • 21
  • 13
  • 13
  • 13
  • 11
  • 3
  • 1
  • 1
  • 1
  • 1
Western Blotting (WB), Immunohistochemistry (IHC), ELISA, Immunoprecipitation (IP), Immunohistochemistry (Paraffin-embedded Sections) (IHC (p))
  • Spezifität

    Recognizes only human p45SKP2. Cross-reactivity with related endogenous proteins has not been observed.

    Aufreinigung

    Protein A purified

    Immunogen

    Recombinant, full-length human p45SKP2 protein.

    Type of Immunogen: Recombinant protein

    Isotyp

    IgG1 kappa
  • Applikationshinweise

    Approved: ELISA (0.1 - 1 μg/mL), IHC, IHC-P (5 μg/mL), IP, WB (1 - 2 μg/mL)

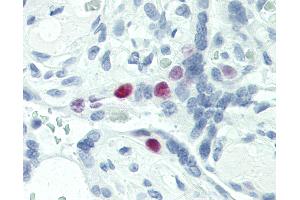
    Usage: Immunohistochemistry: This antibody was validated for use in immunohistochemistry on a panel of 21 formalin-fixed, paraffin-embedded (FFPE) human tissues after heat induced antigen retrieval in  pH 6.0 citrate buffer. After incubation with the primary antibody, slides were incubated with biotinylated secondary antibody, followed by alkaline phosphatase-streptavidin and chromogen. The stained slides were evaluated by a pathologist to confirm staining specificity. The optimal working concentration for this antibody was determined to be 5 μg/mL. Positive control: HeLa, Jurkat and 293T cell lines.

    Kommentare

    Target Species of Antibody: Human

    Beschränkungen

    Nur für Forschungszwecke einsetzbar
  • Format

    Liquid

    Konzentration

    Lot specific

    Buffer

    PBS,  pH 7.4, 0.09 % sodium azide.

    Konservierungsmittel

    Sodium azide

    Vorsichtsmaßnahmen

    This product contains Sodium azide: a POISONOUS AND HAZARDOUS SUBSTANCE which should be handled by trained staff only.

    Handhabung

    Avoid repeated freezing and thawing.

    Lagerung

    4 °C,-20 °C

    Informationen zur Lagerung

    Short term: 4°C. Long term: Store at -20°C. Avoid freeze-thaw cycles.
  • Target

    SKP2 (S-Phase Kinase-Associated Protein 2 (SKP2))

    Andere Bezeichnung

    SKP2

    Hintergrund

    Name/Gene ID: SKP2

    Synonyms: SKP2, F-box/LRR-repeat protein 1, FBL1, FLB1, F-box protein Skp2, FBXL1, p45, p45skp2

    Gen-ID

    6502

    UniProt

    Q13309

    Pathways

    Mitotic G1-G1/S Phases
Sie sind hier:
Chat with us!