GOT2 Antikörper (AA 295-306)
Kurzübersicht für GOT2 Antikörper (AA 295-306) (ABIN337180)
Target
Alle GOT2 Antikörper anzeigenReaktivität
Wirt
Klonalität
Konjugat
Applikation
-
-
Bindungsspezifität
- AA 295-306
-
Spezifität
- Human GOT2.
-
Homologie
- Percent identity by BLAST analysis: Human, Gorilla, Orangutan, Monkey, Marmoset, Hamster, Panda, Horse, Opossum (100%) Mouse, Rat, Bovine, Pig, Catfish, Salmon, Zebrafish (92%) Elephant, Turkey, Chicken, Platypus, Xenopus, Pufferfish, Poplar, Castor bean (83%).
-
Aufreinigung
- Immunoaffinity purified
-
Immunogen
-
Synthetic peptide CKDADEAKRVES from an internal region of human GOT2 (NP_002071.2). Percent identity by BLAST analysis: Human, Gorilla, Orangutan, Monkey, Marmoset, Hamster, Panda, Horse, Opossum (100%), Mouse, Rat, Bovine, Pig, Catfish, Salmon, Zebrafish (92%), Elephant, Turkey, Chicken, Platypus, Xenopus, Pufferfish, Poplar, Castor bean (83%).
Type of Immunogen: Synthetic peptide
-
-
-
-
Applikationshinweise
-
Approved: IHC, IHC-P (5 μg/mL), Peptide-ELISA (1:32000), WB (0.03 - 0.1 μg/mL)
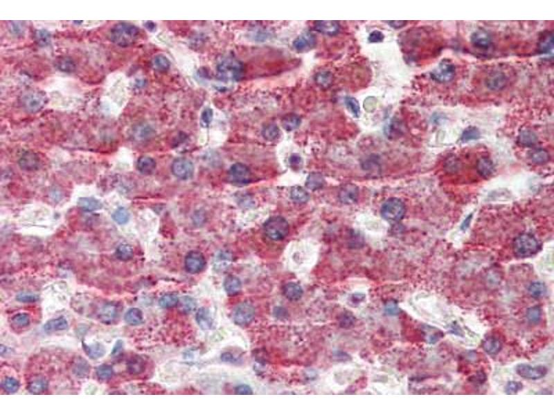
Usage: Immunohistochemistry: This antibody was validated for use in immunohistochemistry on a panel of 21 formalin-fixed, paraffin-embedded (FFPE) human tissues after heat induced antigen retrieval in pH 6.0 citrate buffer. After incubation with the primary antibody, slides were incubated with biotinylated secondary antibody, followed by alkaline phosphatase-streptavidin and chromogen. The stained slides were evaluated by a pathologist to confirm staining specificity. The optimal working concentration for this antibody was determined to be 5 μg/mL. -
Kommentare
-
Target Species of Antibody: Human
-
Beschränkungen
- Nur für Forschungszwecke einsetzbar
-
-
-
Format
- Liquid
-
Konzentration
- Lot specific
-
Buffer
- Tris-buffered saline, pH 7.3, 0.5 % BSA, 0.02 % sodium azide
-
Konservierungsmittel
- Sodium azide
-
Vorsichtsmaßnahmen
- This product contains Sodium azide: a POISONOUS AND HAZARDOUS SUBSTANCE which should be handled by trained staff only.
-
Handhabung
- Minimize freezing and thawing.
-
Lagerung
- -20 °C
-
Informationen zur Lagerung
- Store at -20°C. Avoid freeze-thaw cycles.
-
-
- GOT2 (Glutamic-Oxaloacetic Transaminase 2, Mitochondrial (Aspartate Aminotransferase 2) (GOT2))
-
Andere Bezeichnung
- GOT2
-
Hintergrund
-
Name/Gene ID: GOT2
Synonyms: GOT2, FABP-1, MitAAT, Transaminase A, FABPpm, Fatty acid-binding protein, KAT4, KATIV, Kynurenine aminotransferase IV, MAspAT -
Gen-ID
- 2806
-
NCBI Accession
- NP_002071
-
UniProt
- P00505
-
Pathways
- Monocarboxylic Acid Catabolic Process
Target
-