Telefon:
+49 (0)241 95 163 153
Fax:
+49 (0)241 95 163 155
E-Mail:
orders@antikoerper-online.de

CES1 Antikörper (Internal Region)

Dieser Ziege Polyklonal Antikörper detektiert spezifisch CES1 in WB, IHC und ELISA. Es zeigt Reaktivität gegenüber Proben von Human.
Produktnummer ABIN334372
488,25 €
Zzgl. Versandkosten 20,00 € und MwSt
100 μg
Lieferung nach: Deutschland
Lieferung in 5 bis 8 Werktagen

Kurzübersicht für CES1 Antikörper (Internal Region) (ABIN334372)

Target

Alle CES1 Antikörper anzeigen
CES1 (Carboxylesterase 1 (CES1))

Reaktivität

  • 34
  • 18
  • 17
  • 5
  • 4
  • 4
  • 4
  • 2
  • 2
  • 1
  • 1
  • 1
Human

Wirt

  • 39
  • 5
  • 1
Ziege

Klonalität

  • 40
  • 5
Polyklonal

Konjugat

  • 31
  • 4
  • 2
  • 2
  • 1
  • 1
  • 1
  • 1
  • 1
  • 1
Dieser CES1 Antikörper ist unkonjugiert

Applikation

  • 33
  • 13
  • 12
  • 11
  • 6
  • 6
  • 4
  • 3
  • 2
  • 2
  • 2
  • 2
Western Blotting (WB), Immunohistochemistry (IHC), ELISA

Güteklasse

Verified
  • Bindungsspezifität

    • 6
    • 4
    • 3
    • 2
    • 2
    • 2
    • 1
    • 1
    • 1
    • 1
    • 1
    • 1
    Internal Region

    Verwendungszweck

    CES1

    Sequenz

    NTQAAQKLKD KE

    Spezifität

    This antibody is expected to recognise all three reported isoforms (NP_001020366.1, NP_001020365.1, NP_001257.4).

    Kreuzreaktivität

    Human

    Aufreinigung

    Purified from goat serum by ammonium sulphate precipitation followed by antigen affinity chromatography using the immunizing peptide.

    Immunogen

    Peptide with sequence C-NTQAAQKLKDKE, from the internal region (near C terminus) of the protein sequence according to NP_001020366.1, NP_001020365.1, NP_001257.4.

    Isotyp

    IgG
  • Applikationshinweise

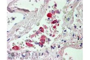
    Immunohistochemistry: In paraffin embedded Human Lung shows staining of lymphocytes in the vasculature.. Recommended concentration, 2-3 μg/mL.

    Western Blot: Approx 55-60 kDa band observed in Human Liver and Ileum lysates (calculated MW of 62.6 kDa according to NP_001020366.1). In transfected HEK293 transiently expressing CES1 a band of approx. 65 kDa is observed. This band is not observed in the n

    Peptide ELISA: antibody detection limit dilution 1:8000.

    Beschränkungen

    Nur für Forschungszwecke einsetzbar
  • Format

    Liquid

    Konzentration

    0.5 mg/mL

    Buffer

    Supplied at 0.5 mg/mL in Tris saline, 0.02 % sodium azide, pH 7.3 with 0.5 % bovine serum albumin.

    Konservierungsmittel

    Sodium azide

    Vorsichtsmaßnahmen

    This product contains Sodium azide: a POISONOUS AND HAZARDOUS SUBSTANCE which should be handled by trained staff only.

    Handhabung

    Minimize freezing and thawing.

    Lagerung

    -20 °C

    Informationen zur Lagerung

    Aliquot and store at -20°C, with minimal freeze/thawing. A working aliquot may be refrigerated at 4°C for a few weeks and still remain viable.
  • Target

    CES1 (Carboxylesterase 1 (CES1))

    Andere Bezeichnung

    CES1

    Hintergrund

    CES1, carboxylesterase 1 (monocyte/macrophage serine esterase 1), ACAT, CEH, CES2, HMSE, HMSE1, MGC117365, PCE-1, SES1, TGH, acyl coenzyme A:cholesterol acyltransferase, carboxylesterase 1, carboxylesterase 2 (liver), cholesteryl ester hydrolase, egasyn,

    Gen-ID

    1066

    NCBI Accession

    NP_001020366, NP_001020365, NP_001257

    Pathways

    Monocarboxylic Acid Catabolic Process
Sie sind hier:
Chat with us!