GALNT6 Antikörper (AA 61-110)
Kurzübersicht für GALNT6 Antikörper (AA 61-110) (ABIN321163)
Target
Alle GALNT6 Antikörper anzeigenReaktivität
Wirt
Klonalität
Konjugat
Applikation
-
-
Bindungsspezifität
- AA 61-110
-
Spezifität
- Human GALNT6
-
Homologie
- Percent identity by BLAST analysis: Human, Dog, Bovine, Horse (100%) Rat, Xenopus (92%) Rabbit (85%).
-
Aufreinigung
- Protein A purified
-
Immunogen
-
Synthetic peptide located between aa61-110 of human GALNT6 (Q8NCL4, NP_009141). Percent identity by BLAST analysis: Human, Gorilla, Gibbon, Monkey, Galago, Marmoset, Mouse, Dog, Bovine, Horse (100%), Rat, Elephant, Bat, Lizard, Xenopus (92%), Rabbit, Zebra finch (85%), Guinea pig (84%).
Type of Immunogen: Synthetic peptide -
Isotyp
- IgG
-
-
-
-
Applikationshinweise
-
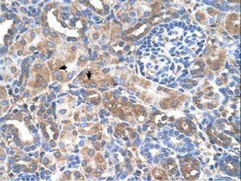
Approved: IHC, IHC-P, WB
Usage: ELISA titer using peptide based assay: 1:1562500. Western Blot: Suggested dilution at 5.0 μg/mL in 5 % skim milk / PBS buffer, and HRP conjugated anti-Rabbit IgG should be diluted in 1:50000 - 100000 as second antibody. -
Kommentare
-
Target Species of Antibody: Human
-
Beschränkungen
- Nur für Forschungszwecke einsetzbar
-
-
-
Format
- Lyophilized
-
Rekonstitution
- Distilled Water.
-
Konzentration
- Lot specific
-
Buffer
- Lyophilized from PBS with 2 % sucrose
-
Handhabung
- Avoid repeat freeze-thaw cycles.
-
Lagerung
- 4 °C,-20 °C
-
Informationen zur Lagerung
-
Long term: -20°C, the use of 50% glycerol is recommended if storing aliquots in -20°C for long term use (up to 1 year)
Short term (less than 1 week): 4°C. Avoid freeze-thaw cycles.
-
-
- GALNT6 (UDP-N-Acetyl-alpha-D-Galactosamine:polypeptide N-Acetylgalactosaminyltransferase 6 (GalNAc-T6) (GALNT6))
-
Andere Bezeichnung
- GALNT6
-
Hintergrund
-
Name/Gene ID: GALNT6
Synonyms: GALNT6, GalNAc transferase 6, GALNAC-T6, GalNAcT6, Pp-GaNTase 6 -
Gen-ID
- 11226
-
NCBI Accession
- NP_009141
-
UniProt
- Q8NCL4
Target
-