Telefon:
+49 (0)241 95 163 153
Fax:
+49 (0)241 95 163 155
E-Mail:
orders@antikoerper-online.de

Estrogen Receptor alpha Antikörper (AA 410-592)

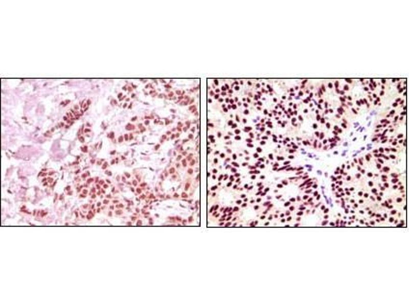
Dieser Maus Monoklonal Antikörper detektiert spezifisch Estrogen Receptor alpha in WB, IHC und ELISA. Es zeigt Reaktivität gegenüber Proben von Human.
Produktnummer ABIN3210000
748,15 €
Zzgl. Versandkosten 20,00 € und MwSt
100 μL
Lieferung nach: Deutschland
Lieferung in 20 bis 27 Werktagen

Kurzübersicht für Estrogen Receptor alpha Antikörper (AA 410-592) (ABIN3210000)

Target

Alle Estrogen Receptor alpha (ESR1) Antikörper anzeigen
Estrogen Receptor alpha (ESR1) (Estrogen Receptor 1 (ESR1))

Reaktivität

  • 572
  • 186
  • 176
  • 19
  • 18
  • 14
  • 10
  • 7
  • 7
  • 4
  • 3
  • 3
  • 2
  • 2
  • 1
Human

Wirt

  • 418
  • 163
  • 1
Maus

Klonalität

  • 360
  • 223
  • 1
Monoklonal

Konjugat

  • 239
  • 41
  • 21
  • 18
  • 15
  • 12
  • 12
  • 12
  • 12
  • 12
  • 12
  • 11
  • 11
  • 11
  • 11
  • 11
  • 11
  • 10
  • 8
  • 8
  • 8
  • 8
  • 8
  • 8
  • 8
  • 8
  • 8
  • 8
  • 8
  • 7
  • 3
  • 3
  • 1
Dieser Estrogen Receptor alpha Antikörper ist unkonjugiert

Applikation

  • 404
  • 203
  • 180
  • 161
  • 121
  • 94
  • 80
  • 56
  • 56
  • 53
  • 33
  • 28
  • 22
  • 15
  • 7
  • 7
  • 4
  • 3
  • 2
  • 2
  • 2
  • 1
  • 1
  • 1
  • 1
  • 1
  • 1
  • 1
  • 1
Western Blotting (WB), Immunohistochemistry (IHC), ELISA

Klon

2B7
  • Bindungsspezifität

    • 34
    • 33
    • 32
    • 30
    • 30
    • 29
    • 28
    • 16
    • 16
    • 16
    • 16
    • 16
    • 15
    • 15
    • 13
    • 11
    • 11
    • 9
    • 9
    • 9
    • 8
    • 7
    • 7
    • 7
    • 4
    • 4
    • 4
    • 4
    • 3
    • 3
    • 3
    • 3
    • 2
    • 2
    • 2
    • 2
    • 2
    • 2
    • 2
    • 2
    • 2
    • 2
    • 2
    • 2
    • 2
    • 2
    • 2
    • 2
    • 2
    • 2
    AA 410-592

    Aufreinigung

    Purified antibody.

    Immunogen

    ER alpha antibody was raised in Mouse using a purified recombinant fragment of human ER-alpha (410-592 aa) expressed in E. coli as the immunogen.

    Isotyp

    IgG1
  • Applikationshinweise

    ELISA: 1:10,000, IHC: 1:200-1:1000, WB: 1:500-1:2000
    Optimal conditions should be determined by the investigator.

    Beschränkungen

    Nur für Forschungszwecke einsetzbar
  • Konzentration

    Lot specific

    Buffer

    Purified antibody supplied in PBS containing 0.03 % sodium azide.

    Konservierungsmittel

    Sodium azide

    Vorsichtsmaßnahmen

    This product contains Sodium Azide: a POISONOUS AND HAZARDOUS SUBSTANCE, which should be handled by trained staff only.

    Handhabung

    Avoid repeated freeze/thaw cycles.
    Dilute only prior to immediate use.

    Lagerung

    4 °C/-20 °C

    Informationen zur Lagerung

    Store at 4 °C for short term storage. Store at -20 °C for long term storage.
  • Target

    Estrogen Receptor alpha (ESR1) (Estrogen Receptor 1 (ESR1))

    Andere Bezeichnung

    ER alpha

    Hintergrund

    The estrogen receptor (ESR) is a ligand-activated transcription factor composed of several domains important for hormone binding, DNA binding, and activation of transcription. Alternative splicing results in several ESR1 mRNA transcripts, which differ primarily in their 5-prime untranslated regions. The translated receptors show less variability. Synonyms: Monoclonal ER alpha antibody, Anti-ER alpha antibody, Estrogen receptor alpha antibody, ERA antibody, NR3A1 antibody.

    Pathways

    Nuclear Receptor Transcription Pathway, EGFR Signaling Pathway, Retinoic Acid Receptor Signaling Pathway, Intracellular Steroid Hormone Receptor Signaling Pathway, Steroid Hormone Mediated Signaling Pathway, Ribonucleoprotein Complex Subunit Organization, Ribosome Assembly
Sie sind hier:
Chat with us!