×
Aktivieren Sie Javascript in Ihrem Browser, um unsere Webseite optimal zu nutzen.
IREM1 Antikörper (Internal Region)
Der Kaninchen Polyklonal anti-IREM1 Antikörper (ABIN3187967) detektiert spezifisch IREM1 in ELISA, WB und IHC (p).
Dieser Antikörper reagiert spezifisch mit Proben aus Human.
Produktnummer ABIN3187967
377,51 €
Zzgl. Versandkosten 20,00 € und MwSt
50 μL ABIN6283929
100 μL ABIN3187967
200 μL ABIN3178491
50 μL ABIN6283929
100 μL ABIN3187967
200 μL ABIN3178491
Lieferung in 8 bis 10 Werktagen
Kurzübersicht für IREM1 Antikörper (Internal Region) (ABIN3187967)
Target
Alle IREM1 Antikörper anzeigen
IREM1
(Immune Receptor Expressed On Myeloid Cells 1 (IREM1))
Reaktivität
Alle Reaktivitäten für IREM1 Antikörper
Human
Wirt
Alle Wirte für IREM1 Antikörper
Kaninchen
Klonalität
Alle Klonalitäten für IREM1 Antikörper
Polyklonal
Konjugat
Alle Konjugate für IREM1 Antikörper
Dieser IREM1 Antikörper ist unkonjugiert
Applikation
Alle Applikationen für IREM1 Antikörper
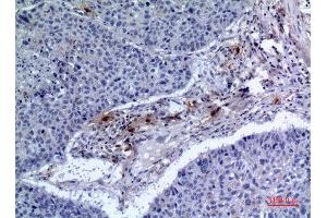
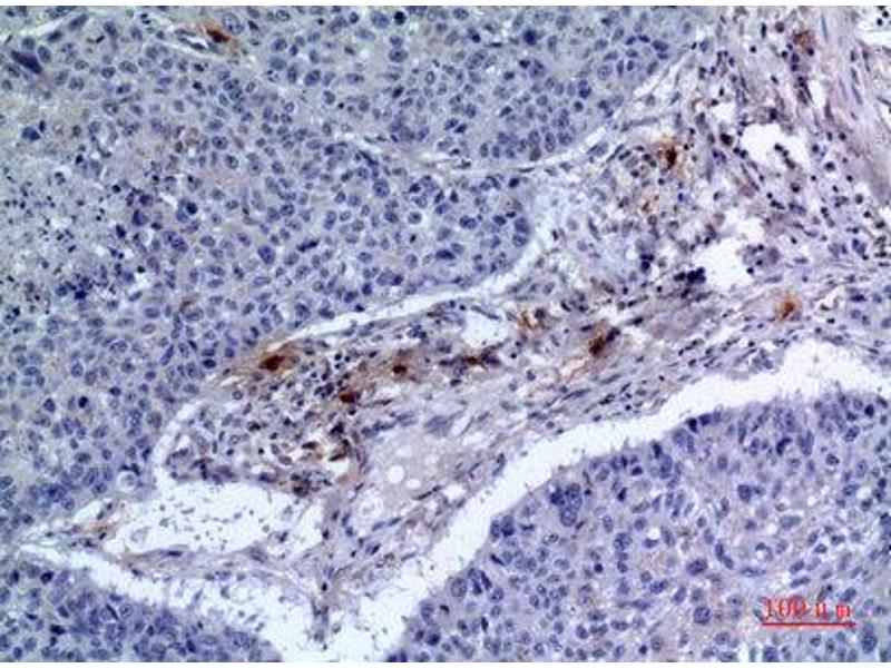
ELISA, Western Blotting (WB), Immunohistochemistry (Paraffin-embedded Sections) (IHC (p))
Produktdetails anti-IREM1 Antikörper
(ausblenden)
Bindungsspezifität
Alle Epitope für IREM1 Antikörper
Internal Region
Spezifität
CD300f Polyclonal Antibody detects endogenous levels of CD300f protein.
Produktmerkmale
Rabbit Polyclonal to CD300f.
Aufreinigung
The antibody was affinity-purified from rabbit antiserum by affinity-chromatography using epitope-specific immunogen.
Immunogen
Synthesized peptide derived from the Internal region of human CD300f.
Isotyp
IgG
Alternativen
(anzeigen)
Anwendungsinformationen
(ausblenden)
Applikationshinweise
WB 1:500-1:2000, IHC-P 1:100-1:300, ELISA 1:20000,
Beschränkungen
Nur für Forschungszwecke einsetzbar
Handhabung
(ausblenden)
Format
Liquid
Konzentration
1 mg/mL
Buffer
Liquid in PBS containing 50 % glycerol, 0.5 % BSA and 0.02 % sodium azide.
Konservierungsmittel
Sodium azide
Vorsichtsmaßnahmen
This product contains Sodium azide: a POISONOUS AND HAZARDOUS SUBSTANCE which should be handled by trained staff only.
Handhabung
Avoid repeated freeze/thaw cycles.
Lagerung
-20 °C
Informationen zur Lagerung
Store at -20°C.
Details zu IREM1
(ausblenden)
Target
IREM1
(Immune Receptor Expressed On Myeloid Cells 1 (IREM1))
Andere Bezeichnung
CD300f
Molekulargewicht
30 kDa
Gen-ID
146722
UniProt
Q8TDQ1
Zuletzt angesehen
(ausblenden)
Sie sind hier:
Startseite
anti-IREM1 Antikörper (Internal Region) (ABIN3187967)
Chat with us , powered by LiveChat