×
Aktivieren Sie Javascript in Ihrem Browser, um unsere Webseite optimal zu nutzen.
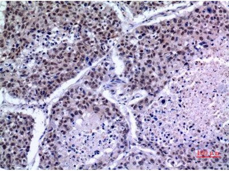
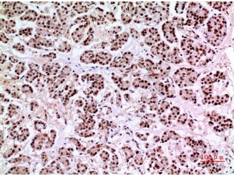
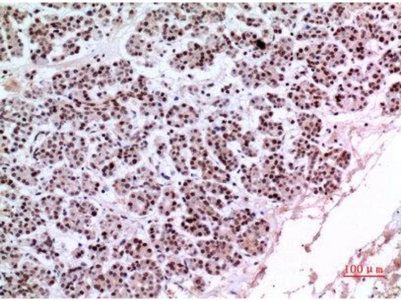
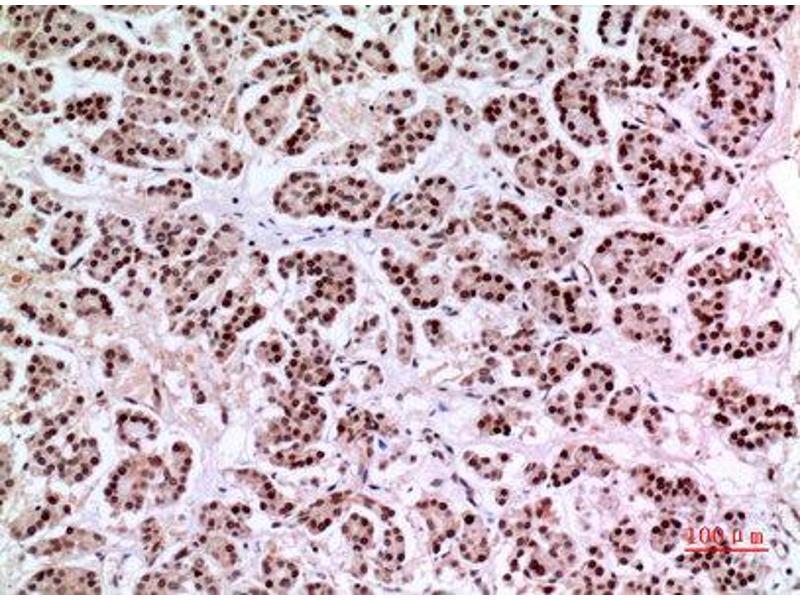
KLF13 Antikörper
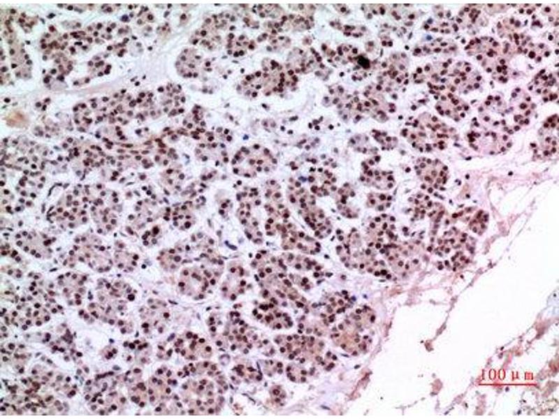
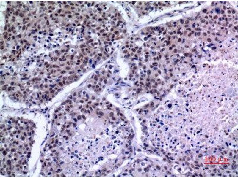
Der Kaninchen Polyklonal anti-KLF13 Antikörper (ABIN3187843) detektiert spezifisch KLF13 in WB, ELISA und IHC (p).
Dieser Antikörper reagiert spezifisch mit Proben aus Human und Maus.
Produktnummer ABIN3187843
377,51 €
Zzgl. Versandkosten 20,00 € und MwSt
50 μL ABIN6288651
100 μL ABIN3187843
200 μL ABIN3178359
50 μL ABIN6288651
100 μL ABIN3187843
200 μL ABIN3178359
Lieferung in 8 bis 10 Werktagen
Kurzübersicht für KLF13 Antikörper (ABIN3187843)
Target
Alle KLF13 Antikörper anzeigen
KLF13
(Kruppel-Like Factor 13 (KLF13))
Reaktivität
Alle Reaktivitäten für KLF13 Antikörper
Human, Maus
Wirt
Alle Wirte für KLF13 Antikörper
Kaninchen
Klonalität
Alle Klonalitäten für KLF13 Antikörper
Polyklonal
Konjugat
Alle Konjugate für KLF13 Antikörper
Dieser KLF13 Antikörper ist unkonjugiert
Applikation
Alle Applikationen für KLF13 Antikörper
Western Blotting (WB), ELISA, Immunohistochemistry (Paraffin-embedded Sections) (IHC (p))
Produktdetails anti-KLF13 Antikörper
(ausblenden)
Spezifität
KLF13 Polyclonal Antibody detects endogenous levels of KLF13 protein.
Produktmerkmale
Rabbit Polyclonal to KLF13.
Aufreinigung
The antibody was affinity-purified from rabbit antiserum by affinity-chromatography using epitope-specific immunogen.
Immunogen
Synthesized peptide derived from human KLF13 around the non-acetylation site of K166.
Isotyp
IgG
Alternativen
(anzeigen)
Anwendungsinformationen
(ausblenden)
Applikationshinweise
WB 1:500-1:2000, IHC-P 1:100-1:300, ELISA 1:20000,
Beschränkungen
Nur für Forschungszwecke einsetzbar
Handhabung
(ausblenden)
Format
Liquid
Konzentration
1 mg/mL
Buffer
Liquid in PBS containing 50 % glycerol, 0.5 % BSA and 0.02 % sodium azide.
Konservierungsmittel
Sodium azide
Vorsichtsmaßnahmen
This product contains Sodium azide: a POISONOUS AND HAZARDOUS SUBSTANCE which should be handled by trained staff only.
Handhabung
Avoid repeated freeze/thaw cycles.
Lagerung
-20 °C
Informationen zur Lagerung
Store at -20°C.
Details zu KLF13
(ausblenden)
Target
KLF13
(Kruppel-Like Factor 13 (KLF13))
Andere Bezeichnung
KLF13
Molekulargewicht
31 kDa
Gen-ID
51621
UniProt
Q9Y2Y9
Zuletzt angesehen
(ausblenden)
Chat with us , powered by LiveChat