Telefon:
+49 (0)241 95 163 153
Fax:
+49 (0)241 95 163 155
E-Mail:
orders@antikoerper-online.de

P57 (Ser24) Antikörper

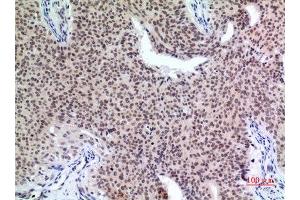
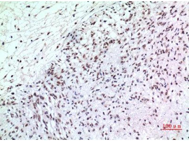
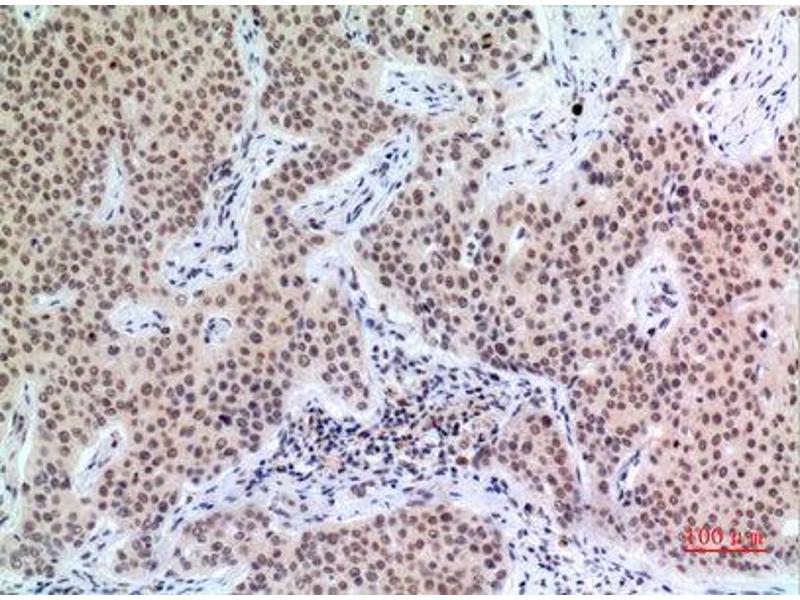
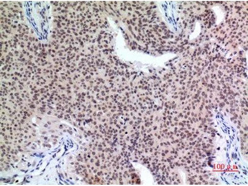
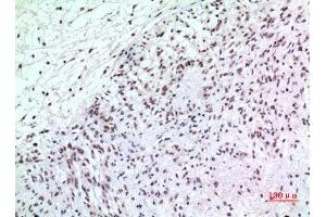
Der Kaninchen Polyklonal anti-P57 Antikörper (ABIN3181022) detektiert spezifisch P57 in IHC (p), WB und ELISA. Dieser Antikörper reagiert spezifisch mit Proben aus Human, Maus und Ratte.
Produktnummer ABIN3181022
377,51 €
Zzgl. Versandkosten 20,00 € und MwSt
Lieferung nach: Deutschland
Lieferung in 8 bis 10 Werktagen

Kurzübersicht für P57 (Ser24) Antikörper (ABIN3181022)

Target

P57

Reaktivität

Human, Maus, Ratte

Wirt

  • 5
  • 5
Kaninchen

Klonalität

  • 5
  • 5
Polyklonal

Konjugat

  • 10
Unkonjugiert

Applikation

  • 8
  • 6
  • 6
  • 5
  • 3
  • 2
  • 1
Immunohistochemistry (Paraffin-embedded Sections) (IHC (p)), Western Blotting (WB), ELISA
  • Bindungsspezifität

    • 2
    • 2
    • 1
    Ser24

    Spezifität

    P57 Polyclonal Antibody detects endogenous levels of p57 protein.

    Produktmerkmale

    Rabbit Polyclonal to p57.

    Aufreinigung

    The antibody was affinity-purified from rabbit antiserum by affinity-chromatography using epitope-specific immunogen.

    Immunogen

    Synthesized peptide derived from human p57 around the non-acetylation site of K278.

    Isotyp

    IgG
  • Applikationshinweise

    WB 1:500-1:2000, IHC-P 1:100-1:300, ELISA 1:20000,

    Beschränkungen

    Nur für Forschungszwecke einsetzbar
  • Format

    Liquid

    Konzentration

    1 mg/mL

    Buffer

    Liquid in PBS containing 50 % glycerol, 0.5 % BSA and 0.02 % sodium azide.

    Konservierungsmittel

    Sodium azide

    Vorsichtsmaßnahmen

    This product contains Sodium azide: a POISONOUS AND HAZARDOUS SUBSTANCE which should be handled by trained staff only.

    Handhabung

    Avoid repeated freeze/thaw cycles.

    Lagerung

    -20 °C

    Informationen zur Lagerung

    Store at -20°C.
  • Target

    P57

    Molekulargewicht

    89 kDa

    Gen-ID

    1028

    UniProt

    P49918
Sie sind hier:
Chat with us!