Telefon:
+49 (0)241 95 163 153
Fax:
+49 (0)241 95 163 155
E-Mail:
orders@antikoerper-online.de

IDS Antikörper (Internal Region)

Dieser Ziege Polyklonal Antikörper detektiert spezifisch IDS in WB, IHC und ELISA. Es zeigt Reaktivität gegenüber Proben von Human.
Produktnummer ABIN308452
488,25 €
Zzgl. Versandkosten 20,00 € und MwSt
100 μg
Lieferung nach: Deutschland
Lieferung in 5 bis 8 Werktagen

Kurzübersicht für IDS Antikörper (Internal Region) (ABIN308452)

Target

Alle IDS Antikörper anzeigen
IDS (Iduronate 2-Sulfatase (IDS))

Reaktivität

  • 43
  • 10
  • 7
  • 3
  • 3
  • 2
  • 2
  • 2
Human

Wirt

  • 35
  • 10
  • 2
Ziege

Klonalität

  • 40
  • 7
Polyklonal

Konjugat

  • 32
  • 2
  • 1
  • 1
  • 1
  • 1
  • 1
  • 1
  • 1
  • 1
  • 1
  • 1
  • 1
  • 1
  • 1
Dieser IDS Antikörper ist unkonjugiert

Applikation

  • 45
  • 17
  • 13
  • 13
  • 12
  • 8
  • 6
  • 6
  • 5
  • 5
  • 3
Western Blotting (WB), Immunohistochemistry (IHC), ELISA

Güteklasse

Verified
  • Bindungsspezifität

    • 15
    • 4
    • 3
    • 2
    • 2
    • 2
    • 2
    • 1
    • 1
    • 1
    • 1
    • 1
    • 1
    • 1
    Internal Region

    Verwendungszweck

    IDS

    Sequenz

    KHFRFRDLEE DP

    Spezifität

    This antibody is expected to recognize isoform a (NP_000193.1).

    Kreuzreaktivität

    Human

    Aufreinigung

    Purified from goat serum by ammonium sulphate precipitation followed by antigen affinity chromatography using the immunizing peptide.

    Isotyp

    IgG
  • Applikationshinweise

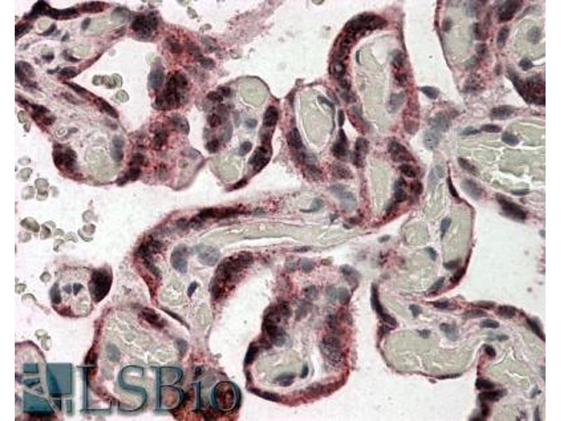
    Immunohistochemistry: In paraffin embedded Human Placenta shows lysosomal staining of trophoblasts. Recommended concentration: 3-5 μg/mL.

    Western Blot: Approx. 60 kDa band observed in Human Liver lysates (calculated MW of 61.9 kDa according to NP_000193.1). Recommended concentration: 0.1-0.3 μg/mL.

    Peptide ELISA: antibody detection limit dilution 1:16000.

    Beschränkungen

    Nur für Forschungszwecke einsetzbar
  • Format

    Liquid

    Konzentration

    0.5 mg/mL

    Buffer

    Supplied at 0.5 mg/mL in Tris saline, 0.02 % sodium azide, pH 7.3 with 0.5 % bovine serum albumin.

    Konservierungsmittel

    Sodium azide

    Vorsichtsmaßnahmen

    This product contains Sodium azide: a POISONOUS AND HAZARDOUS SUBSTANCE which should be handled by trained staff only.

    Handhabung

    Minimize freezing and thawing.

    Lagerung

    -20 °C

    Informationen zur Lagerung

    Aliquot and store at -20°C, with minimal freeze/thawing. A working aliquot may be refrigerated at 4°C for a few weeks and still remain viable.
  • Target

    IDS (Iduronate 2-Sulfatase (IDS))

    Andere Bezeichnung

    IDS

    Hintergrund

    IDS, iduronate 2-sulfatase (Hunter syndrome), MPS2, SIDS, iduronate-2-sulfatase

    Gen-ID

    3423

    NCBI Accession

    NP_000193

    Pathways

    Glycosaminoglycan Metabolic Process
Sie sind hier:
Chat with us!