Telefon:
+49 (0)241 95 163 153
Fax:
+49 (0)241 95 163 155
E-Mail:
orders@antikoerper-online.de

MAG Antikörper (C-Term)

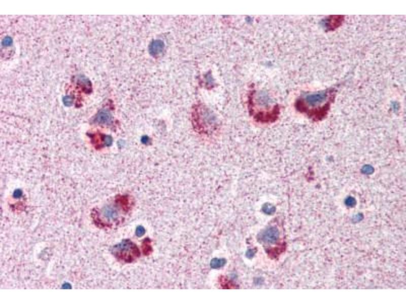
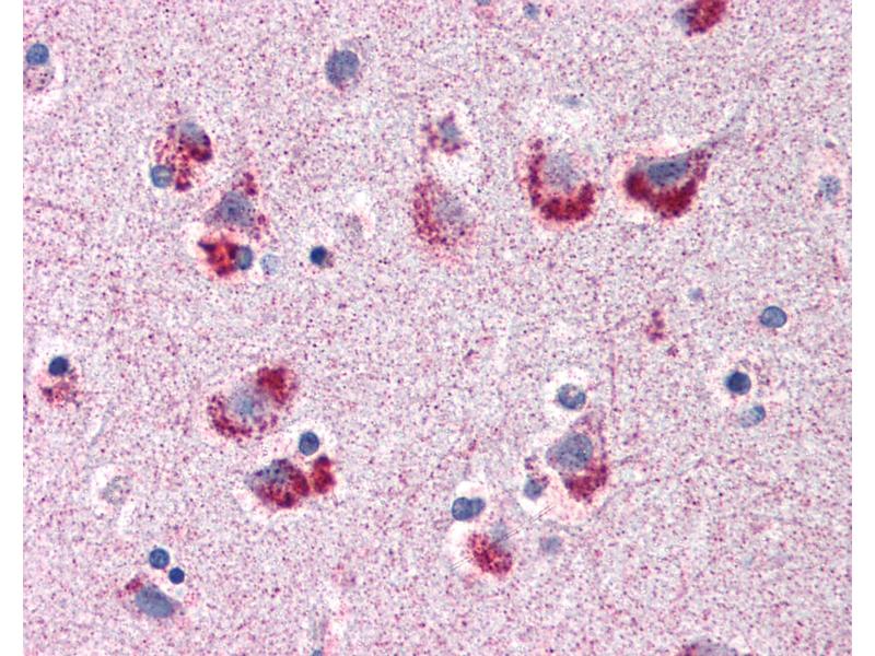
Der Kaninchen Polyklonal anti-MAG Antikörper wird verwendet zum Nachweis von MAG in Proben von Human und Ratte. Er wurde validiert für WB, IHC, IP, IF und IHC (p).
Produktnummer ABIN307172
639,37 €
Zzgl. Versandkosten 20,00 € und MwSt
50 μg
Lieferung nach: Deutschland
Lieferung in 15 bis 20 Werktagen

Kurzübersicht für MAG Antikörper (C-Term) (ABIN307172)

Target

Alle MAG Antikörper anzeigen
MAG (Myelin Associated Glycoprotein (MAG))

Reaktivität

  • 79
  • 45
  • 40
  • 3
  • 2
  • 2
  • 1
  • 1
  • 1
  • 1
  • 1
  • 1
  • 1
Human, Ratte

Wirt

  • 66
  • 11
  • 5
Kaninchen

Klonalität

  • 55
  • 27
Polyklonal

Konjugat

  • 40
  • 5
  • 4
  • 3
  • 2
  • 2
  • 2
  • 2
  • 2
  • 2
  • 2
  • 2
  • 1
  • 1
  • 1
  • 1
  • 1
  • 1
  • 1
  • 1
  • 1
  • 1
  • 1
  • 1
  • 1
  • 1
Dieser MAG Antikörper ist unkonjugiert

Applikation

  • 67
  • 28
  • 22
  • 15
  • 13
  • 13
  • 13
  • 10
  • 4
  • 3
  • 3
  • 1
  • 1
  • 1
Western Blotting (WB), Immunohistochemistry (IHC), Immunoprecipitation (IP), Immunofluorescence (IF), Immunohistochemistry (Paraffin-embedded Sections) (IHC (p))
  • Bindungsspezifität

    • 15
    • 8
    • 6
    • 5
    • 3
    • 3
    • 2
    • 2
    • 2
    • 2
    • 2
    • 2
    • 1
    • 1
    • 1
    C-Term

    Spezifität

    Reacts with the shared C-terminal region of the small and large myelin-associated glycoprotein.

    Aufreinigung

    Immunoaffinity purified

    Immunogen

    Human S/L-MAG fusion protein with a C-terminal region insert.

    Type of Immunogen: Fusion protein
  • Applikationshinweise

    Approved: IF, IHC, IHC-P (5 μg/mL), IP, WB (1 - 3 μg/mL)

    Usage: Immunohistochemistry: This antibody was validated for use in immunohistochemistry on a panel of 21 formalin-fixed, paraffin-embedded (FFPE) human tissues after heat induced antigen retrieval in  pH 6.0 citrate buffer. After incubation with the primary antibody, slides were incubated with biotinylated secondary antibody, followed by alkaline phosphatase-streptavidin and chromogen. The stained slides were evaluated by a pathologist to confirm staining specificity. The optimal working concentration for this antibody was determined to be 5 μg/mL. Immunoprecipitation: 1-3 μg/IP reaction. Immunofluorescence: 10-30 μg/ul. Positive control: Rat brain homogenates.

    Kommentare

    Target Species of Antibody: Human

    Beschränkungen

    Nur für Forschungszwecke einsetzbar
  • Format

    Liquid

    Konzentration

    Lot specific

    Buffer

    PBS,  pH 7.4, 0.1 % sodium azide.

    Konservierungsmittel

    Sodium azide

    Vorsichtsmaßnahmen

    This product contains Sodium azide: a POISONOUS AND HAZARDOUS SUBSTANCE which should be handled by trained staff only.

    Handhabung

    Avoid freeze-thaw cycles.

    Lagerung

    4 °C,-20 °C

    Informationen zur Lagerung

    Short term: 4°C. Long term: Store at -20°C. Avoid freeze-thaw cycles.
  • Target

    MAG (Myelin Associated Glycoprotein (MAG))

    Andere Bezeichnung

    MAG

    Hintergrund

    Name/Gene ID: MAG
    Family: CEA

    Synonyms: MAG, GMA, Myelin associated glycoprotein, S-MAG, SIGLEC4A, SIGLEC-4A, Myelin-associated glycoprotein

    Gen-ID

    4099

    UniProt

    P20916

    Pathways

    Neurotrophin Signalübertragung
Sie sind hier:
Chat with us!