Telefon:
+49 (0)241 95 163 153
Fax:
+49 (0)241 95 163 155
E-Mail:
orders@antikoerper-online.de

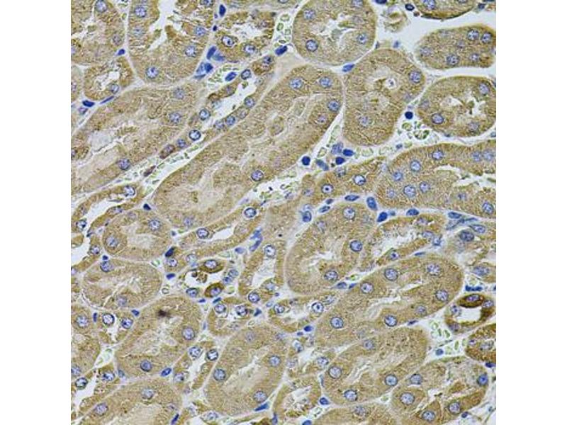
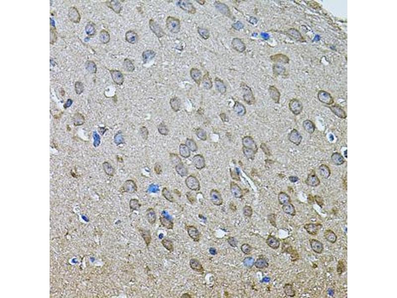
ANXA8L2 Antikörper

Der Kaninchen Polyklonal anti-ANXA8L2 Antikörper wird verwendet zum Nachweis von ANXA8L2 in Proben von Human, Ratte und Maus. Er wurde validiert für WB, IHC und IF/ICC.
Produktnummer ABIN3049115
678,88 €
Zzgl. Versandkosten 20,00 € und MwSt
Lieferung nach: Deutschland
Lieferung in 7 bis 13 Werktagen

Kurzübersicht für ANXA8L2 Antikörper (ABIN3049115)

Target

Alle ANXA8L2 Antikörper anzeigen
ANXA8L2 (Annexin A8-Like 2 (ANXA8L2))

Reaktivität

  • 19
  • 6
  • 4
  • 4
  • 4
  • 3
  • 3
  • 2
  • 2
  • 2
  • 1
  • 1
  • 1
Human, Ratte, Maus

Wirt

  • 20
  • 1
Kaninchen

Klonalität

  • 21
Polyklonal

Konjugat

  • 16
  • 1
  • 1
  • 1
  • 1
  • 1
Dieser ANXA8L2 Antikörper ist unkonjugiert

Applikation

  • 21
  • 12
  • 3
  • 1
Western Blotting (WB), Immunohistochemistry (IHC), Immunofluorescence (fixed cells) (IF/ICC)
  • Aufreinigung

    Affinity purified

    Isotyp

    IgG
  • Applikationshinweise

    Optimal working dilution should be determined by the investigator.

    Beschränkungen

    Nur für Forschungszwecke einsetzbar
  • Format

    Liquid

    Konzentration

    Lot specific

    Buffer

    PBS,  pH 7.3, 0.02 % sodium azide, 50 % glycerol.

    Konservierungsmittel

    Sodium azide

    Vorsichtsmaßnahmen

    This product contains Sodium azide: a POISONOUS AND HAZARDOUS SUBSTANCE which should be handled by trained staff only.

    Lagerung

    -20 °C

    Informationen zur Lagerung

    Aliquot and store at -20 °C. Avoid repeated freeze/thaw cycles.
  • Target

    ANXA8L2 (Annexin A8-Like 2 (ANXA8L2))

    Andere Bezeichnung

    ANXA8L2

    Molekulargewicht

    Calculated MW: 30 kDa/36 kDa
    Observed MW: 37 kDa

    Gen-ID

    728113

    UniProt

    Q5VT79
Sie sind hier:
Chat with us!