Telefon:
+49 (0)241 95 163 153
Fax:
+49 (0)241 95 163 155
E-Mail:
orders@antikoerper-online.de

HMGCL Antikörper

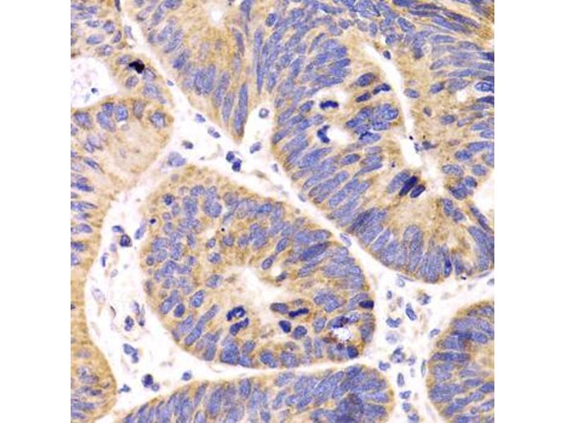
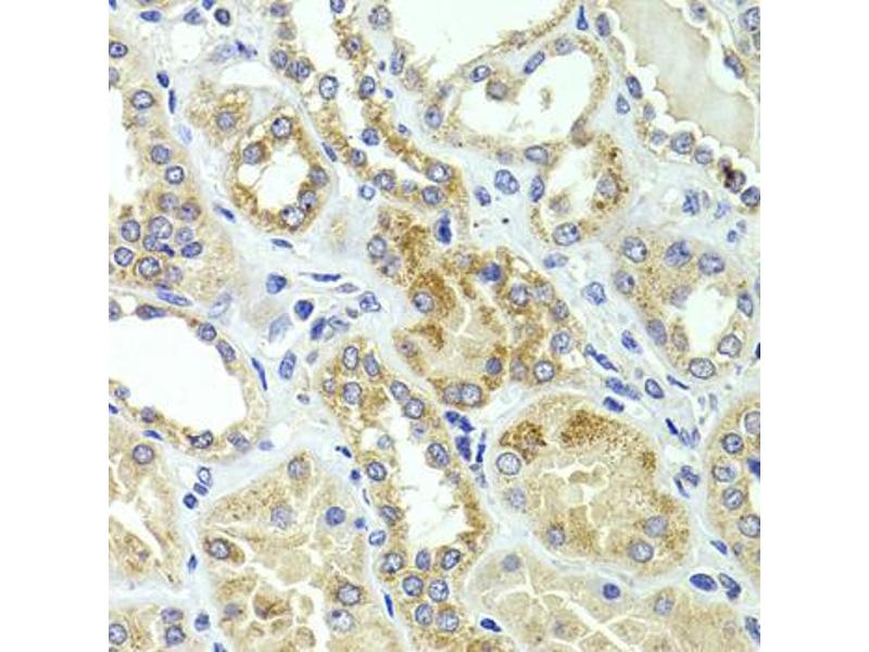
Der Kaninchen Polyklonal anti-HMGCL Antikörper wird verwendet zum Nachweis von HMGCL in Proben von Human, Maus und Ratte. Er wurde validiert für WB und IHC.
Produktnummer ABIN3049092
954,16 €
Zzgl. Versandkosten 20,00 € und MwSt
Lieferung nach: Deutschland
Lieferung in 7 bis 13 Werktagen

Kurzübersicht für HMGCL Antikörper (ABIN3049092)

Target

Alle HMGCL Antikörper anzeigen
HMGCL (3-Hydroxymethyl-3-Methylglutaryl-CoA Lyase (HMGCL))

Reaktivität

  • 57
  • 31
  • 10
  • 6
  • 4
  • 3
  • 3
  • 3
  • 2
  • 2
  • 1
  • 1
  • 1
Human, Maus, Ratte

Wirt

  • 72
  • 2
Kaninchen

Klonalität

  • 60
  • 14
Polyklonal

Konjugat

  • 32
  • 5
  • 4
  • 4
  • 2
  • 2
  • 2
  • 2
  • 2
  • 2
  • 2
  • 2
  • 1
  • 1
  • 1
  • 1
  • 1
  • 1
  • 1
  • 1
  • 1
  • 1
  • 1
  • 1
  • 1
Dieser HMGCL Antikörper ist unkonjugiert

Applikation

  • 64
  • 28
  • 20
  • 13
  • 13
  • 6
  • 6
  • 4
  • 3
  • 2
  • 1
  • 1
  • 1
  • 1
Western Blotting (WB), Immunohistochemistry (IHC)
Sie sind hier:
Chat with us!