×
Aktivieren Sie Javascript in Ihrem Browser, um unsere Webseite optimal zu nutzen.
CGB7 Antikörper
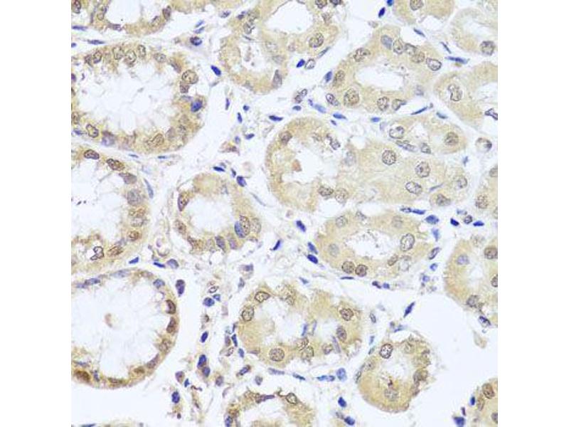
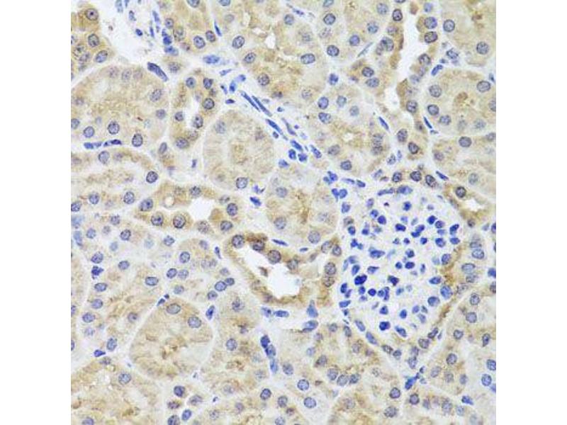
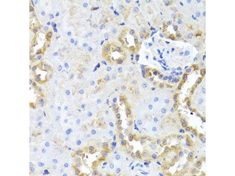
Der Kaninchen Polyklonal anti-CGB7 Antikörper (ABIN3034500) detektiert spezifisch CGB7 in WB und IHC.
Dieser Antikörper reagiert spezifisch mit Proben aus Human, Maus und Ratte.
Produktnummer ABIN3034500
1.062,60 €
Zzgl. Versandkosten 20,00 € und MwSt
20 μL ABIN5974696
2 x 100 μL ABIN3034500
100 μL ABIN3046723
20 μL ABIN5974696
2 x 100 μL ABIN3034500
100 μL ABIN3046723
Lieferung in 7 bis 13 Werktagen
Kurzübersicht für CGB7 Antikörper (ABIN3034500)
Target
Alle CGB7 Antikörper anzeigen
CGB7
(Chorionic Gonadotropin, beta Polypeptide 7 (CGB7))
Reaktivität
Human, Maus, Ratte
Wirt
Alle Wirte für CGB7 Antikörper
Kaninchen
Klonalität
Alle Klonalitäten für CGB7 Antikörper
Polyklonal
Konjugat
Alle Konjugate für CGB7 Antikörper
Dieser CGB7 Antikörper ist unkonjugiert
Applikation
Alle Applikationen für CGB7 Antikörper
Western Blotting (WB), Immunohistochemistry (IHC)
Produktdetails anti-CGB7 Antikörper
(ausblenden)
Aufreinigung
Affinity purified
Isotyp
IgG
Alternativen
(anzeigen)
Anwendungsinformationen
(ausblenden)
Applikationshinweise
Optimal working dilution should be determined by the investigator.
Beschränkungen
Nur für Forschungszwecke einsetzbar
Handhabung
(ausblenden)
Format
Liquid
Konzentration
Lot specific
Buffer
PBS, pH 7.3, 0.02 % sodium azide, 50 % glycerol.
Konservierungsmittel
Sodium azide
Vorsichtsmaßnahmen
This product contains Sodium azide: a POISONOUS AND HAZARDOUS SUBSTANCE which should be handled by trained staff only.
Lagerung
-20 °C
Informationen zur Lagerung
Aliquot and store at -20 °C. Avoid repeated freeze/thaw cycles.
Details zu CGB7
(ausblenden)
Target
CGB7
(Chorionic Gonadotropin, beta Polypeptide 7 (CGB7))
Andere Bezeichnung
CGB7
Molekulargewicht
Calculated MW: 18 kDa Observed MW: 18 kDa
Gen-ID
94027
UniProt
P01233
Zuletzt angesehen
(ausblenden)
Chat with us , powered by LiveChat