×
Aktivieren Sie Javascript in Ihrem Browser, um unsere Webseite optimal zu nutzen.
CCT6A Antikörper
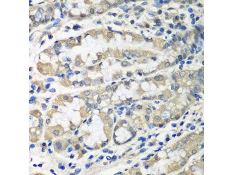
Der Kaninchen Polyklonal anti-CCT6A Antikörper (ABIN3046090) detektiert spezifisch CCT6A in WB und IHC.
Dieser Antikörper reagiert spezifisch mit Proben aus Human, Maus und Ratte.
Produktnummer ABIN3046090
678,88 €
Zzgl. Versandkosten 20,00 € und MwSt
20 μL ABIN5974448
2 x 100 μL ABIN3034425
100 μL ABIN3046090
20 μL ABIN5974448
2 x 100 μL ABIN3034425
100 μL ABIN3046090
Lieferung in 7 bis 13 Werktagen
Kurzübersicht für CCT6A Antikörper (ABIN3046090)
Target
Alle CCT6A Antikörper anzeigen
CCT6A
(Chaperonin Containing TCP1, Subunit 6A (Zeta 1) (CCT6A))
Reaktivität
Alle Reaktivitäten für CCT6A Antikörper
Human, Maus, Ratte
Wirt
Alle Wirte für CCT6A Antikörper
Kaninchen
Klonalität
Alle Klonalitäten für CCT6A Antikörper
Polyklonal
Konjugat
Alle Konjugate für CCT6A Antikörper
Dieser CCT6A Antikörper ist unkonjugiert
Applikation
Alle Applikationen für CCT6A Antikörper
Western Blotting (WB), Immunohistochemistry (IHC)
Produktdetails anti-CCT6A Antikörper
(ausblenden)
Aufreinigung
Affinity purified
Isotyp
IgG
Alternativen
(anzeigen)
Anwendungsinformationen
(ausblenden)
Applikationshinweise
Optimal working dilution should be determined by the investigator.
Beschränkungen
Nur für Forschungszwecke einsetzbar
Handhabung
(ausblenden)
Format
Liquid
Konzentration
Lot specific
Buffer
PBS, pH 7.3, 0.02 % sodium azide, 50 % glycerol.
Konservierungsmittel
Sodium azide
Vorsichtsmaßnahmen
This product contains Sodium azide: a POISONOUS AND HAZARDOUS SUBSTANCE which should be handled by trained staff only.
Lagerung
-20 °C
Informationen zur Lagerung
Aliquot and store at -20 °C. Avoid repeated freeze/thaw cycles.
Details zu CCT6A
(ausblenden)
Target
CCT6A
(Chaperonin Containing TCP1, Subunit 6A (Zeta 1) (CCT6A))
Andere Bezeichnung
CCT6A
Molekulargewicht
Calculated MW: 53 kDa/58 kDa Observed MW: 58 kDa
Gen-ID
908
UniProt
P40227
Zuletzt angesehen
(ausblenden)
Chat with us , powered by LiveChat