Telefon:
+49 (0)241 95 163 153
Fax:
+49 (0)241 95 163 155
E-Mail:
orders@antikoerper-online.de

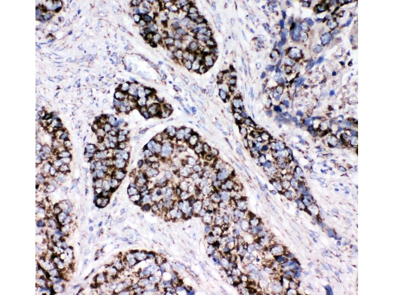
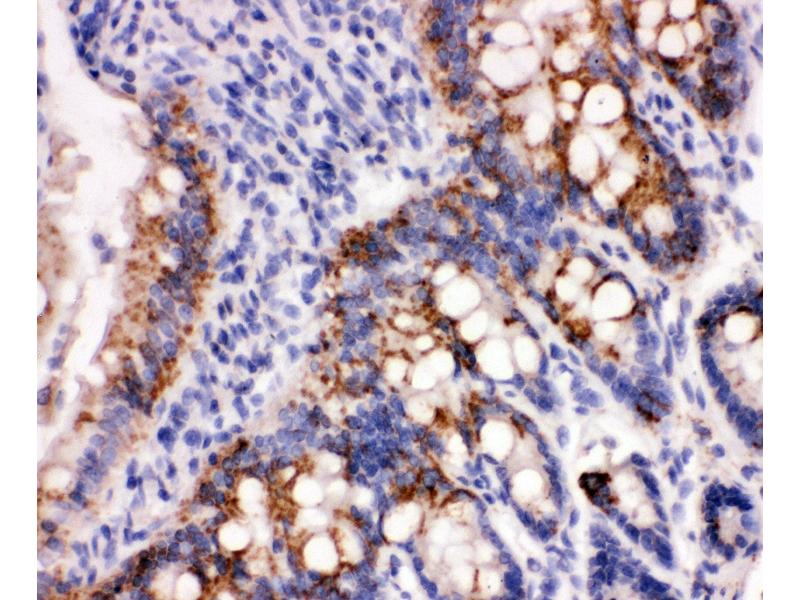
Peroxiredoxin 3 Antikörper (C-Term)

Dieser Kaninchen Polyklonal Antikörper detektiert spezifisch Peroxiredoxin 3 in WB, IHC, ICC, IF und FACS. Es zeigt Reaktivität gegenüber Proben von Human, Ratte und Maus.
Produktnummer ABIN3044200
500,50 €
Zzgl. Versandkosten 20,00 € und MwSt
100 μg
Lieferung nach: Deutschland
Lieferung in 8 bis 12 Werktagen

Kurzübersicht für Peroxiredoxin 3 Antikörper (C-Term) (ABIN3044200)

Target

Alle Peroxiredoxin 3 (PRDX3) Antikörper anzeigen
Peroxiredoxin 3 (PRDX3)

Reaktivität

  • 113
  • 42
  • 26
  • 2
Human, Ratte, Maus

Wirt

  • 111
  • 11
  • 1
  • 1
Kaninchen

Klonalität

  • 85
  • 38
Polyklonal

Konjugat

  • 55
  • 13
  • 6
  • 5
  • 5
  • 5
  • 5
  • 5
  • 5
  • 2
  • 2
  • 2
  • 1
  • 1
  • 1
  • 1
  • 1
  • 1
  • 1
  • 1
  • 1
  • 1
  • 1
  • 1
  • 1
  • 1
Dieser Peroxiredoxin 3 Antikörper ist unkonjugiert

Applikation

  • 93
  • 51
  • 29
  • 24
  • 24
  • 23
  • 22
  • 14
  • 13
  • 13
  • 3
  • 3
  • 3
  • 2
  • 1
  • 1
Western Blotting (WB), Immunohistochemistry (IHC), Immunocytochemistry (ICC), Immunofluorescence (IF), Flow Cytometry (FACS)
  • Bindungsspezifität

    • 15
    • 15
    • 6
    • 4
    • 4
    • 4
    • 3
    • 3
    • 2
    • 2
    • 2
    • 2
    • 1
    • 1
    • 1
    • 1
    • 1
    • 1
    AA 239-256, C-Term

    Verwendungszweck

    Anti-Peroxiredoxin 3/PRDX3 Antibody

    Sequenz

    TIKPSPAASK EYFQKVNQ

    Kreuzreaktivität (Details)

    No cross-reactivity with other proteins

    Produktmerkmale

    Anti-Peroxiredoxin 3/PRDX3 Antibody (ABIN3044200). Tested in Flow Cytometry, IF, IHC, ICC, WB applications. This antibody reacts with Human, Mouse, Rat. This is a premium antibody that guarantees superior quality, high affinity, and strong signals with minimal background in Western blot applications.

    Aufreinigung

    Immunogen affinity purified.

    Immunogen

    A synthetic peptide corresponding to a sequence at the C-terminus of human Peroxiredoxin 3, different from the related mouse and rat sequences by three amino acids.

    Isotyp

    IgG
  • Applikationshinweise

    Western blot, 0.1-0.5 μg/mL, Human, Mouse, Rat
    Immunohistochemistry (Paraffin-embedded Section), 0.5-1 μg/mL, Human, Rat
    Immunocytochemistry/Immunofluorescence, 5 μg/mL, Human
    Flow Cytometry(Fixed), 1-3 μg/1x106 cells, Human

    Kommentare

    Antibody can be supported by chemiluminescence kit ABIN921124 in WB, supported by ABIN921231 in IHC(P) and ICC.

    Beschränkungen

    Nur für Forschungszwecke einsetzbar
  • Format

    Lyophilized

    Rekonstitution

    Add 0.2 mL of distilled water will yield a concentration of 500 μg/mL.

    Konzentration

    500 μg/mL

    Buffer

    Each vial contains 5 mg BSA, 0.9 mg NaCl, 0.2 mg Na2HPO4, 0.05 mg Thimerosal, 0.05 mg Sodium azide.

    Konservierungsmittel

    Thimerosal (Merthiolate), Sodium azide

    Vorsichtsmaßnahmen

    This product contains Thimerosal (Merthiolate) and Sodium azide: POISONOUS AND HAZARDOUS SUBSTANCES which should be handled by trained staff only.

    Handhabung

    Avoid repeated freezing and thawing.

    Lagerung

    4 °C,-20 °C

    Informationen zur Lagerung

    Store at -20°C for one year from date of receipt. After reconstitution, at 4°C for one month.
    It can also be aliquotted and stored frozen at -20°C for six months. Avoid repeated freeze-thaw cycles.

    Haltbarkeit

    12 months
  • Target

    Peroxiredoxin 3 (PRDX3)

    Andere Bezeichnung

    PRDX3

    Hintergrund

    Synonyms: Thioredoxin-dependent peroxide reductase, mitochondrial;1.11.1.15;Antioxidant protein 1;AOP-1;HBC189;Peroxiredoxin III;Prx-III;Peroxiredoxin-3;Protein MER5 homolog;PRDX3;AOP1;

    Background: PRDX3 (peroxiredoxin 3) also known as AOP-1, MER5, SP-22 or PRX3, is localized exclusively in mitochondria. The deduced 256-amino acid human AOP1 protein shares 86% amino acid sequence similarity with mouse Aop1, and significant similarity with both the human proliferation-associated gene A product and the mouse stress-induced peritoneal macrophage protein Msp23. The PRDX3 gene is mapped on 10q26.11. Expression of PRDX3 is induced by MYC and is reduced in c-myc -/- cells. Chromatin immunoprecipitation analysis spanning the entire PRDX3 genomic sequence revealed that MYC binds preferentially to a 930-bp region surrounding exon 1. Results using mitochondria-specific fluorescent probes demonstrated that PRDX3 is essential for maintaining mitochondrial mass and membrane potential in transformed rat and human cells. These data provided evidence that PRDX3 is a MYC target gene that is required to maintain normal mitochondrial function.

    Sequence Similarities: Belongs to the AhpC/TSA family.

    Molekulargewicht

    26 kDa

    UniProt

    P30048

    Pathways

    Ribonucleoside Biosynthetic Process, Methionine Biosynthetic Process
Sie sind hier:
Chat with us!