Telefon:
+49 (0)241 95 163 153
Fax:
+49 (0)241 95 163 155
E-Mail:
orders@antikoerper-online.de

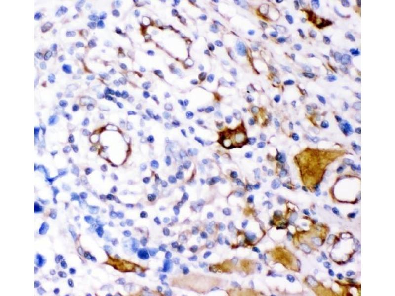
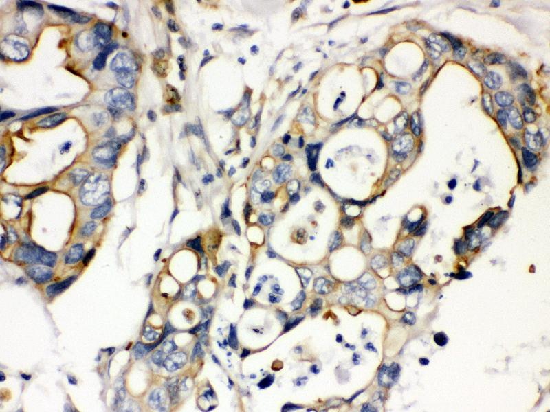
PLEC Antikörper (Middle Region)

Dieser Kaninchen Polyklonal Antikörper detektiert spezifisch PLEC in IHC, WB, IF und ICC. Es zeigt Reaktivität gegenüber Proben von Human, Maus und Ratte.
Produktnummer ABIN3043900
500,50 €
Zzgl. Versandkosten 20,00 € und MwSt
100 μg
Lieferung nach: Deutschland
Lieferung in 8 bis 12 Werktagen

Kurzübersicht für PLEC Antikörper (Middle Region) (ABIN3043900)

Target

Alle PLEC Antikörper anzeigen
PLEC (Plectin (PLEC))

Reaktivität

Human, Maus, Ratte

Wirt

  • 56
  • 6
  • 1
Kaninchen

Klonalität

  • 39
  • 24
Polyklonal

Konjugat

  • 22
  • 4
  • 3
  • 3
  • 3
  • 3
  • 3
  • 3
  • 3
  • 2
  • 1
  • 1
  • 1
  • 1
  • 1
  • 1
  • 1
  • 1
  • 1
  • 1
  • 1
  • 1
  • 1
  • 1
Dieser PLEC Antikörper ist unkonjugiert

Applikation

  • 24
  • 17
  • 13
  • 13
  • 13
  • 12
  • 6
  • 5
  • 4
  • 3
  • 1
  • 1
Immunohistochemistry (IHC), Western Blotting (WB), Immunofluorescence (IF), Immunocytochemistry (ICC)
  • Bindungsspezifität

    • 15
    • 5
    • 2
    • 2
    • 2
    • 2
    • 1
    • 1
    • 1
    • 1
    AA 2644-2671, Middle Region

    Verwendungszweck

    Anti-Plectin Antibody

    Sequenz

    RFIEQEKAKL EQLFQDEVAK AQQLREEQ

    Kreuzreaktivität (Details)

    No cross-reactivity with other proteins

    Produktmerkmale

    Anti-Plectin Antibody (ABIN3043900). Tested in IF, IHC, ICC, WB applications. This antibody reacts with Human, Mouse, Rat. This is a premium antibody that guarantees superior quality, high affinity, and strong signals with minimal background in Western blot applications.

    Aufreinigung

    Immunogen affinity purified.

    Immunogen

    A synthetic peptide corresponding to a sequence in the middle region of human Plectin, different from the related mouse sequence by one amino acid, and from the related rat sequence by two amino acids.

    Isotyp

    IgG
  • Applikationshinweise

    Western blot, 0.1-0.5 μg/mL, Human
    Immunohistochemistry (Paraffin-embedded Section), 2-5 μg/mL, Human, Mouse, Rat
    Immunocytochemistry/Immunofluorescence, 5 μg/mL, Human

    Kommentare

    Antibody can be supported by chemiluminescence kit ABIN921124 in WB, supported by ABIN921231 in IHC(P).

    Beschränkungen

    Nur für Forschungszwecke einsetzbar
  • Format

    Lyophilized

    Rekonstitution

    Add 0.2 mL of distilled water will yield a concentration of 500 μg/mL.

    Konzentration

    500 μg/mL

    Buffer

    Each vial contains 5 mg BSA, 0.9 mg NaCl, 0.2 mg Na2HPO4, 0.05 mg Sodium azide.

    Konservierungsmittel

    Sodium azide

    Vorsichtsmaßnahmen

    This product contains Sodium azide: a POISONOUS AND HAZARDOUS SUBSTANCE which should be handled by trained staff only.

    Handhabung

    Avoid repeated freezing and thawing.

    Lagerung

    4 °C,-20 °C

    Informationen zur Lagerung

    Store at -20°C for one year from date of receipt. After reconstitution, at 4°C for one month.
    It can also be aliquotted and stored frozen at -20°C for six months. Avoid repeated freeze-thaw cycles.
  • Target

    PLEC (Plectin (PLEC))

    Andere Bezeichnung

    PLEC

    Hintergrund

    Synonyms: Plectin,PCN,PLTN,Hemidesmosomal protein 1,HD1,Plectin-1,PLEC,PLEC1,

    Tissue Specificity: Widely expressed with highest levels in muscle, heart, placenta and spinal cord.

    Background: Plectin, known as PLEC, is a prominent member of an important family of structurally and in part functionally related proteins, termed plakins or cytolinkers, that are capable of interlinking different elements of the cytoskeleton. Plakins, with their multi-domain structure and enormous size, not only play crucial roles in maintaining cell and tissue integrity and orchestrating dynamic changes in cytoarchitecture and cell shape, but also serve as scaffolding platforms for the assembly, positioning, and regulation of signaling complexes. Plectin is expressed as several protein isoforms in a wide range of cell types and tissues from a single gene located on chromosome 8 in humans. The plectin gene locus in mouse on chromosome 15 has been analyzed in detail, revealing a genomic exon-intron organization with well over 40 exons spanning over 62 kb and an unusual 5' transcript complexity of plectin isoforms. Eleven exons (1-1j) have been identified that alternatively splice ly into a common exon 2 which is the first exon to encode plectin's highly conserved actin binding domain (ABD). Three additional exons (-1, 0a, and 0) splice into an alternative first coding exon (1c), and two additional exons (2alpha and 3alpha) are optionally spliced within the exons encoding the acting binding domain (exons 2-8). Analysis of the human locus has identified eight of the eleven alternative 5' exons found in mouse and rat, exons 1i, 1j and 1h have not been confirmed in human. Furthermore, isoforms lacking the central rod domain encoded by exon 31 have been detected in mouse, rat, and human. The short alternative amino-terminal sequences encoded by the different first exons the targeting of the various isoforms to distinct subcellular locations. As the expression of specific plectin isoforms was found to be dependent on cell type (tissue) and stage of development, it appears that each cell type (tissue) contains a unique set (proportion and composition) of plectin isoforms, as if custom-made for specific requirements of the particular cells. Concordantly, individual isoforms were found to carry out distinct and specific functions.

    Sequence Similarities: Belongs to the plakin or cytolinker family.

    Molekulargewicht

    532 kDa

    Gen-ID

    5339

    UniProt

    Q15149
Sie sind hier:
Chat with us!