Telefon:
+49 (0)241 95 163 153
Fax:
+49 (0)241 95 163 155
E-Mail:
orders@antikoerper-online.de

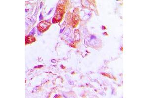
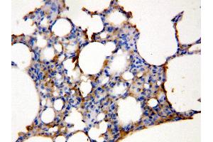
Aquaporin 5 Antikörper (C-Term)

Es sind 2+ Publikationen für dieses Produkt verfügbar. Der Kaninchen Polyklonal anti-Aquaporin 5 Antikörper wird verwendet zum Nachweis von Aquaporin 5 in Proben von Maus und Ratte. Er wurde validiert für WB und IHC.
Produktnummer ABIN3043712
500,50 €
Zzgl. Versandkosten 20,00 € und MwSt
100 μg
Lieferung nach: Deutschland
Lieferung in 8 bis 12 Werktagen

Kurzübersicht für Aquaporin 5 Antikörper (C-Term) (ABIN3043712)

Target

Alle Aquaporin 5 (AQP5) Antikörper anzeigen
Aquaporin 5 (AQP5)

Reaktivität

  • 66
  • 31
  • 30
  • 7
  • 4
  • 4
  • 4
  • 1
  • 1
  • 1
Maus, Ratte

Wirt

  • 71
  • 1
Kaninchen

Klonalität

  • 58
  • 14
Polyklonal

Konjugat

  • 29
  • 4
  • 4
  • 2
  • 2
  • 2
  • 2
  • 2
  • 2
  • 2
  • 2
  • 2
  • 1
  • 1
  • 1
  • 1
  • 1
  • 1
  • 1
  • 1
  • 1
  • 1
  • 1
  • 1
  • 1
  • 1
  • 1
  • 1
  • 1
Dieser Aquaporin 5 Antikörper ist unkonjugiert

Applikation

  • 62
  • 28
  • 19
  • 19
  • 16
  • 15
  • 13
  • 13
  • 10
  • 5
  • 4
  • 1
  • 1
  • 1
Western Blotting (WB), Immunohistochemistry (IHC)
  • Bindungsspezifität

    • 16
    • 13
    • 8
    • 2
    • 2
    • 2
    • 1
    • 1
    • 1
    • 1
    • 1
    • 1
    AA 246-265, C-Term

    Verwendungszweck

    Anti-Aquaporin 5/AQP5 Antibody

    Sequenz

    EEDWEDHREE RKKTIELTAH

    Kreuzreaktivität (Details)

    No cross-reactivity with other proteins

    Produktmerkmale

    Anti-Aquaporin 5/AQP5 Antibody (ABIN3043712). Tested in IHC, WB applications. This antibody reacts with Mouse, Rat. This is a premium antibody that guarantees superior quality, high affinity, and strong signals with minimal background in Western blot applications.

    Aufreinigung

    Immunogen affinity purified.

    Immunogen

    A synthetic peptide corresponding to a sequence at the C-terminus of mouse AQP5, identical to the related rat sequence.

    Isotyp

    IgG
  • Applikationshinweise

    Immunohistochemistry (Paraffin-embedded Section), 0.5-1 μg/mL, Rat, Mouse
    Western blot, 0.1-0.5 μg/mL, Rat, Mouse

    Kommentare

    Antibody can be supported by chemiluminescence kit ABIN921124 in WB, supported by ABIN921231 in IHC(P).

    Beschränkungen

    Nur für Forschungszwecke einsetzbar
  • Format

    Lyophilized

    Rekonstitution

    Add 0.2 mL of distilled water will yield a concentration of 500 μg/mL.

    Konzentration

    500 μg/mL

    Buffer

    Each vial contains 5 mg BSA, 0.9 mg NaCl, 0.2 mg Na2HPO4, 0.05 mg Thimerosal, 0.05 mg Sodium azide.

    Konservierungsmittel

    Thimerosal (Merthiolate), Sodium azide

    Vorsichtsmaßnahmen

    This product contains Thimerosal (Merthiolate) and Sodium azide: POISONOUS AND HAZARDOUS SUBSTANCES which should be handled by trained staff only.

    Handhabung

    Avoid repeated freezing and thawing.

    Lagerung

    4 °C,-20 °C

    Informationen zur Lagerung

    Store at -20°C for one year from date of receipt. After reconstitution, at 4°C for one month.
    It can also be aliquotted and stored frozen at -20°C for six months. Avoid repeated freeze-thaw cycles.
  • Guo, Kazadaeva, Ortega, Manjunath, Desai: "Trinucleotide repeat containing 6c (TNRC6c) is essential for microvascular maturation during distal airspace sacculation in the developing lung." in: Developmental biology, Vol. 430, Issue 1, pp. 214-223, (2017) (PubMed).

    Chen, Zhou, Yan, Ma, Zheng: "Hyperosmotic stress induces cisplatin sensitivity in ovarian cancer cells by stimulating aquaporin-5 expression." in: Experimental and therapeutic medicine, Vol. 10, Issue 6, pp. 2055-2062, (2015) (PubMed).

  • Target

    Aquaporin 5 (AQP5)

    Andere Bezeichnung

    AQP5

    Hintergrund

    Synonyms: Aquaporin-5;AQP-5;Aqp5;

    Background: Aquaporin 5, also known as AQP5, is a water channel protein. The aquaporins (AQPs) are a family of more than 10 homologous water transporting proteins expressed in many mammalian epithelia and endothelia. At least five AQPs are expressed in the eye: AQP0 (MIP) in lens fiber, AQP1 in cornea endothelium, ciliary and lens epithelia and trabecular meshwork, AQP3 in conjunctiva, AQP4 in ciliary epithelium and retinal Müller cells, and AQP5 in corneal and lacrimal gland epithelia. Among the seven human aquaporins cloned to date (AQPs 0-6), genes encoding the four most closely related aquaporins (AQP0, AQP2, AQP5, and AQP6) have been mapped to chromosome band 12q13, suggesting an aquaporin family gene cluster at this locus. Aquaporin 5 plays a role in the generation of saliva, tears and pulmonary secretions.

    Molekulargewicht

    62 kDa
Sie sind hier:
Chat with us!