Telefon:
+49 (0)241 95 163 153
Fax:
+49 (0)241 95 163 155
E-Mail:
orders@antikoerper-online.de

DDT Antikörper (C-Term)

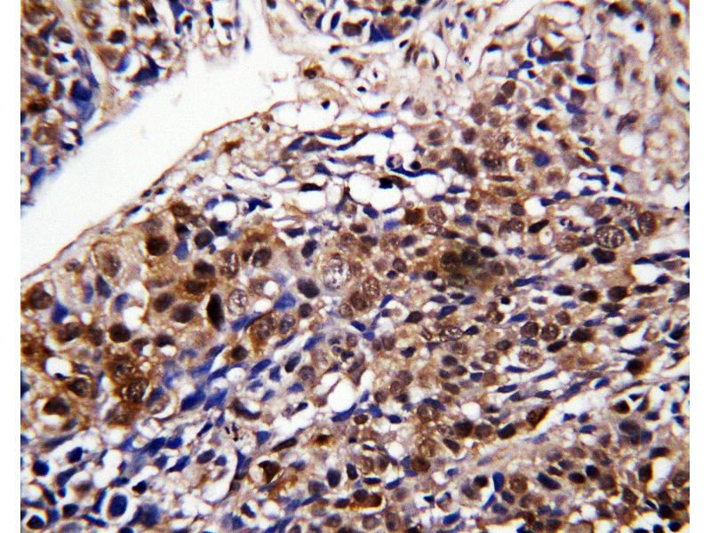
Der Kaninchen Polyklonal anti-DDT Antikörper (ABIN3043212) detektiert spezifisch DDT in WB und IHC. Dieser Antikörper reagiert spezifisch mit Proben aus Human, Maus und Ratte.
Produktnummer ABIN3043212
500,50 €
Zzgl. Versandkosten 20,00 € und MwSt
100 μg
Lieferung nach: Deutschland
Lieferung in 8 bis 12 Werktagen

Kurzübersicht für DDT Antikörper (C-Term) (ABIN3043212)

Target

Alle DDT Antikörper anzeigen
DDT (D-Dopachrome Tautomerase (DDT))

Reaktivität

  • 43
  • 19
  • 12
  • 2
  • 2
  • 1
  • 1
  • 1
  • 1
Human, Maus, Ratte

Wirt

  • 41
  • 8
Kaninchen

Klonalität

  • 43
  • 6
Polyklonal

Konjugat

  • 30
  • 6
  • 3
  • 1
  • 1
  • 1
  • 1
  • 1
  • 1
  • 1
  • 1
  • 1
  • 1
Dieser DDT Antikörper ist unkonjugiert

Applikation

  • 27
  • 18
  • 16
  • 9
  • 8
  • 5
  • 4
  • 3
  • 2
  • 2
  • 2
  • 1
  • 1
  • 1
  • 1
  • 1
Western Blotting (WB), Immunohistochemistry (IHC)
  • Bindungsspezifität

    • 15
    • 8
    • 3
    • 2
    • 1
    • 1
    • 1
    • 1
    AA 99-118, C-Term

    Verwendungszweck

    Anti-D-dopachrome decarboxylase DDT Antibody

    Sequenz

    RFFPLESWQI GKIGTVMTFL

    Kreuzreaktivität (Details)

    No cross-reactivity with other proteins

    Produktmerkmale

    Anti-D-dopachrome decarboxylase DDT Antibody (ABIN3043212). Tested in IHC, WB applications. This antibody reacts with Human, Mouse, Rat. This is a premium antibody that guarantees superior quality, high affinity, and strong signals with minimal background in Western blot applications.

    Aufreinigung

    Immunogen affinity purified.

    Immunogen

    A synthetic peptide corresponding to a sequence at the C-terminus of human DDT, different from the related mouse and rat sequence by two amino acids.

    Isotyp

    IgG
  • Applikationshinweise

    Western blot, 0.1-0.5 μg/mL, Human, Mouse, Rat
    Immunohistochemistry (Paraffin-embedded Section), 0.5-1 μg/mL, Human

    Kommentare

    Antibody can be supported by chemiluminescence kit ABIN921124 in WB, supported by ABIN921231 in IHC(P).

    Beschränkungen

    Nur für Forschungszwecke einsetzbar
  • Format

    Lyophilized

    Rekonstitution

    Add 0.2 mL of distilled water will yield a concentration of 500 μg/mL.

    Konzentration

    500 μg/mL

    Buffer

    Each vial contains 5 mg BSA, 0.9 mg NaCl, 0.2 mg Na2HPO4, 0.05 mg Thimerosal, 0.05 mg Sodium azide.

    Konservierungsmittel

    Thimerosal (Merthiolate), Sodium azide

    Vorsichtsmaßnahmen

    This product contains Thimerosal (Merthiolate) and Sodium azide: POISONOUS AND HAZARDOUS SUBSTANCES which should be handled by trained staff only.

    Handhabung

    Avoid repeated freezing and thawing.

    Lagerung

    4 °C,-20 °C

    Informationen zur Lagerung

    Store at -20°C for one year from date of receipt. After reconstitution, at 4°C for one month.
    It can also be aliquotted and stored frozen at -20°C for six months. Avoid repeated freeze-thaw cycles.

    Haltbarkeit

    12 months
  • Target

    DDT (D-Dopachrome Tautomerase (DDT))

    Andere Bezeichnung

    DDT

    Hintergrund

    Synonyms: D-dopachrome decarboxylase,4.1.1.84,D-dopachrome tautomerase,Phenylpyruvate tautomerase II,DDT,

    Tissue Specificity: Highly expressed in lung, skeletal muscle, liver, kidney, spleen and heart, and moderately in testis. No expression in the brain.

    Background: DDT, D-dopachrome tautomerization, converts D-dopachrome into 5,6-dihydroxyindole. Northern blot analysis revealed that DDT was expressed as a 0.6-kb mRNA in all tissues tested, with the strongest expression in liver. The DDT gene in human and mouse is identical in exon structure to the MIF gene. Both genes have 2 introns that are located at equivalent positions, relative to a 2-fold repeat in protein structure.the genes for DDT and MIF are closely linked on human chromosome 22 and mouse chromosome 10.

    Sequence Similarities: Belongs to the intercrine alpha (chemokine CxC) family.

    Molekulargewicht

    13-15 kDa

    UniProt

    P30046
Sie sind hier:
Chat with us!