Telefon:
+49 (0)241 95 163 153
Fax:
+49 (0)241 95 163 155
E-Mail:
orders@antikoerper-online.de

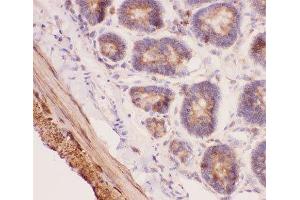
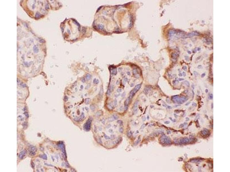
ANG2 Antikörper (AA 19-348)

Der Kaninchen Polyklonal anti-ANG2 Antikörper (ABIN3029946) detektiert spezifisch ANG2 in IHC (p). Dieser Antikörper reagiert spezifisch mit Proben aus Human, Ratte und Maus.
Produktnummer ABIN3029946
644,88 €
Zzgl. Versandkosten 20,00 € und MwSt
100 μg
Lieferung nach: Deutschland
Lieferung in 6 bis 9 Werktagen

Kurzübersicht für ANG2 Antikörper (AA 19-348) (ABIN3029946)

Target

Alle ANG2 Antikörper anzeigen
ANG2 (Angiogenin, Ribonuclease A Family, Member 2 (ANG2))

Reaktivität

Human, Ratte, Maus

Wirt

  • 3
  • 1
Kaninchen

Klonalität

  • 3
  • 1
Polyklonal

Konjugat

  • 2
  • 1
  • 1
Dieser ANG2 Antikörper ist unkonjugiert

Applikation

  • 2
  • 2
  • 1
  • 1
  • 1
  • 1
  • 1
  • 1
Immunohistochemistry (Paraffin-embedded Sections) (IHC (p))
  • Bindungsspezifität

    AA 19-348

    Aufreinigung

    Antigen affinity

    Immunogen

    Human partial recombinant protein (AA 19-348) was used as the immunogen for this ANG2 antibody.

    Isotyp

    IgG
  • Applikationshinweise

    The stated application concentrations are suggested starting amounts. Titration of the ANG2 antibody may be required due to differences in protocols and secondary/substrate sensitivity.\. IHC (Paraffin): 0.5-1 μg/mL

    Beschränkungen

    Nur für Forschungszwecke einsetzbar
  • Buffer

    0.5 mg/mL if reconstituted with 0.2 mL sterile DI water

    Lagerung

    -20 °C

    Informationen zur Lagerung

    After reconstitution, the ANG2 antibody can be stored for up to one month at 4°C. For long-term, aliquot and store at -20°C. Avoid repeated freezing and thawing.
  • Target

    ANG2 (Angiogenin, Ribonuclease A Family, Member 2 (ANG2))

    Andere Bezeichnung

    ANG2

    Hintergrund

    Angiopoietin 2, also known as ANG2, is a protein that in humans is encoded by the ANGPT2 gene. It is mapped to 8p23.1. ANGPT2 is a naturally occurring antagonist of ANGPT1 that competes for binding to the TIE2 receptor and blocks ANGPT1-induced TIE2 autophosphorylation during vasculogenesis. The encoded protein disrupts the vascular remodeling ability of ANGPT1 and may induce endothelial cell apoptosis. ANGPT2 was significantly increased in plasma and alveolar edema fluid in adults with acute lung injury compared to controls or patients with hydrostatic pulmonary edema, tracheal. ANGPT2 was also significantly increased in neonates with respiratory distress syndrome who developed bronchopulmonary edema. It is also a mediator of epithelial necrosis with an important role in hyperoxic acute lung injury and pulmonary edema.

    Gen-ID

    285

    Pathways

    Carbohydrate Homeostasis
Sie sind hier:
Chat with us!