Telefon:
+49 (0)241 95 163 153
Fax:
+49 (0)241 95 163 155
E-Mail:
orders@antikoerper-online.de

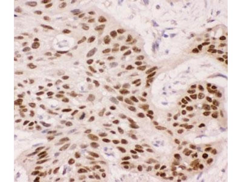
TCP1 alpha/CCTA Antikörper (AA 311-680)

Der Kaninchen Polyklonal anti-TCP1 alpha/CCTA Antikörper (ABIN3029088) detektiert spezifisch TCP1 alpha/CCTA in WB, ICC und IHC (p). Dieser Antikörper reagiert spezifisch mit Proben aus Human.
Produktnummer ABIN3029088
644,88 €
Zzgl. Versandkosten 20,00 € und MwSt
100 μg
Lieferung nach: Deutschland
Lieferung in 6 bis 9 Werktagen

Kurzübersicht für TCP1 alpha/CCTA Antikörper (AA 311-680) (ABIN3029088)

Target

Alle TCP1 alpha/CCTA (TCP1) Antikörper anzeigen
TCP1 alpha/CCTA (TCP1) (T-Complex 1 (TCP1))

Reaktivität

  • 227
  • 148
  • 96
  • 21
  • 21
  • 20
  • 19
  • 17
  • 17
  • 15
  • 13
  • 11
  • 10
  • 4
  • 3
  • 2
  • 2
  • 2
  • 1
  • 1
  • 1
  • 1
Human

Wirt

  • 181
  • 48
  • 26
  • 1
  • 1
Kaninchen

Klonalität

  • 142
  • 115
Polyklonal

Konjugat

  • 79
  • 18
  • 10
  • 8
  • 6
  • 6
  • 6
  • 6
  • 6
  • 6
  • 6
  • 5
  • 5
  • 5
  • 5
  • 5
  • 5
  • 5
  • 5
  • 5
  • 5
  • 5
  • 5
  • 5
  • 5
  • 5
  • 5
  • 4
  • 2
  • 2
  • 2
  • 2
  • 2
  • 2
  • 2
  • 2
Dieser TCP1 alpha/CCTA Antikörper ist unkonjugiert

Applikation

  • 152
  • 90
  • 64
  • 63
  • 53
  • 52
  • 49
  • 43
  • 42
  • 41
  • 21
  • 12
  • 11
  • 1
  • 1
Western Blotting (WB), Immunocytochemistry (ICC), Immunohistochemistry (Paraffin-embedded Sections) (IHC (p))
  • Bindungsspezifität

    • 37
    • 18
    • 18
    • 15
    • 15
    • 15
    • 15
    • 10
    • 5
    • 3
    • 3
    • 2
    • 2
    • 2
    • 2
    • 2
    • 2
    • 2
    • 1
    • 1
    • 1
    • 1
    • 1
    • 1
    • 1
    • 1
    • 1
    • 1
    • 1
    • 1
    • 1
    • 1
    • 1
    AA 311-680

    Aufreinigung

    Antigen affinity

    Immunogen

    Human partial recombinant protein (AA 311-680) was used as the immunogen for this p63 antibody.

    Isotyp

    IgG
  • Applikationshinweise

    The stated application concentrations are suggested starting points. Titration of the p63 antibody may be required due to differences in protocols and secondary/substrate sensitivity.\. Western blot: 0.5-1 μg/mL,IHC (Paraffin): 0.5-1 μg/mL,Immunocytochemistry: 0.5-1 μg/mL

    Beschränkungen

    Nur für Forschungszwecke einsetzbar
  • Buffer

    0.5 mg/mL if reconstituted with 0.2 mL sterile DI water

    Lagerung

    -20 °C

    Informationen zur Lagerung

    After reconstitution, the p63 antibody can be stored for up to one month at 4°C. For long-term, aliquot and store at -20°C. Avoid repeated freezing and thawing.
  • Target

    TCP1 alpha/CCTA (TCP1) (T-Complex 1 (TCP1))

    Andere Bezeichnung

    p63

    Hintergrund

    Tumor protein p63 (TP63), also known as TP73L is a protein that in humans is encoded by the TP63 gene. It is a member of the p53 family of transcription factors. This gene encodes for two main isoforms by alternative promoters (TAp63 and dNp63). TP63 has been mostly restricted to its apoptotic function and more recently as the guardian of oocyte integrity. It has been found that the combined loss of TP63 and p73 results in the failure of cells containing functional p53 to undergo apoptosis in response to DNA damage. It is an essential regulator of stem cell maintenance in stratified epithelial tissues. TP63 is also critical for maintaining the progenitor-cell populations that are necessary to sustain epithelial development and morphogenesis.

    UniProt

    Q9H3D4
Sie sind hier:
Chat with us!