Telefon:
+49 (0)241 95 163 153
Fax:
+49 (0)241 95 163 155
E-Mail:
orders@antikoerper-online.de

Granulocytes Antikörper

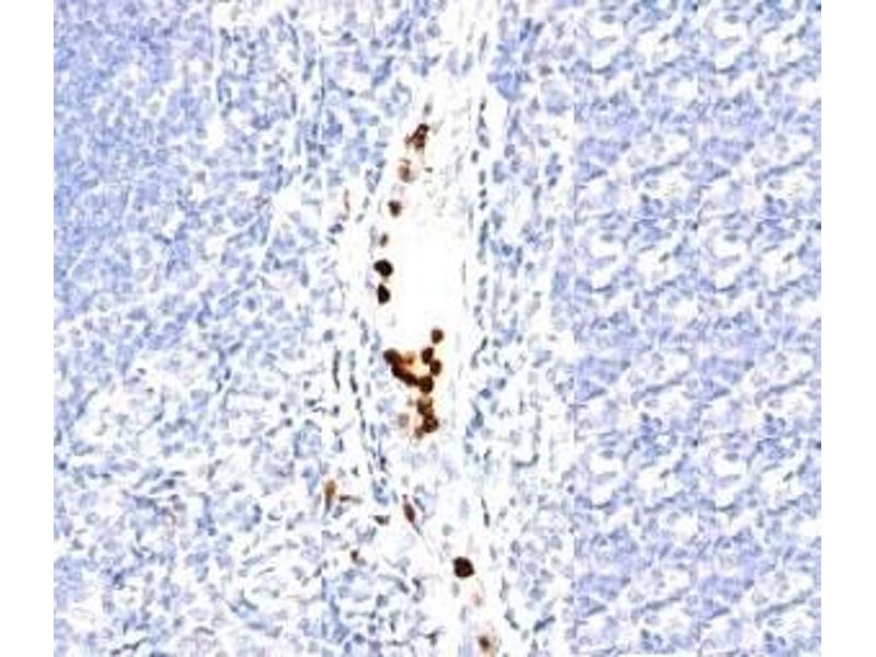
Der Maus Monoklonal anti-Granulocytes Antikörper (Klon SPM250) (ABIN3026077) detektiert spezifisch Granulocytes in FACS, IHC (p) und IF. Dieser Antikörper reagiert spezifisch mit Proben aus Human und Makake.
Produktnummer ABIN3026077
642,40 €
Zzgl. Versandkosten 20,00 € und MwSt
100 μg
Lieferung nach: Deutschland
Lieferung in 6 bis 9 Werktagen

Kurzübersicht für Granulocytes Antikörper (ABIN3026077)

Target

Granulocytes

Reaktivität

  • 9
  • 7
  • 5
  • 3
Human, Makake

Wirt

  • 21
Maus

Klonalität

  • 21
Monoklonal

Konjugat

  • 11
  • 5
  • 4
  • 1
Unkonjugiert

Applikation

  • 20
  • 5
  • 5
  • 4
  • 4
  • 3
  • 1
  • 1
  • 1
  • 1
  • 1
Flow Cytometry (FACS), Immunohistochemistry (Paraffin-embedded Sections) (IHC (p)), Immunofluorescence (IF)

Klon

SPM250
  • Aufreinigung

    Protein G affinity chromatography

    Immunogen

    Nuclei from pokeweed mitogen stimulated human peripheral blood lymphocytes were used as the immunogen for this Granulocyte antibody.

    Isotyp

    IgG1
  • Applikationshinweise

    The optimal dilution of the Granulocyte antibody for each application should be determined by the researcher.

    1. Staining of formalin-fixed tissues requires boiling tissue sections in 10  mM citrate buffer,  pH 6.0, for 10-20 min followed by cooling at RT for 20 minutes.
    2. The prediluted format is supplied in a dropper bottle and is optimized for use in IHC. After epitope retrieval step (if required), drip mAb solution onto the tissue section and incubate at RT for 30 min.\. Flow Cytometry: 0.5-1 μg/million cells in 0.1ml,Immunofluorescence: 1-2 μg/mL,Immunohistochemistry (FFPE): 0.5-1 μg/mL for 30 minutes at RT (1),Prediluted format: incubate for 30 min at RT (2)

    Beschränkungen

    Nur für Forschungszwecke einsetzbar
  • Konzentration

    1 mg/mL

    Buffer

    1 mg/mL in 1X PBS, BSA free, sodium azide free

    Konservierungsmittel

    Azide free

    Lagerung

    4 °C,-20 °C

    Informationen zur Lagerung

    Store the Granulocyte antibody at 2-8°C (with azide) or aliquot and store at -20°C or colder (without azide).
  • Target

    Granulocytes

    Andere Bezeichnung

    Granulocyte

    Hintergrund

    Recognizes an unidentified antigen in the cytoplasm of mature granulocytes. It shows no reactivity with any other cell type in human tissues. Markers of myeloid cells are useful in the identification of different levels of cellular differentiation. SPM250 Ab reacts with early precursor and mature forms of human myeloid cells. This mAb is useful for the detection of myeloid leukemias and granulocytic sarcomas. It can be used as a marker of granulocytes in normal tissues or inflammatory processes.
Sie sind hier:
Chat with us!