Telefon:
+49 (0)241 95 163 153
Fax:
+49 (0)241 95 163 155
E-Mail:
orders@antikoerper-online.de

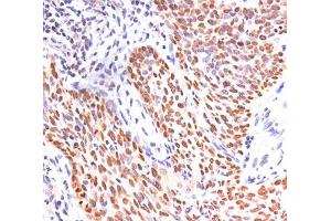
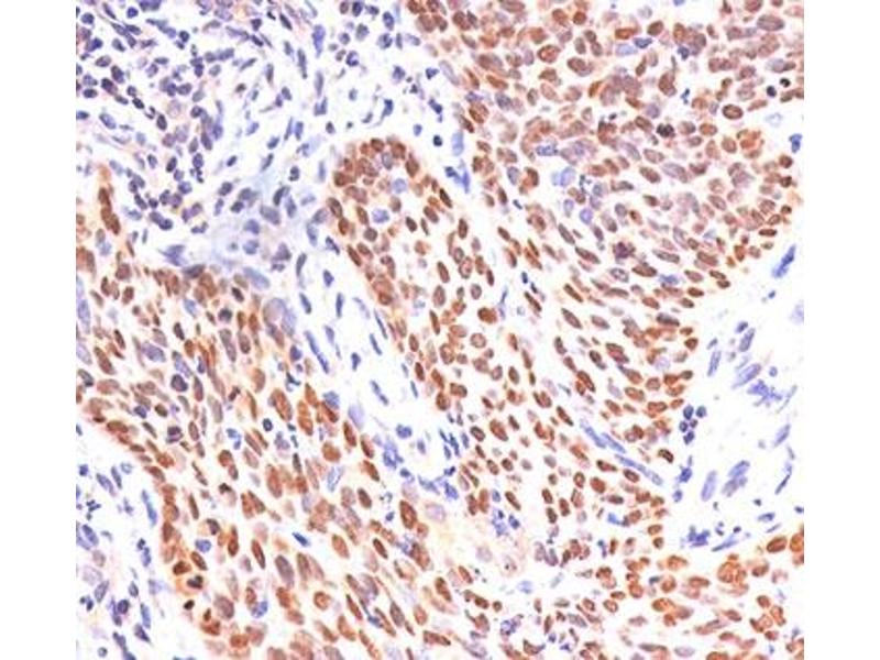
p40 (p63 Delta) (AA 5-17) Antikörper

Der Kaninchen Polyklonal anti-p40 (p63 Delta) Antikörper wird verwendet zum Nachweis von p40 (p63 Delta) in Proben von Human, Rind (Kuh), Maus und Ratte. Er wurde validiert für WB, FACS, IF und IHC (p).
Produktnummer ABIN3025362
642,40 €
Zzgl. Versandkosten 20,00 € und MwSt
100 μg
Lieferung nach: Deutschland
Lieferung in 6 bis 9 Werktagen

Kurzübersicht für p40 (p63 Delta) (AA 5-17) Antikörper (ABIN3025362)

Target

p40 (p63 Delta)

Reaktivität

Human, Rind (Kuh), Maus, Ratte

Wirt

  • 29
  • 2
Kaninchen

Klonalität

  • 17
  • 13
  • 1
Polyklonal

Konjugat

  • 7
  • 3
  • 2
  • 2
  • 2
  • 2
  • 2
  • 2
  • 1
  • 1
  • 1
  • 1
  • 1
  • 1
  • 1
  • 1
  • 1
Unkonjugiert

Applikation

  • 21
  • 18
  • 14
  • 9
  • 8
  • 7
  • 2
  • 1
Western Blotting (WB), Flow Cytometry (FACS), Immunofluorescence (IF), Immunohistochemistry (Paraffin-embedded Sections) (IHC (p))
  • Bindungsspezifität

    • 10
    • 2
    • 1
    AA 5-17

    Aufreinigung

    Protein A affinity chromatography

    Immunogen

    Amino acids ENNAQTQFSEPQY (aa 5-17) of human p40 / p63 delta were used as the immunogen for this antibody.

    Isotyp

    IgG
  • Applikationshinweise

    The concentration stated for each application is a general starting point. Variations in protocols, secondaries and substrates may require the p40 antibody to be titered up or down for optimal performance.

    1. Staining of FFPE tissues requires boiling sections in 1  mM EDTA,  pH 9.0, for 10-20 min followed by cooling at RT for 20 min.
    2. The prediluted format is supplied in a dropper bottle and is optimized for use in IHC. After epitope retrieval step (if required), drip mAb solution onto the tissue section and incubate at RT for 30 min.\. FACS: 0.5-1 μg/10e6 cells,IF: 1-2 μg/mL,WB: 0.5-1 μg/mL,IHC (FFPE): 1-2 μg/mL for 30 minutes at RT (1),Prediluted format : incubate for 30 min at RT (2)

    Beschränkungen

    Nur für Forschungszwecke einsetzbar
  • Konzentration

    1 mg/mL

    Buffer

    1 mg/mL in 1X PBS, BSA free, sodium azide free

    Konservierungsmittel

    Azide free

    Lagerung

    4 °C,-20 °C

    Informationen zur Lagerung

    Store the p40 antibody at 2-8°C (with azide) or aliquot and store at -20°C or colder (without azide).
  • Target

    p40 (p63 Delta)

    Andere Bezeichnung

    p40

    Hintergrund

    P40 (p63 delta) is a marker recently determined to be highly specific for squamous basal cells in the immunohistochemistry (IHC) application. The current more routinely recommended marker, p63, appears to have less specificity compared to p40, especially on squamous cell tumors. The ability to differentiate between lung adenocarcinoma vs. squamous cell carcinoma is difficult and has bearing on the different therapeutic avenues for each subtype treatment. p40 antibody's ability to distinguish between the tumor types appears to be superior when compared to p63. The ability to utilize a p40 antibody probe as a squamous cell marker bolsters its use for future sub-classification of lung cancers, especially by immunohistochemical techniques.

    Gen-ID

    8626
Sie sind hier:
Chat with us!