Telefon:
+49 (0)241 95 163 153
Fax:
+49 (0)241 95 163 155
E-Mail:
orders@antikoerper-online.de

Melanoma Antikörper

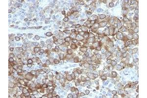
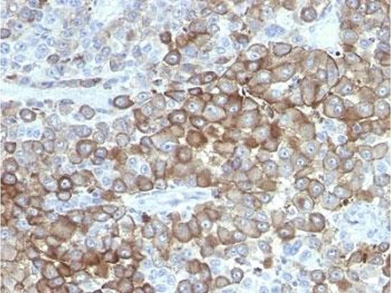
Dieser Maus Monoklonal Antikörper detektiert spezifisch Melanoma in IHC (p) und IF. Es zeigt Reaktivität gegenüber Proben von Human, Hund und Maus.
Produktnummer ABIN3024167
642,40 €
Zzgl. Versandkosten 20,00 € und MwSt
100 μg
Lieferung nach: Deutschland
Lieferung in 6 bis 9 Werktagen

Kurzübersicht für Melanoma Antikörper (ABIN3024167)

Target

Melanoma

Reaktivität

  • 4
  • 2
  • 1
  • 1
Human, Hund, Maus

Wirt

  • 4
Maus

Klonalität

  • 4
Monoklonal

Konjugat

  • 4
Dieser Melanoma Antikörper ist unkonjugiert

Applikation

  • 3
  • 3
  • 2
  • 1
  • 1
Immunohistochemistry (Paraffin-embedded Sections) (IHC (p)), Immunofluorescence (IF)

Klon

PNL2
  • Produktmerkmale

    Anti-PNL2 is a novel monoclonal antibody, which has recently been introduced as an immunohistochemical reagent to stain melanocytes and tumors derived therefrom. The antigen recognized by PNL2 is different from Melan A and gp100. Its epitope is not destroyed by digestion with neuraminidase i.e. its epitope id not glycosylated. Anti-PNL2 may be most useful because of its high sensitivity for metastatic melanoma (87 % ), as opposed to 76 % for anti-HMB45 and 82 % for anti-MART-1. Anti-PNL2 labels intra-epidermal nevi while the dermal component of compound nevi are largely non-reactive with anti-PNL2. Antibodies against PNL2, MART-1 (Melan A) and HMB45 stain most clear cell sarcoma cells and a few cells in angio-myolipomas and lymphangioleiomyomatosis. Anti-PNL2 is a useful antibody for the identification of melanomas and clear cell sarcomas. Differential diagnosis is aided by the results from a panel of antibodies, including antibodies against HMB45, MART-1, tyrosinase, and MiTF.

    Reinheit

    Protein G affinity chromatography

    Immunogen

    Melanocyte antigen was used as the immunogen for the Melanoma antibody PNL2.

    Isotyp

    IgG1
  • Applikationshinweise

    Optimal dilution of the Melanoma antibody PNL2 should be determined by the researcher.

    1. Staining of formalin-fixed tissues requires boiling tissue sections in 10 mM Citrate buffer, pH 6.0, for 10-20 min followed by cooling at RT for 20 min.
    2. The prediluted format is supplied in a dropper bottle and is optimized for use in IHC. After epitope retrieval step (if required), drip mAb solution onto the tissue section and incubate at RT for 30 min.\. Immunofluorescence: 0.5-1 μg/mL,Immunohistochemistry (FFPE): 0.5-1 μg/mL for 30 min at RT (1),Prediluted format: incubate for 30 min at RT (2)

    Beschränkungen

    Nur für Forschungszwecke einsetzbar
  • Buffer

    1 mg/mL in sterile PBS, BSA free, sodium azide free

    Konservierungsmittel

    Azide free

    Lagerung

    -20 °C,4 °C

    Informationen zur Lagerung

    Store the Melanoma antibody PNL2 at 2-8°C (with azide) or aliquot and store at -20°C or colder (without azide).
  • Target

    Melanoma
Sie sind hier:
Chat with us!