Telefon:
+49 (0)241 95 163 153
Fax:
+49 (0)241 95 163 155
E-Mail:
orders@antikoerper-online.de

LAMP3 Antikörper

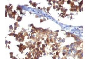
Dieser Maus Monoklonal Antikörper detektiert spezifisch LAMP3 in IF, IHC (p) und FACS. Es zeigt Reaktivität gegenüber Proben von Human.
Produktnummer ABIN3023870
642,40 €
Zzgl. Versandkosten 20,00 € und MwSt
Lieferung nach: Deutschland
Lieferung in 6 bis 9 Werktagen

Kurzübersicht für LAMP3 Antikörper (ABIN3023870)

Target

Alle LAMP3 Antikörper anzeigen
LAMP3 (Lysosomal-Associated Membrane Protein 3 (LAMP3))

Reaktivität

  • 58
  • 6
  • 6
Human

Wirt

  • 51
  • 6
  • 1
  • 1
Maus

Klonalität

  • 55
  • 4
Monoklonal

Konjugat

  • 29
  • 4
  • 4
  • 3
  • 1
  • 1
  • 1
  • 1
  • 1
  • 1
  • 1
  • 1
  • 1
  • 1
  • 1
  • 1
  • 1
  • 1
  • 1
  • 1
  • 1
  • 1
  • 1
Dieser LAMP3 Antikörper ist unkonjugiert

Applikation

  • 43
  • 23
  • 13
  • 13
  • 12
  • 7
  • 3
  • 3
  • 3
  • 2
  • 1
  • 1
Immunofluorescence (IF), Immunohistochemistry (Paraffin-embedded Sections) (IHC (p)), Flow Cytometry (FACS)

Klon

LAMP3-968
  • Produktmerkmale

    This mAb recognizes protein of 26 kDa-60 kDa, which is identified as CD63/LAMP3. Its epitope is different from that of mAb LAMP3/529. The tetraspanins are integral membrane proteins expressed on cell surface and granular membranes of hematopoietic cells and are components of multi-molecular complexes with specific integrins. The tetraspanin CD63/LAMP3 is a lysosomal membrane glycoprotein that translocates to the plasma membrane after platelet activation. It is expressed on activated platelets, monocytes and macrophages, and is weakly expressed on granulocytes, T cell and B cells. It is located on the basophilic granule membranes and on the plasma membranes of lymphocytes and granulocytes. CD63 is a member of the TM4 superfamily of leukocyte glycoproteins that includes CD9, CD37 and CD53, which contain four transmembrane regions. CD63/LAMP3 may play a role in phagocytic and intracellular lysosome-phagosome fusion events. Deficiency is associated with Hermansky-Pudlak syndrome and is strongly expressed during the early stages of melanoma progression.

    Aufreinigung

    Protein G affinity chromatography

    Immunogen

    Recombinant human full-length protein was used as the immunogen for the LAMP3 antibody.

    Isotyp

    IgG2a kappa
  • Applikationshinweise

    Optimal dilution of the LAMP3 antibody should be determined by the researcher.

    1. Staining of formalin-fixed tissues requires boiling tissue sections in 10  mM Citrate buffer,  pH 6.0, for 10-20 min followed by cooling at RT for 20 min.
    2. The prediluted format is supplied in a dropper bottle and is optimized for use in IHC. After epitope retrieval step (if required), drip mAb solution onto the tissue section and incubate at RT for 30 min.\. Flow Cytometry: 0.5-1 μg/million cells in 0.1ml,Immunofluorescence: 0.5-1 μg/mL,Immunohistochemistry (FFPE): 1-2 μg/mL for 30 min at RT (1),Prediluted format: incubate for 30 min at RT (2)

    Beschränkungen

    Nur für Forschungszwecke einsetzbar
  • Konzentration

    0.2 mg/mL

    Buffer

    0.2 mg/mL in 1X PBS with 0.1 mg/mL BSA (US sourced) and 0.05 % sodium azide

    Konservierungsmittel

    Sodium azide

    Vorsichtsmaßnahmen

    This product contains Sodium azide: a POISONOUS AND HAZARDOUS SUBSTANCE which should be handled by trained staff only.

    Lagerung

    4 °C,-20 °C

    Informationen zur Lagerung

    Store the LAMP3 antibody at 2-8°C (with azide) or aliquot and store at -20°C or colder (without azide).
  • Target

    LAMP3 (Lysosomal-Associated Membrane Protein 3 (LAMP3))

    Andere Bezeichnung

    LAMP3

    Hintergrund

    This mAb recognizes protein of 26  kDa-60  kDa, which is identified as CD63/LAMP3. Its epitope is different from that of mAb LAMP3/529. The tetraspanins are integral membrane proteins expressed on cell surface and granular membranes of hematopoietic cells and are components of multi-molecular complexes with specific integrins. The tetraspanin CD63/LAMP3 is a lysosomal membrane glycoprotein that translocates to the plasma membrane after platelet activation. It is expressed on activated platelets, monocytes and macrophages, and is weakly expressed on granulocytes, T cell and B cells. It is located on the basophilic granule membranes and on the plasma membranes of lymphocytes and granulocytes. CD63 is a member of the TM4 superfamily of leukocyte glycoproteins that includes CD9, CD37 and CD53, which contain four transmembrane regions. CD63/LAMP3 may play a role in phagocytic and intracellular lysosome-phagosome fusion events. Deficiency is associated with Hermansky-Pudlak syndrome and is strongly expressed during the early stages of melanoma progression.
Sie sind hier:
Chat with us!