Telefon:
+49 (0)241 95 163 153
Fax:
+49 (0)241 95 163 155
E-Mail:
orders@antikoerper-online.de

Keratin 10 Antikörper

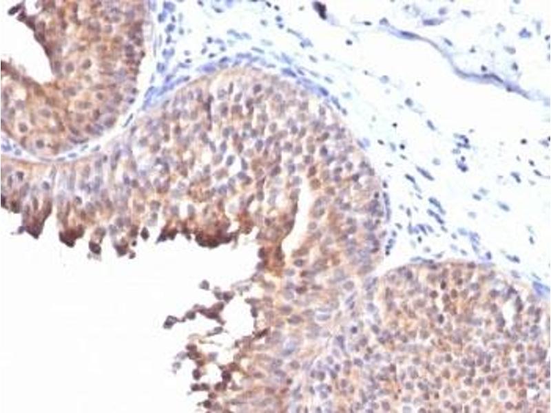
Dieser Maus Monoklonal Antikörper detektiert spezifisch Keratin 10 in IF, FACS und IHC (p). Es zeigt Reaktivität gegenüber Proben von Human und Maus.
Produktnummer ABIN3023828
642,40 €
Zzgl. Versandkosten 20,00 € und MwSt
Lieferung nach: Deutschland
Lieferung in 6 bis 9 Werktagen

Kurzübersicht für Keratin 10 Antikörper (ABIN3023828)

Target

Alle Keratin 10 (KRT10) Antikörper anzeigen
Keratin 10 (KRT10)

Reaktivität

  • 192
  • 101
  • 71
  • 47
  • 37
  • 6
  • 5
  • 4
  • 3
  • 2
  • 2
  • 2
  • 2
  • 2
  • 1
Human, Maus

Wirt

  • 113
  • 83
  • 2
Maus

Klonalität

  • 136
  • 62
Monoklonal

Konjugat

  • 93
  • 15
  • 7
  • 7
  • 7
  • 7
  • 7
  • 7
  • 6
  • 4
  • 3
  • 3
  • 3
  • 3
  • 3
  • 3
  • 3
  • 2
  • 1
  • 1
  • 1
  • 1
  • 1
  • 1
  • 1
  • 1
  • 1
  • 1
  • 1
  • 1
  • 1
  • 1
  • 1
Dieser Keratin 10 Antikörper ist unkonjugiert

Applikation

  • 124
  • 90
  • 56
  • 49
  • 49
  • 29
  • 25
  • 22
  • 14
  • 13
  • 11
  • 10
  • 8
  • 6
  • 2
  • 2
  • 1
Immunofluorescence (IF), Flow Cytometry (FACS), Immunohistochemistry (Paraffin-embedded Sections) (IHC (p))

Klon

KRT10-844
  • Produktmerkmale

    This mAb recognizes a protein of 56.5 kDa, identified as cytokeratin 10 (CK10). CK10 is expressed in all suprabasal layers of the epidermis. In the epidermis, expression of CK10 strictly parallels the extent of differentiation, it is absent in the basal layer, appears in the first suprabasal layers and increases in concentration towards the granular layer. However, CK10 is rarely detected in early stages of vulvar squamous carcinomas (tumors less than 2 cm, clinical stage I) regardless of the tumor grade. In larger and more advanced tumors (greater than 2 cm, clinical stages II and III), CK10 is detected very frequently. Expression of CK10 is related to maturation of malignant keratinocytes, being preferentially detected in more-differentiated parts.

    Aufreinigung

    Protein G affinity chromatography

    Immunogen

    Recombinant human KRT10 protein was used as the immunogen for the Keratin 10 antibody.

    Isotyp

    IgG1 kappa
  • Applikationshinweise

    Optimal dilution of the Keratin 10 antibody should be determined by the researcher.

    1. Staining of formalin-fixed tissues requires boiling tissue sections in 10  mM Citrate buffer,  pH 6.0, for 10-20 min followed by cooling at RT for 20 minutes
    2. The prediluted format is supplied in a dropper bottle and is optimized for use in IHC. After epitope retrieval step (if required), drip mAb solution onto the tissue section and incubate at RT for 30 min.\. Flow Cytometry: 0.5-1 μg/million cells in 0.1ml,Immunofluorescence: 0.5-1 μg/mL,Immunohistochemistry (FFPE): 0.1-0.2 μg/mL for 30 min at RT (1),Prediluted format : incubate for 30 min at RT (2)

    Beschränkungen

    Nur für Forschungszwecke einsetzbar
  • Konzentration

    0.2 mg/mL

    Buffer

    0.2 mg/mL in 1X PBS with 0.1 mg/mL BSA (US sourced) and 0.05 % sodium azide

    Konservierungsmittel

    Sodium azide

    Vorsichtsmaßnahmen

    This product contains Sodium azide: a POISONOUS AND HAZARDOUS SUBSTANCE which should be handled by trained staff only.

    Lagerung

    4 °C,-20 °C

    Informationen zur Lagerung

    Store the Keratin 10 antibody at 2-8°C (with azide) or aliquot and store at -20°C or colder (without azide).
  • Target

    Keratin 10 (KRT10)

    Hintergrund

    This mAb recognizes a protein of 56.5  kDa, identified as cytokeratin 10 (CK10). CK10 is expressed in all suprabasal layers of the epidermis. In the epidermis, expression of CK10 strictly parallels the extent of differentiation, it is absent in the basal layer, appears in the first suprabasal layers and increases in concentration towards the granular layer. However, CK10 is rarely detected in early stages of vulvar squamous carcinomas (tumors less than 2 cm, clinical stage I) regardless of the tumor grade. In larger and more advanced tumors (greater than 2 cm, clinical stages II and III), CK10 is detected very frequently. Expression of CK10 is related to maturation of malignant keratinocytes, being preferentially detected in more-differentiated parts.
Sie sind hier:
Chat with us!