Telefon:
+49 (0)241 95 163 153
Fax:
+49 (0)241 95 163 155
E-Mail:
orders@antikoerper-online.de

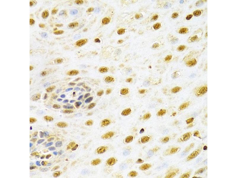
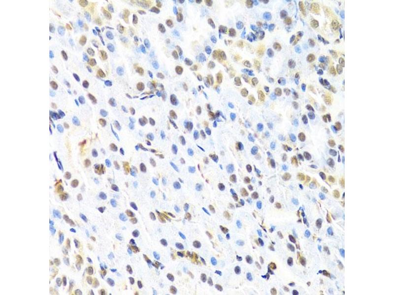
RUNX1 Antikörper (AA 150-250)

Dieser Kaninchen Polyklonal Antikörper detektiert spezifisch RUNX1 in WB, IHC und IF. Es zeigt Reaktivität gegenüber Proben von Human.
Produktnummer ABIN3022804
416,00 €
Zzgl. Versandkosten 20,00 € und MwSt
Lieferung nach: Deutschland
Lieferung in 7 bis 9 Werktagen

Kurzübersicht für RUNX1 Antikörper (AA 150-250) (ABIN3022804)

Target

Alle RUNX1 Antikörper anzeigen
RUNX1 (Runt-Related Transcription Factor 1 (RUNX1))

Reaktivität

  • 145
  • 88
  • 51
  • 13
  • 10
  • 10
  • 10
  • 9
  • 7
  • 5
  • 5
  • 4
  • 1
  • 1
  • 1
  • 1
  • 1
Human

Wirt

  • 139
  • 18
  • 2
  • 1
Kaninchen

Klonalität

  • 140
  • 21
Polyklonal

Konjugat

  • 101
  • 8
  • 5
  • 4
  • 3
  • 3
  • 3
  • 3
  • 3
  • 3
  • 2
  • 2
  • 2
  • 2
  • 2
  • 2
  • 2
  • 2
  • 2
  • 2
  • 2
  • 2
  • 1
Dieser RUNX1 Antikörper ist unkonjugiert

Applikation

  • 128
  • 74
  • 43
  • 31
  • 29
  • 20
  • 15
  • 13
  • 13
  • 5
  • 5
  • 1
  • 1
  • 1
  • 1
  • 1
  • 1
Western Blotting (WB), Immunohistochemistry (IHC), Immunofluorescence (IF)
  • Bindungsspezifität

    • 28
    • 16
    • 14
    • 12
    • 9
    • 9
    • 4
    • 4
    • 4
    • 3
    • 3
    • 3
    • 2
    • 2
    • 2
    • 2
    • 2
    • 2
    • 2
    • 2
    • 2
    • 2
    • 2
    • 2
    • 1
    • 1
    • 1
    • 1
    • 1
    • 1
    • 1
    • 1
    • 1
    • 1
    • 1
    • 1
    • 1
    • 1
    • 1
    • 1
    • 1
    AA 150-250

    Sequenz

    AMKNQVARFN DLRFVGRSGR GKSFTLTITV FTNPPQVATY HRAIKITVDG PREPRRHRQK LDDQTKPGSL SFSERLSELE QLRRTAMRVS PHHPAPTPNP R

    Kreuzreaktivität

    Human, Maus, Ratte

    Produktmerkmale

    Polyclonal Antibodies

    Immunogen

    A synthetic peptide corresponding to a sequence within amino acids 150-250 of human RUNX1 (NP_001745.2).

    Isotyp

    IgG
  • Applikationshinweise

    WB,1:500 - 1:2000,IHC,1:50 - 1:100,IF,1:50 - 1:200

    Beschränkungen

    Nur für Forschungszwecke einsetzbar
  • Format

    Liquid

    Buffer

    PBS with 0.02 % sodium azide,50 % glycerol, pH 7.3.

    Konservierungsmittel

    Sodium azide

    Vorsichtsmaßnahmen

    This product contains Sodium azide: a POISONOUS AND HAZARDOUS SUBSTANCE which should be handled by trained staff only.

    Handhabung

    Avoid freeze / thaw cycles

    Lagerung

    -20 °C

    Informationen zur Lagerung

    Store at -20°C. Avoid freeze / thaw cycles.
  • Target

    RUNX1 (Runt-Related Transcription Factor 1 (RUNX1))

    Andere Bezeichnung

    RUNX1

    Hintergrund

    Core binding factor (CBF) is a heterodimeric transcription factor that binds to the core element of many enhancers and promoters. The protein encoded by this gene represents the alpha subunit of CBF and is thought to be involved in the development of normal hematopoiesis. Chromosomal translocations involving this gene are well-documented and have been associated with several types of leukemia. Three transcript variants encoding different isoforms have been found for this gene.,RUNX1,AML1,AML1-EVI-1,AMLCR1,CBF2alpha,CBFA2,EVI-1,PEBP2aB,PEBP2alpha,Epigenetics & Nuclear Signaling,Transcription Factors,Cancer,Cell Biology & Developmental Biology,Hippo Signaling Pathway,Neuroscience,Stem Cells,Hematopoietic Progenitors,Cardiovascular,Angiogenesis,RUNX1

    Molekulargewicht

    20-28 kDa/37 kDa/48-51 kDa

    Gen-ID

    861

    UniProt

    Q01196
Sie sind hier:
Chat with us!