Telefon:
+49 (0)241 95 163 153
Fax:
+49 (0)241 95 163 155
E-Mail:
orders@antikoerper-online.de

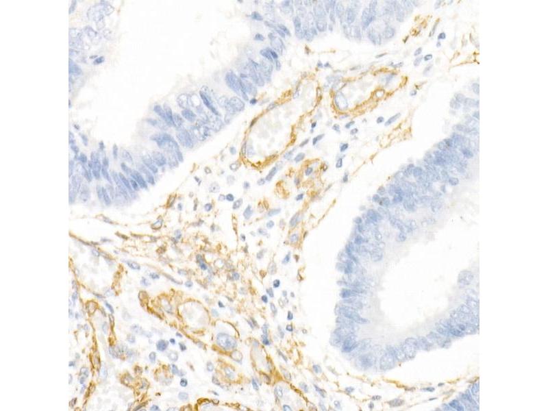
Decorin Antikörper (AA 31-359)

Der Kaninchen Polyklonal anti-Decorin Antikörper (ABIN3022361) detektiert spezifisch Decorin in WB, IHC und IF. Dieser Antikörper reagiert spezifisch mit Proben aus Human.
Produktnummer ABIN3022361
320,00 €
Zzgl. Versandkosten 20,00 € und MwSt
Lieferung nach: Deutschland
Lieferung in 7 bis 9 Werktagen

Kurzübersicht für Decorin Antikörper (AA 31-359) (ABIN3022361)

Target

Alle Decorin (DCN) Antikörper anzeigen
Decorin (DCN)

Reaktivität

  • 96
  • 37
  • 24
  • 12
  • 8
  • 6
  • 5
  • 5
  • 4
  • 4
  • 4
  • 2
  • 2
  • 2
  • 2
  • 2
  • 1
Human

Wirt

  • 70
  • 34
  • 4
  • 1
  • 1
Kaninchen

Klonalität

  • 70
  • 40
Polyklonal

Konjugat

  • 71
  • 10
  • 7
  • 5
  • 2
  • 2
  • 1
  • 1
  • 1
  • 1
  • 1
  • 1
  • 1
  • 1
  • 1
  • 1
  • 1
  • 1
  • 1
Dieser Decorin Antikörper ist unkonjugiert

Applikation

  • 55
  • 50
  • 30
  • 13
  • 10
  • 8
  • 6
  • 5
  • 4
  • 3
  • 2
  • 1
Western Blotting (WB), Immunohistochemistry (IHC), Immunofluorescence (IF)
  • Bindungsspezifität

    • 21
    • 9
    • 6
    • 6
    • 5
    • 5
    • 5
    • 4
    • 3
    • 2
    • 2
    • 2
    • 2
    • 1
    • 1
    • 1
    • 1
    • 1
    • 1
    • 1
    • 1
    • 1
    • 1
    • 1
    • 1
    AA 31-359

    Sequenz

    DEASGIGPEV PDDRDFEPSL GPVCPFRCQC HLRVVQCSDL GLDKVPKDLP PDTTLLDLQN NKITEIKDGD FKNLKNLHAL ILVNNKISKV SPGAFTPLVK LERLYLSKNQ LKELPEKMPK TLQELRAHEN EITKVRKVTF NGLNQMIVIE LGTNPLKSSG IENGAFQGMK KLSYIRIADT NITSIPQGLP PSLTELHLDG NKISRVDAAS LKGLNNLAKL GLSFNSISAV DNGSLANTPH LRELHLDNNK LTRVPGGLAE HKYIQVVYLH NNNISVVGSS DFCPPGHNTK KASYSGVSLF SNPVQYWEIQ PSTFRCVYVR SAIQLGNYK

    Kreuzreaktivität

    Human, Maus, Ratte

    Produktmerkmale

    Polyclonal Antibodies

    Aufreinigung

    Affinity purification

    Immunogen

    Recombinant fusion protein containing a sequence corresponding to amino acids 31-359 of human Decorin (NP_598010.1).

    Isotyp

    IgG
  • Applikationshinweise

    WB,1:500 - 1:2000,IHC,1:50 - 1:200,IF,1:50 - 1:200

    Beschränkungen

    Nur für Forschungszwecke einsetzbar
  • Format

    Liquid

    Buffer

    PBS with 0.02 % sodium azide,50 % glycerol, pH 7.3.

    Konservierungsmittel

    Sodium azide

    Vorsichtsmaßnahmen

    This product contains Sodium azide: a POISONOUS AND HAZARDOUS SUBSTANCE which should be handled by trained staff only.

    Handhabung

    Avoid freeze / thaw cycles

    Lagerung

    -20 °C

    Informationen zur Lagerung

    Store at -20°C. Avoid freeze / thaw cycles.
  • Target

    Decorin (DCN)

    Andere Bezeichnung

    DCN

    Hintergrund

    This gene encodes a member of the small leucine-rich proteoglycan family of proteins. Alternative splicing results in multiple transcript variants, at least one of which encodes a preproprotein that is proteolytically processed to generate the mature protein. This protein plays a role in collagen fibril assembly. Binding of this protein to multiple cell surface receptors mediates its role in tumor suppression, including a stimulatory effect on autophagy and inflammation and an inhibitory effect on angiogenesis and tumorigenesis. This gene and the related gene biglycan are thought to be the result of a gene duplication. Mutations in this gene are associated with congenital stromal corneal dystrophy in human patients.,DCN,CSCD,DSPG2,PG40,PGII,PGS2,SLRR1B,decorin,Decorin,Epigenetics & Nuclear Signaling,RNA Binding,Signal Transduction,Cell Biology & Developmental Biology,Cytoskeleton,Extracellular Matrix,Collagen,Bone,Stem Cells,Mesenchymal Stem Cells,DCN

    Molekulargewicht

    8 kDa/19 kDa/23 kDa/27 kDa/39 kDa

    Gen-ID

    1634

    UniProt

    P07585

    Pathways

    Glycosaminoglycan Metabolic Process
Sie sind hier:
Chat with us!