Telefon:
+49 (0)241 95 163 153
Fax:
+49 (0)241 95 163 155
E-Mail:
orders@antikoerper-online.de

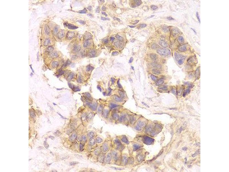
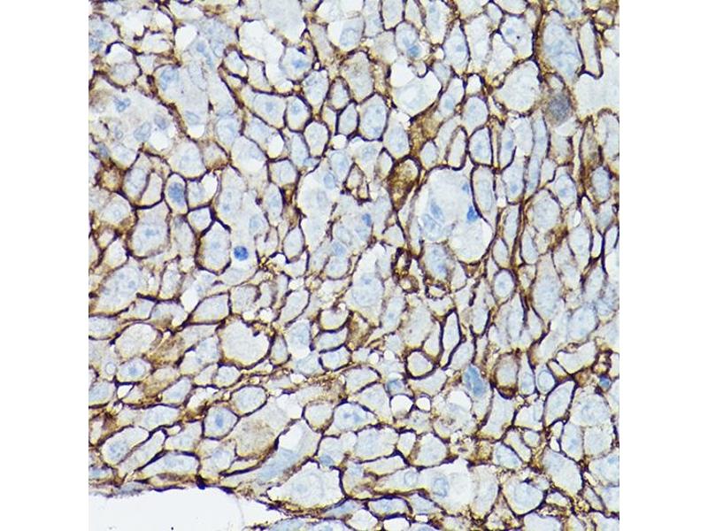
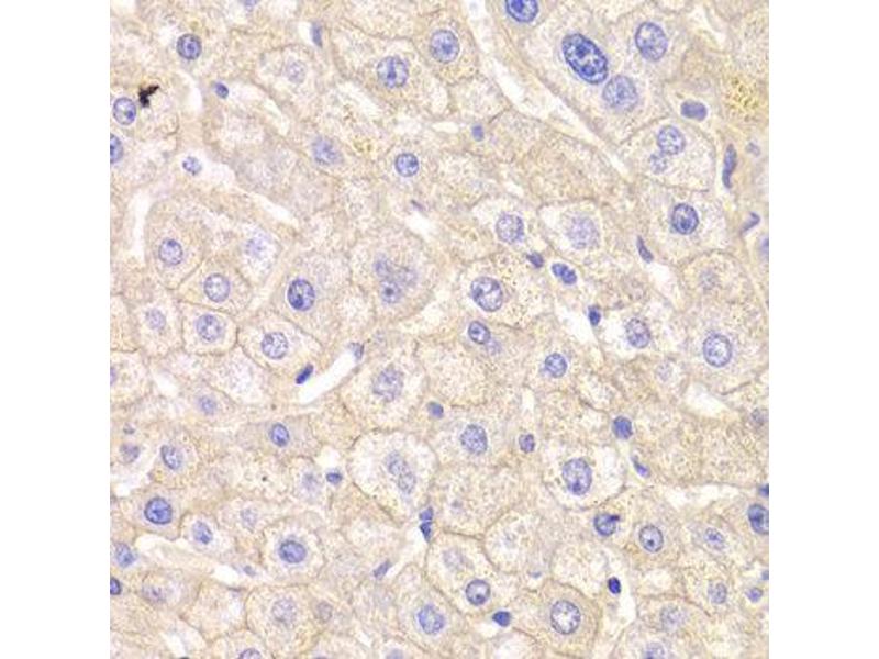
CTNND1 Antikörper (AA 573-832)

Der Kaninchen Polyklonal anti-CTNND1 Antikörper wird verwendet zum Nachweis von CTNND1 in Proben von Human. Er wurde validiert für WB und IHC.
Produktnummer ABIN3022309
320,00 €
Zzgl. Versandkosten 20,00 € und MwSt
Lieferung nach: Deutschland
Lieferung in 7 bis 9 Werktagen

Kurzübersicht für CTNND1 Antikörper (AA 573-832) (ABIN3022309)

Target

Alle CTNND1 Antikörper anzeigen
CTNND1 (Catenin (Cadherin-Associated Protein), delta 1 (CTNND1))

Reaktivität

  • 132
  • 108
  • 44
  • 4
  • 4
  • 4
  • 4
  • 4
  • 3
  • 2
  • 1
  • 1
  • 1
Human

Wirt

  • 139
  • 26
Kaninchen

Klonalität

  • 127
  • 38
Polyklonal

Konjugat

  • 77
  • 9
  • 7
  • 6
  • 4
  • 4
  • 4
  • 4
  • 4
  • 4
  • 4
  • 4
  • 4
  • 4
  • 4
  • 2
  • 2
  • 2
  • 2
  • 2
  • 2
  • 2
  • 1
  • 1
  • 1
  • 1
  • 1
  • 1
  • 1
  • 1
Dieser CTNND1 Antikörper ist unkonjugiert

Applikation

  • 123
  • 55
  • 54
  • 48
  • 37
  • 35
  • 35
  • 24
  • 17
  • 15
  • 14
  • 4
  • 3
  • 2
  • 2
Western Blotting (WB), Immunohistochemistry (IHC)
  • Bindungsspezifität

    • 23
    • 16
    • 15
    • 15
    • 10
    • 7
    • 6
    • 5
    • 5
    • 4
    • 3
    • 2
    • 2
    • 2
    • 2
    • 1
    • 1
    • 1
    • 1
    • 1
    • 1
    • 1
    • 1
    • 1
    • 1
    • 1
    • 1
    • 1
    • 1
    • 1
    • 1
    • 1
    • 1
    • 1
    • 1
    AA 573-832

    Sequenz

    ILEASAGAIQ NLCAGRWTYG RYIRSALRQE KALSAIADLL TNEHERVVKA ASGALRNLAV DARNKELIGK HAIPNLVKNL PGGQQNSSWN FSEDTVISIL NTINEVIAEN LEAAKKLRET QGIEKLVLIN KSGNRSEKEV RAAALVLQTI WGYKELRKPL EKEGWKKSDF QVNLNNASRS QSSHSYDDST LPLIDRNQKS DKKPDREEIQ MSNMGSNTKS LDNNYSTPNE RGDHNRTLDR SGDLGDMEPL KGTTPLMQKI

    Kreuzreaktivität

    Human, Maus, Ratte

    Produktmerkmale

    Polyclonal Antibodies

    Aufreinigung

    Affinity purification

    Immunogen

    Recombinant fusion protein containing a sequence corresponding to amino acids 573-832 of human delta-Catenin/p120 Catenin (NP_001078938.1).

    Isotyp

    IgG
  • Applikationshinweise

    WB,1:500 - 1:2000,IHC,1:50 - 1:200

    Beschränkungen

    Nur für Forschungszwecke einsetzbar
  • Format

    Liquid

    Buffer

    PBS with 0.02 % sodium azide,50 % glycerol, pH 7.3.

    Konservierungsmittel

    Sodium azide

    Vorsichtsmaßnahmen

    This product contains Sodium azide: a POISONOUS AND HAZARDOUS SUBSTANCE which should be handled by trained staff only.

    Handhabung

    Avoid freeze / thaw cycles

    Lagerung

    -20 °C

    Informationen zur Lagerung

    Store at -20°C. Avoid freeze / thaw cycles.
  • Target

    CTNND1 (Catenin (Cadherin-Associated Protein), delta 1 (CTNND1))

    Andere Bezeichnung

    CTNND1

    Hintergrund

    This gene encodes a member of the Armadillo protein family, which function in adhesion between cells and signal transduction. Multiple translation initiation codons and alternative splicing result in many different isoforms being translated. Not all of the full-length natures of the described transcript variants have been determined. Read-through transcription also exists between this gene and the neighboring upstream thioredoxin-related transmembrane protein 2 (TMX2) gene.,CAS,CTNND,P120CAS,P120CTN,p120,p120(CAS),p120(CTN),CTNND1,Signal Transduction,G protein signaling,Cell Biology & Developmental Biology,Cell Adhesion,Tight Junctions,Cytoskeleton,Microfilaments,Wnt/β-Catenin Signaling Pathway,Stem Cells,CTNND1

    Molekulargewicht

    65-72 kDa/90-108 kDa

    Gen-ID

    1500

    UniProt

    O60716

    Pathways

    EGFR Signaling Pathway, Neurotrophin Signalübertragung, Cell-Cell Junction Organization, CXCR4-mediated Signaling Events, Platelet-derived growth Factor Receptor Signaling
Sie sind hier:
Chat with us!