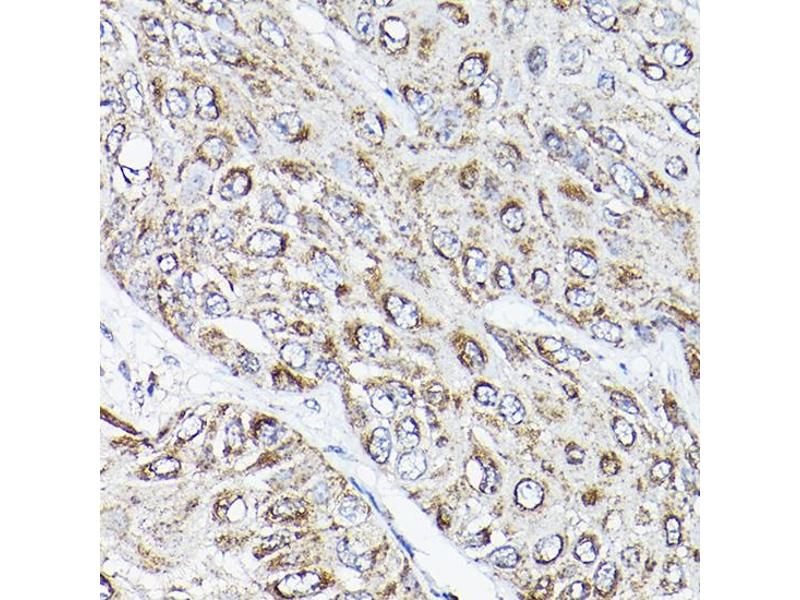
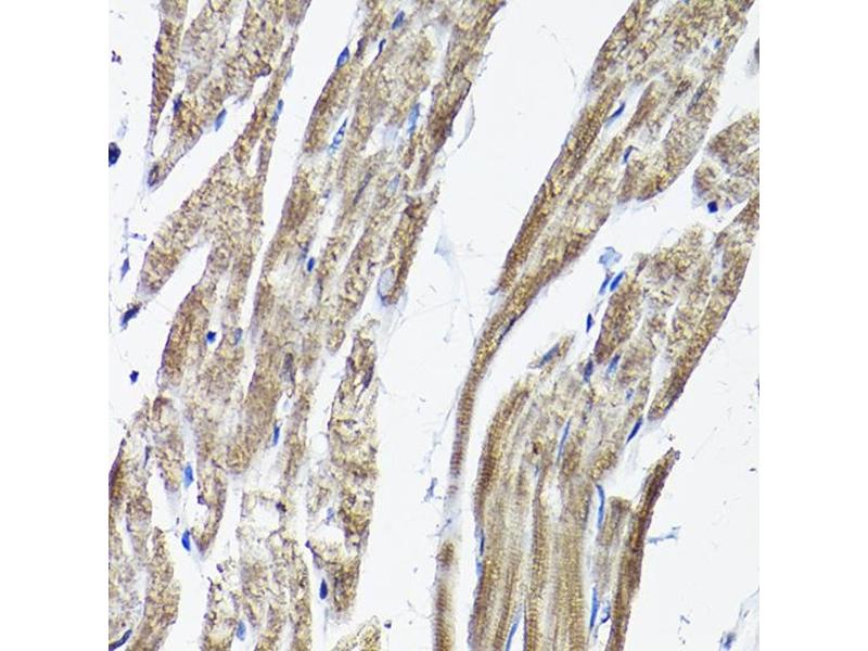
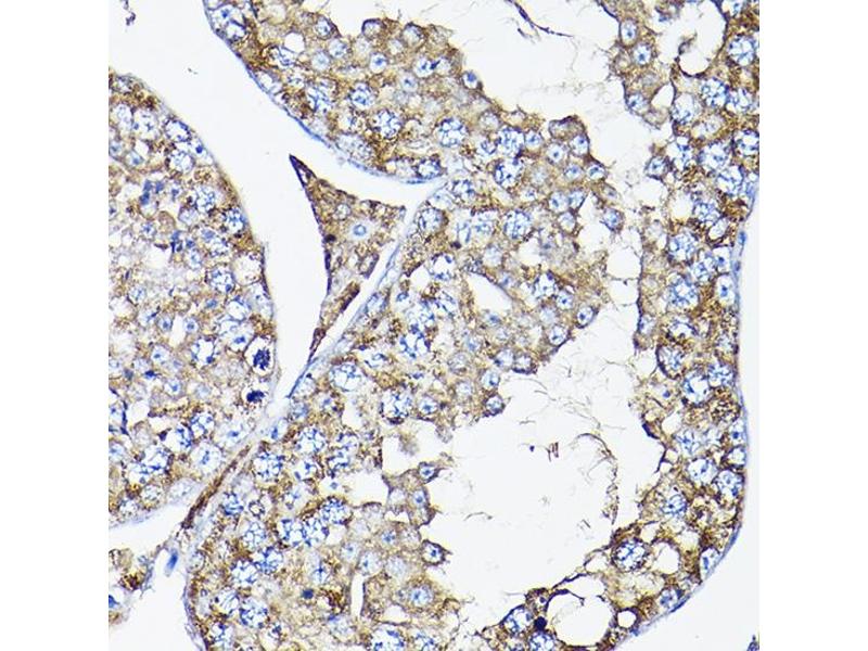
RAMP2
Reaktivität: Human
WB, IF (cc), IF (p)
Wirt: Kaninchen
Polyclonal
Cy7
Applikationshinweise
WB,1:500 - 1:2000,IHC,1:50 - 1:200
Beschränkungen
Nur für Forschungszwecke einsetzbar
Buffer
PBS with 0.02 % sodium azide,50 % glycerol, pH 7.3.
Konservierungsmittel
Sodium azide
Vorsichtsmaßnahmen
This product contains Sodium azide: a POISONOUS AND HAZARDOUS SUBSTANCE which should be handled by trained staff only.
Lagerung
-20 °C
Informationen zur Lagerung
Store at -20°C. Avoid freeze / thaw cycles.
Target
RAMP2
(Receptor (G Protein-Coupled) Activity Modifying Protein 2 (RAMP2))
Andere Bezeichnung
RAMP2
Hintergrund
The protein encoded by this gene is a member of the RAMP family of single-transmembrane-domain proteins, called receptor (calcitonin) activity modifying proteins (RAMPs). RAMPs are type I transmembrane proteins with an extracellular N terminus and a cytoplasmic C terminus. RAMPs are required to transport calcitonin-receptor-like receptor (CRLR) to the plasma membrane. CRLR, a receptor with seven transmembrane domains, can function as either a calcitonin-gene-related peptide (CGRP) receptor or an adrenomedullin receptor, depending on which members of the RAMP family are expressed. In the presence of this (RAMP2) protein, CRLR functions as an adrenomedullin receptor. The RAMP2 protein is involved in core glycosylation and transportation of adrenomedullin receptor to the cell surface.,RAMP2,Signal Transduction,G protein signaling,G-Protein-Coupled Receptors(GPCR),Cell Biology & Developmental Biology,Growth factor,RAMP2