Telefon:
+49 (0)241 95 163 153
Fax:
+49 (0)241 95 163 155
E-Mail:
orders@antikoerper-online.de

Histone 3 Antikörper (acLys27)

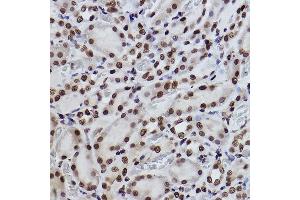
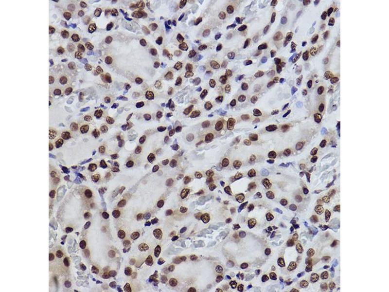
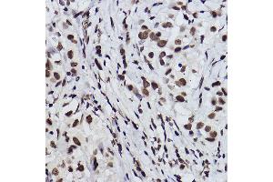
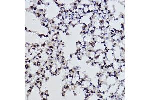
Der Kaninchen Monoklonal Anti-Histone 3-Antikörper wurde für WB, IF, IHC und ChIP validiert. Er ist geeignet, Histone 3 in Proben von Human zu detektieren.
Produktnummer ABIN1682513

Kurzübersicht für Histone 3 Antikörper (acLys27) (ABIN1682513)

Target

Alle Histone 3 (H3) Antikörper anzeigen
Histone 3 (H3) (Histone H3 (H3))

Reaktivität

  • 1353
  • 910
  • 812
  • 41
  • 39
  • 39
  • 34
  • 34
  • 26
  • 23
  • 21
  • 21
  • 6
  • 5
  • 4
  • 4
  • 3
  • 3
  • 3
  • 2
  • 2
  • 2
  • 2
  • 2
  • 1
  • 1
  • 1
  • 1
  • 1
  • 1
  • 1
  • 1
  • 1
  • 1
  • 1
  • 1
  • 1
  • 1
  • 1
  • 1
  • 1
Human

Wirt

  • 1157
  • 255
  • 12
  • 5
Kaninchen

Klonalität

  • 1075
  • 353
  • 1
Monoklonal

Konjugat

  • 817
  • 72
  • 47
  • 46
  • 44
  • 44
  • 44
  • 44
  • 29
  • 27
  • 18
  • 18
  • 18
  • 17
  • 17
  • 17
  • 17
  • 17
  • 17
  • 17
  • 17
  • 17
  • 7
  • 1
Dieser Histone 3 Antikörper ist unkonjugiert

Applikation

  • 1029
  • 418
  • 374
  • 323
  • 253
  • 202
  • 188
  • 187
  • 164
  • 163
  • 148
  • 127
  • 115
  • 58
  • 48
  • 48
  • 35
  • 22
  • 16
  • 14
  • 7
  • 7
  • 6
  • 4
  • 3
  • 1
  • 1
  • 1
  • 1
  • 1
  • 1
  • 1
Western Blotting (WB), Immunofluorescence (IF), Immunohistochemistry (IHC), Chromatin Immunoprecipitation (ChIP)
  • Bindungsspezifität

    • 56
    • 50
    • 48
    • 44
    • 43
    • 37
    • 37
    • 36
    • 35
    • 35
    • 34
    • 33
    • 32
    • 31
    • 31
    • 30
    • 23
    • 23
    • 23
    • 22
    • 22
    • 19
    • 18
    • 17
    • 17
    • 17
    • 16
    • 16
    • 16
    • 16
    • 15
    • 15
    • 14
    • 13
    • 13
    • 13
    • 13
    • 12
    • 12
    • 12
    • 11
    • 11
    • 10
    • 10
    • 9
    • 9
    • 9
    • 8
    • 8
    • 8
    acLys27

    Kreuzreaktivität

    Human, Maus, Ratte

    Produktmerkmale

    Acetylated Antibodies

    Aufreinigung

    Affinity purification

    Immunogen

    A synthesized peptide derived from human Histone H3 (acetyl K27).

    Isotyp

    IgG
  • Applikationshinweise

    WB,1:500 - 1:2000,IHC,1:50 - 1:200,IF,1:50 - 1:200,ChIP,1:50 - 1:200

    Beschränkungen

    Nur für Forschungszwecke einsetzbar
  • Buffer

    PBS with 0.02 % sodium azide,0.05 % BSA,50 % glycerol, pH 7.3.

    Konservierungsmittel

    Sodium azide

    Vorsichtsmaßnahmen

    This product contains Sodium azide: a POISONOUS AND HAZARDOUS SUBSTANCE which should be handled by trained staff only.

    Lagerung

    -20 °C

    Informationen zur Lagerung

    Store at -20°C. Avoid freeze / thaw cycles.
  • Target

    Histone 3 (H3) (Histone H3 (H3))

    Andere Bezeichnung

    Histone H3 (acetyl K27)

    Hintergrund

    Core component of nucleosome. Nucleosomes wrap and compact DNA into chromatin, limiting DNA accessibility to the cellular machineries which require DNA as a template. Histones thereby play a central role in transcription regulation, DNA repair, DNA replication and chromosomal stability. DNA accessibility is regulated via a complex set of post-translational modifications of histones, also called histone code, and nucleosome remodeling.,Histone H3 (acetyl K27)

    Molekulargewicht

    17 kDa

    Gen-ID

    8350, 3020, 8290

    UniProt

    P68431, P84243, Q16695, Q6NXT2, Q71DI3
Sie sind hier:
Chat with us!