Telefon:
+49 (0)241 95 163 153
Fax:
+49 (0)241 95 163 155
E-Mail:
orders@antikoerper-online.de

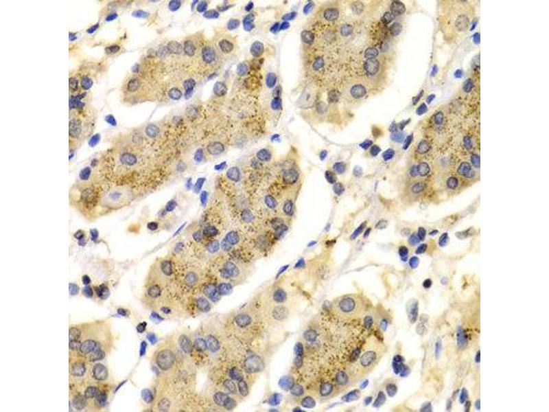
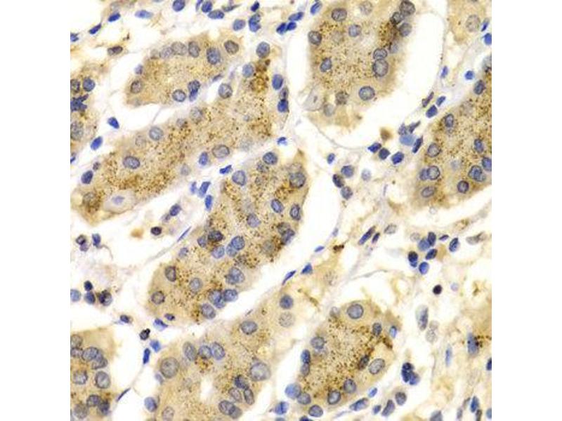
PRG2 Antikörper (AA 17-222)

Der Kaninchen Polyklonal anti-PRG2 Antikörper (ABIN3016204) detektiert spezifisch PRG2 in WB, IHC und IF. Dieser Antikörper reagiert spezifisch mit Proben aus Human.
Produktnummer ABIN3016204
320,00 €
Zzgl. Versandkosten 20,00 € und MwSt
Lieferung nach: Deutschland
Lieferung in 7 bis 9 Werktagen

Kurzübersicht für PRG2 Antikörper (AA 17-222) (ABIN3016204)

Target

Alle PRG2 Antikörper anzeigen
PRG2 (Bone Marrow Proteoglycan (PRG2))

Reaktivität

  • 46
  • 5
  • 5
  • 2
  • 1
Human

Wirt

  • 43
  • 9
Kaninchen

Klonalität

  • 45
  • 7
Polyklonal

Konjugat

  • 15
  • 10
  • 6
  • 3
  • 1
  • 1
  • 1
  • 1
  • 1
  • 1
  • 1
  • 1
  • 1
  • 1
  • 1
  • 1
  • 1
  • 1
  • 1
  • 1
  • 1
  • 1
Dieser PRG2 Antikörper ist unkonjugiert

Applikation

  • 38
  • 18
  • 13
  • 13
  • 9
  • 9
  • 7
  • 3
  • 2
  • 1
  • 1
Western Blotting (WB), Immunohistochemistry (IHC), Immunofluorescence (IF)
  • Bindungsspezifität

    • 15
    • 4
    • 4
    • 3
    • 3
    • 3
    • 3
    • 2
    • 2
    • 2
    • 1
    • 1
    • 1
    AA 17-222

    Sequenz

    LHLRSETSTF ETPLGAKTLP EDEETPEQEM EETPCRELEE EEEWGSGSED ASKKDGAVES ISVPDMVDKN LTCPEEEDTV KVVGIPGCQT CRYLLVRSLQ TFSQAWFTCR RCYRGNLVSI HNFNINYRIQ CSVSALNQGQ VWIGGRITGS GRCRRFQWVD GSRWNFAYWA AHQPWSRGGH CVALCTRGGH WRRAHCLRRL PFICSY

    Kreuzreaktivität

    Human, Maus, Ratte

    Produktmerkmale

    Polyclonal Antibodies

    Immunogen

    Recombinant fusion protein containing a sequence corresponding to amino acids 17-222 of human PRG2 (NP_002719.3).

    Isotyp

    IgG
  • Applikationshinweise

    WB,1:500 - 1:2000,IHC,1:50 - 1:200,IF,1:50 - 1:200

    Beschränkungen

    Nur für Forschungszwecke einsetzbar
  • Buffer

    PBS with 0.02 % sodium azide,50 % glycerol, pH 7.3.

    Konservierungsmittel

    Sodium azide

    Vorsichtsmaßnahmen

    This product contains Sodium azide: a POISONOUS AND HAZARDOUS SUBSTANCE which should be handled by trained staff only.

    Lagerung

    -20 °C

    Informationen zur Lagerung

    Store at -20°C. Avoid freeze / thaw cycles.
  • Target

    PRG2 (Bone Marrow Proteoglycan (PRG2))

    Andere Bezeichnung

    PRG2

    Hintergrund

    The protein encoded by this gene is the predominant constituent of the crystalline core of the eosinophil granule. High levels of the proform of this protein are also present in placenta and pregnancy serum, where it exists as a complex with several other proteins including pregnancy-associated plasma protein A (PAPPA), angiotensinogen (AGT), and C3dg. This protein may be involved in antiparasitic defense mechanisms as a cytotoxin and helminthotoxin, and in immune hypersensitivity reactions. The encoded protein contains a peptide that displays potent antimicrobial activity against Gram-positive bacteria, Gram-negative bacteria, and fungi. It is directly implicated in epithelial cell damage, exfoliation, and bronchospasm in allergic diseases. Alternatively spliced transcript variants encoding different isoforms have been found for this gene.,PRG2,BMPG,MBP,MBP1,proMBP,PRG2

    Molekulargewicht

    23 kDa/25 kDa

    Gen-ID

    5553

    UniProt

    P13727
Sie sind hier:
Chat with us!