Telefon:
+49 (0)241 95 163 153
Fax:
+49 (0)241 95 163 155
E-Mail:
orders@antikoerper-online.de

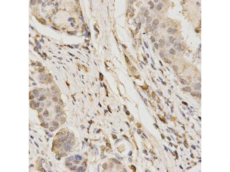
GLB1 Antikörper (AA 1-270)

Der Kaninchen Polyklonal anti-GLB1 Antikörper (ABIN3015643) detektiert spezifisch GLB1 in WB, IHC und IF. Dieser Antikörper reagiert spezifisch mit Proben aus Human.
Produktnummer ABIN3015643
320,00 €
Zzgl. Versandkosten 20,00 € und MwSt
Lieferung nach: Deutschland
Lieferung in 7 bis 9 Werktagen

Kurzübersicht für GLB1 Antikörper (AA 1-270) (ABIN3015643)

Target

Alle GLB1 Antikörper anzeigen
GLB1 (Galactosidase, beta 1 (GLB1))

Reaktivität

  • 78
  • 48
  • 17
  • 17
  • 3
  • 2
  • 2
  • 1
  • 1
  • 1
Human

Wirt

  • 85
  • 24
  • 10
  • 8
  • 4
  • 2
  • 1
  • 1
Kaninchen

Klonalität

  • 76
  • 44
  • 15
Polyklonal

Konjugat

  • 89
  • 11
  • 9
  • 6
  • 2
  • 2
  • 2
  • 2
  • 2
  • 2
  • 2
  • 1
  • 1
  • 1
  • 1
  • 1
  • 1
Dieser GLB1 Antikörper ist unkonjugiert

Applikation

  • 119
  • 40
  • 37
  • 37
  • 29
  • 26
  • 17
  • 16
  • 10
  • 7
  • 3
  • 3
  • 2
  • 2
  • 2
  • 2
  • 1
  • 1
Western Blotting (WB), Immunohistochemistry (IHC), Immunofluorescence (IF)
  • Bindungsspezifität

    • 8
    • 6
    • 5
    • 4
    • 3
    • 2
    • 2
    • 1
    • 1
    • 1
    • 1
    • 1
    • 1
    • 1
    • 1
    • 1
    • 1
    • 1
    • 1
    • 1
    AA 1-270

    Sequenz

    MFEIDYSRDS FLKDGQPFRY ISGSIHYSRV PRFYWKDRLL KMKMAGLNAI QTYVPWNFHE PWPGQYQFSE DHDVEYFLRL AHELGLLVIL RPGPYICAEW EMGGLPAWLL EKESILLRSS DPDYLAAVDK WLGVLLPKMK PLLYQNGGPV ITVQVENEYG SYFACDFDYL RFLQKRFRHH LGDDVVLFTT DGAHKTFLKC GALQGLYTTV DFGTGSNITD AFLSQRKCEP KGPLINSEFY TGWLDHWGQP HSTIKTEAVA SSLYDILARG

    Kreuzreaktivität

    Human, Maus, Ratte

    Produktmerkmale

    Polyclonal Antibodies

    Aufreinigung

    Affinity purification

    Immunogen

    Recombinant fusion protein containing a sequence corresponding to amino acids 1-270 of human GLB1 (NP_001073279.1).

    Isotyp

    IgG
  • Applikationshinweise

    WB,1:500 - 1:2000,IHC,1:50 - 1:200,IF,1:50 - 1:200

    Beschränkungen

    Nur für Forschungszwecke einsetzbar
  • Buffer

    PBS with 0.02 % sodium azide,50 % glycerol, pH 7.3.

    Konservierungsmittel

    Sodium azide

    Vorsichtsmaßnahmen

    This product contains Sodium azide: a POISONOUS AND HAZARDOUS SUBSTANCE which should be handled by trained staff only.

    Lagerung

    -20 °C

    Informationen zur Lagerung

    Store at -20°C. Avoid freeze / thaw cycles.
  • Target

    GLB1 (Galactosidase, beta 1 (GLB1))

    Andere Bezeichnung

    GLB1

    Hintergrund

    This gene encodes a member of the glycosyl hydrolase 35 family of proteins. Alternative splicing results in multiple transcript variants, at least one of which encodes a preproprotein that is proteolytically processed to generate the mature lysosomal enzyme. This enzyme catalyzes the hydrolysis of a terminal beta-linked galactose residue from ganglioside substrates and other glycoconjugates. Mutations in this gene may result in GM1-gangliosidosis and Morquio B syndrome.,GLB1,EBP,ELNR1,MPS4B,Cancer,Signal Transduction,Endocrine & Metabolism,GLB1

    Molekulargewicht

    60 kDa/72 kDa/76 kDa

    Gen-ID

    2720

    UniProt

    P16278

    Pathways

    Glycosaminoglycan Metabolic Process
Sie sind hier:
Chat with us!