×
Aktivieren Sie Javascript in Ihrem Browser, um unsere Webseite optimal zu nutzen.
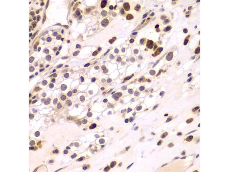
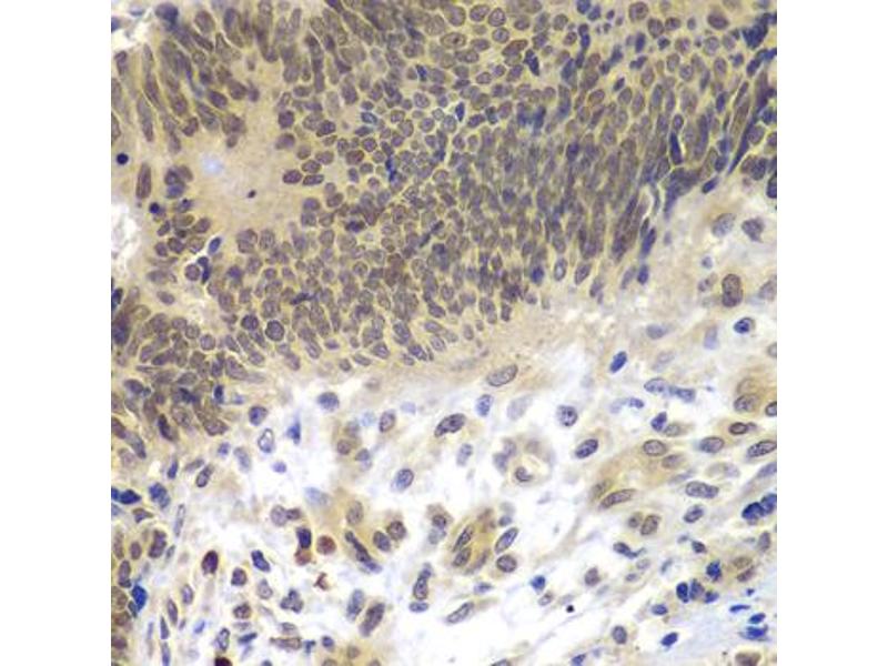
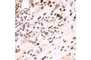
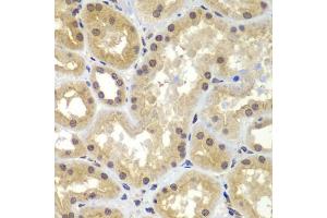
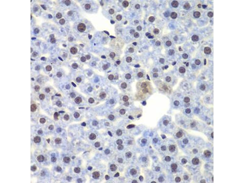
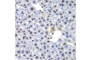
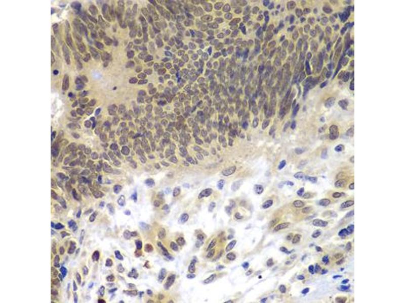
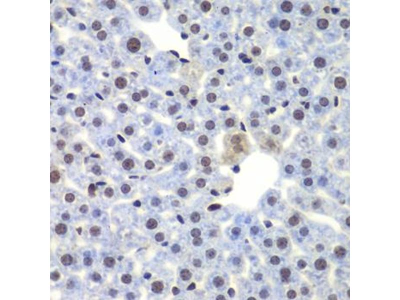
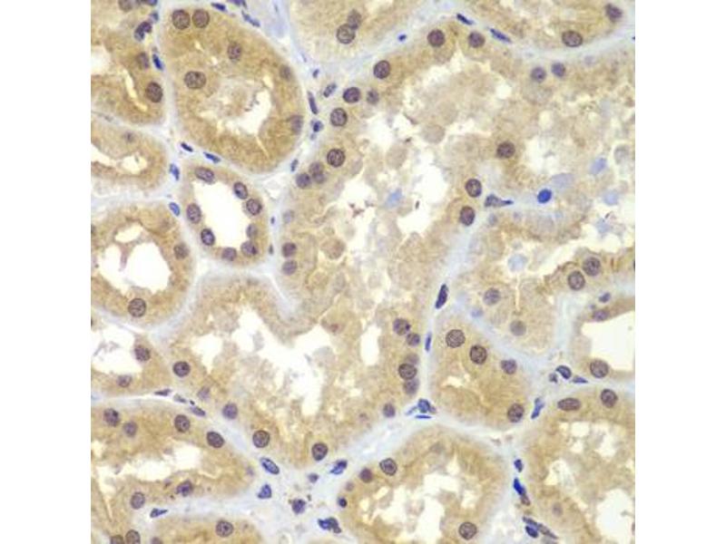
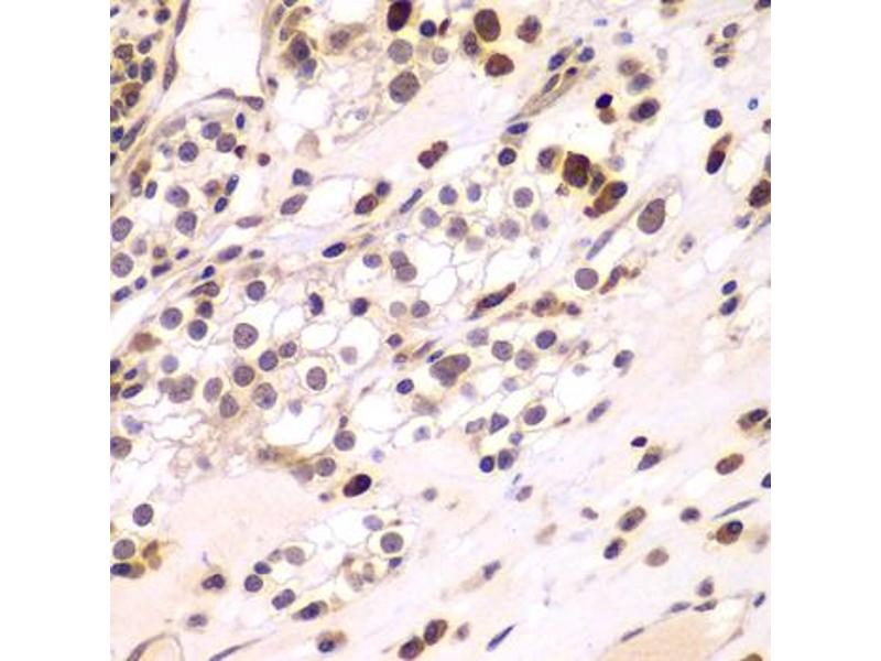
CEBPG Antikörper
Dieser Kaninchen Polyklonal Antikörper detektiert spezifisch CEBPG in WB, IHC und IF/ICC. Es zeigt Reaktivität gegenüber Proben von Human, Maus und Ratte.
Produktnummer ABIN2970738
678,88 €
Zzgl. Versandkosten 20,00 € und MwSt
20 μL ABIN5974381
2 x 100 μL ABIN2898527
100 μL ABIN2970738
20 μL ABIN5974381
2 x 100 μL ABIN2898527
100 μL ABIN2970738
Lieferung in 7 bis 13 Werktagen
Kurzübersicht für CEBPG Antikörper (ABIN2970738)
Target
Alle CEBPG Antikörper anzeigen
CEBPG
(CCAAT/enhancer Binding Protein (C/EBP), gamma (CEBPG))
Reaktivität
Alle Reaktivitäten für CEBPG Antikörper
Human, Maus, Ratte
Wirt
Alle Wirte für CEBPG Antikörper
Kaninchen
Klonalität
Alle Klonalitäten für CEBPG Antikörper
Polyklonal
Konjugat
Alle Konjugate für CEBPG Antikörper
Dieser CEBPG Antikörper ist unkonjugiert
Applikation
Alle Applikationen für CEBPG Antikörper
Western Blotting (WB), Immunohistochemistry (IHC), Immunofluorescence (fixed cells) (IF/ICC)
Produktdetails anti-CEBPG Antikörper
(ausblenden)
Aufreinigung
Affinity purified
Immunogen
Recombinant protein of human CEBPG.
Isotyp
IgG
Alternativen
(anzeigen)
Anwendungsinformationen
(ausblenden)
Applikationshinweise
Optimal working dilution should be determined by the investigator.
Beschränkungen
Nur für Forschungszwecke einsetzbar
Handhabung
(ausblenden)
Format
Liquid
Konzentration
Lot specific
Buffer
PBS, pH 7.3, 0.02 % sodium azide, 50 % glycerol.
Konservierungsmittel
Sodium azide
Vorsichtsmaßnahmen
This product contains Sodium azide: a POISONOUS AND HAZARDOUS SUBSTANCE which should be handled by trained staff only.
Lagerung
-20 °C
Informationen zur Lagerung
Aliquot and store at -20 °C. Avoid repeated freeze/thaw cycles.
Details zu CEBPG
(ausblenden)
Target
CEBPG
(CCAAT/enhancer Binding Protein (C/EBP), gamma (CEBPG))
Andere Bezeichnung
CEBPG
Molekulargewicht
Calculated MW: 16 kDa Observed MW: 16 kDa
Gen-ID
1054
UniProt
P53567
Pathways
Positive Regulation of Response to DNA Damage Stimulus
Zuletzt angesehen
(ausblenden)
Chat with us , powered by LiveChat