×
Aktivieren Sie Javascript in Ihrem Browser, um unsere Webseite optimal zu nutzen.
RSRC1 Antikörper
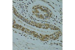
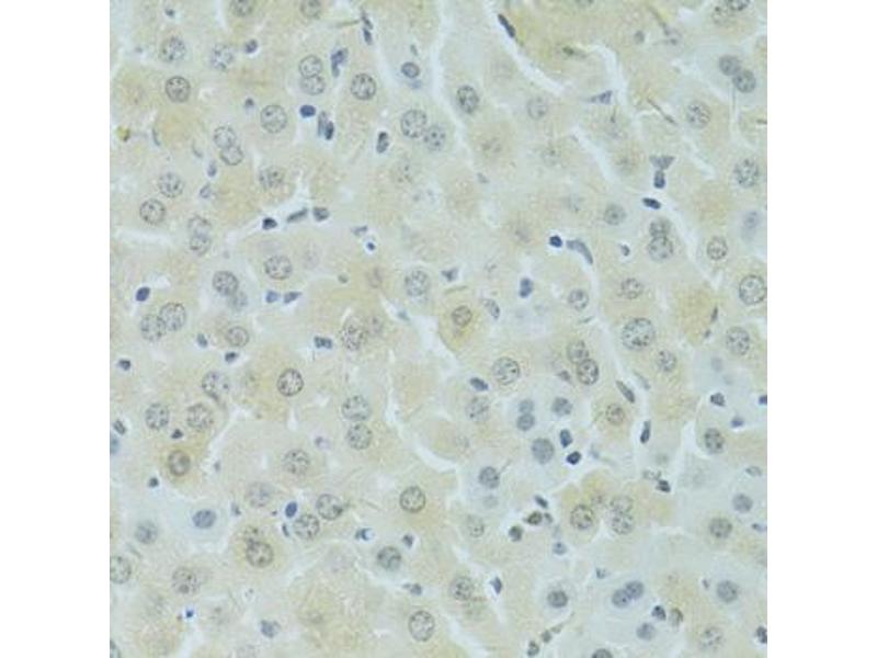
Der Kaninchen Polyklonal anti-RSRC1 Antikörper wird verwendet zum Nachweis von RSRC1 in Proben von Human, Maus und Ratte. Er wurde validiert für WB, IHC und IF/ICC.
Produktnummer ABIN2970637
678,88 €
Zzgl. Versandkosten 20,00 € und MwSt
20 μL ABIN5974341
2 x 100 μL ABIN2910027
100 μL ABIN2970637
20 μL ABIN5974341
2 x 100 μL ABIN2910027
100 μL ABIN2970637
Lieferung in 7 bis 13 Werktagen
Kurzübersicht für RSRC1 Antikörper (ABIN2970637)
Target
Alle RSRC1 Antikörper anzeigen
RSRC1
(arginine/serine-Rich Coiled-Coil 1 (RSRC1))
Reaktivität
Alle Reaktivitäten für RSRC1 Antikörper
Human, Maus, Ratte
Wirt
Alle Wirte für RSRC1 Antikörper
Kaninchen
Klonalität
Alle Klonalitäten für RSRC1 Antikörper
Polyklonal
Konjugat
Alle Konjugate für RSRC1 Antikörper
Dieser RSRC1 Antikörper ist unkonjugiert
Applikation
Alle Applikationen für RSRC1 Antikörper
Western Blotting (WB), Immunohistochemistry (IHC), Immunofluorescence (fixed cells) (IF/ICC)
Produktdetails anti-RSRC1 Antikörper
(ausblenden)
Aufreinigung
Affinity purified
Immunogen
Recombinant protein of human RSRC1.
Isotyp
IgG
Alternativen
(anzeigen)
Anwendungsinformationen
(ausblenden)
Applikationshinweise
Optimal working dilution should be determined by the investigator.
Beschränkungen
Nur für Forschungszwecke einsetzbar
Handhabung
(ausblenden)
Format
Liquid
Konzentration
Lot specific
Buffer
PBS, pH 7.3, 0.02 % sodium azide, 50 % glycerol.
Konservierungsmittel
Sodium azide
Vorsichtsmaßnahmen
This product contains Sodium azide: a POISONOUS AND HAZARDOUS SUBSTANCE which should be handled by trained staff only.
Lagerung
-20 °C
Informationen zur Lagerung
Aliquot and store at -20 °C. Avoid repeated freeze/thaw cycles.
Details zu RSRC1
(ausblenden)
Target
RSRC1
(arginine/serine-Rich Coiled-Coil 1 (RSRC1))
Andere Bezeichnung
RSRC1
Molekulargewicht
Calculated MW: 31 kDa/38 kDa Observed MW: 39 kDa
Gen-ID
51319
UniProt
Q96IZ7
Zuletzt angesehen
(ausblenden)
Chat with us , powered by LiveChat