×
Aktivieren Sie Javascript in Ihrem Browser, um unsere Webseite optimal zu nutzen.
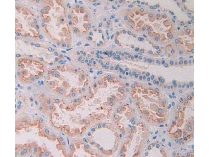
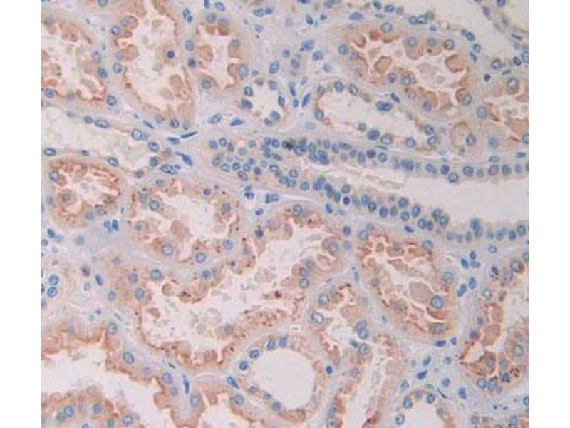
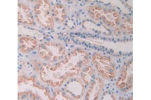
Ribonuclease A8 Antikörper (AA 19-154)
Der Kaninchen Polyklonal anti-Ribonuclease A8 Antikörper (ABIN2924101) detektiert spezifisch Ribonuclease A8 in IHC, WB, IF/ICC und IP.
Dieser Antikörper reagiert spezifisch mit Proben aus Human.
Produktnummer ABIN2924101
495,37 €
Zzgl. Versandkosten 20,00 € und MwSt
1 mL ABIN6313273
100 μL ABIN2924101
200 μL ABIN6313272
1 mL ABIN6313273
100 μL ABIN2924101
200 μL ABIN6313272
Lieferung in 7 bis 15 Werktagen
Kurzübersicht für Ribonuclease A8 Antikörper (AA 19-154) (ABIN2924101)
Target
Ribonuclease A8
Reaktivität
Human
Wirt
Alle Wirte für Ribonuclease A8 Antikörper
Kaninchen
Klonalität
Alle Klonalitäten für Ribonuclease A8 Antikörper
Polyklonal
Konjugat
Alle Konjugate für Ribonuclease A8 Antikörper
Dieser Ribonuclease A8 Antikörper ist unkonjugiert
Applikation
Alle Applikationen für Ribonuclease A8 Antikörper
Immunohistochemistry (IHC), Western Blotting (WB), Immunofluorescence (fixed cells) (IF/ICC), Immunoprecipitation (IP)
Produktdetails anti-Ribonuclease A8 Antikörper
(ausblenden)
Bindungsspezifität
AA 19-154
Aufreinigung
Antigen-specific affinity chromatography followed by Protein A affinity chromatography
Immunogen
RNASE8 (Trp19-Val154)
Alternativen
(anzeigen)
Anwendungsinformationen
(ausblenden)
Applikationshinweise
Optimal working dilution should be determined by the investigator.
Beschränkungen
Nur für Forschungszwecke einsetzbar
Handhabung
(ausblenden)
Format
Liquid
Konzentration
500 μg/mL
Buffer
PBS, pH 7.4, containing 0.02 % Sodium azide, 50 % glycerol.
Konservierungsmittel
Sodium azide
Vorsichtsmaßnahmen
This product contains Sodium azide: a POISONOUS AND HAZARDOUS SUBSTANCE which should be handled by trained staff only.
Lagerung
4 °C,-20 °C
Informationen zur Lagerung
Store at 4 °C for frequent use. Aliquot and store at -20 °C for one year. Avoid repeated freeze/thaw cycles.
Details zu Ribonuclease A8
(ausblenden)
Target
Ribonuclease A8
UniProt
Q8TDE3
Zuletzt angesehen
(ausblenden)
Sie sind hier:
Startseite
anti-Ribonuclease A8 Antikörper (AA 19-154) (ABIN2924101)
Chat with us , powered by LiveChat