Telefon:
+49 (0)241 95 163 153
Fax:
+49 (0)241 95 163 155
E-Mail:
orders@antikoerper-online.de

Histone H2B Antikörper (acLys5)

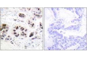
Dieser Kaninchen Polyklonal Antikörper detektiert spezifisch Histone H2B in ELISA, IHC und IHC (p). Es zeigt Reaktivität gegenüber Proben von Human, Maus und Ratte.
Produktnummer ABIN2890725
741,67 €
Zzgl. Versandkosten 20,00 € und MwSt
Lieferung nach: Deutschland
Lieferung in 15 bis 20 Werktagen

Kurzübersicht für Histone H2B Antikörper (acLys5) (ABIN2890725)

Target

Alle Histone H2B Antikörper anzeigen
Histone H2B

Reaktivität

  • 291
  • 155
  • 146
  • 21
  • 14
  • 9
  • 9
  • 5
  • 5
  • 5
  • 4
  • 3
  • 3
  • 2
  • 1
Human, Maus, Ratte

Wirt

  • 296
  • 23
  • 2
Kaninchen

Klonalität

  • 233
  • 88
Polyklonal

Konjugat

  • 199
  • 17
  • 9
  • 9
  • 9
  • 9
  • 9
  • 9
  • 8
  • 7
  • 5
  • 5
  • 2
  • 2
  • 2
  • 2
  • 2
  • 2
  • 2
  • 2
  • 2
  • 2
  • 2
  • 2
  • 2
Dieser Histone H2B Antikörper ist unkonjugiert

Applikation

  • 248
  • 103
  • 102
  • 73
  • 66
  • 34
  • 31
  • 27
  • 27
  • 26
  • 20
  • 7
  • 6
  • 6
  • 2
  • 2
  • 2
  • 1
  • 1
ELISA, Immunohistochemistry (IHC), Immunohistochemistry (Paraffin-embedded Sections) (IHC (p))
  • Bindungsspezifität

    • 23
    • 15
    • 14
    • 11
    • 10
    • 10
    • 10
    • 10
    • 10
    • 9
    • 9
    • 8
    • 8
    • 6
    • 6
    • 6
    • 5
    • 5
    • 4
    • 4
    • 4
    • 3
    • 3
    • 3
    • 3
    • 3
    • 3
    • 3
    • 3
    • 3
    • 2
    • 2
    • 2
    • 2
    • 2
    • 2
    • 2
    • 2
    • 2
    • 2
    • 2
    • 2
    • 2
    • 2
    • 2
    • 2
    • 2
    • 2
    • 2
    • 2
    acLys5

    Spezifität

    Histone H2A (Acetyl-Lys5) Antibody detects endogenous levels of total Histone H2A protein only when acetylated at lysine5.

    Aufreinigung

    Immunoaffinity purified

    Immunogen

    Synthetic peptide from human Histone H2A around the acetylated site of Lys5.

    Type of Immunogen: Synthetic peptide

    Isotyp

    IgG
  • Applikationshinweise

    Approved: IHC, IHC-P (1:50 - 1:100), Peptide-ELISA (1:1000)

    Kommentare

    Target Species of Antibody: Human

    Beschränkungen

    Nur für Forschungszwecke einsetzbar
  • Format

    Liquid

    Konzentration

    Lot specific

    Buffer

    PBS (without Mg2+, Ca2+),  pH 7.4, 150 mM sodium chloride, 0.02 % sodium azide, 50 % glycerol

    Konservierungsmittel

    Sodium azide

    Vorsichtsmaßnahmen

    This product contains Sodium azide: a POISONOUS AND HAZARDOUS SUBSTANCE which should be handled by trained staff only.

    Lagerung

    -20 °C

    Informationen zur Lagerung

    Store at -20°C for up to 1 year.

    Haltbarkeit

    12 months
  • Target

    Histone H2B
Sie sind hier:
Chat with us!