Telefon:
+49 (0)241 95 163 153
Fax:
+49 (0)241 95 163 155
E-Mail:
orders@antikoerper-online.de

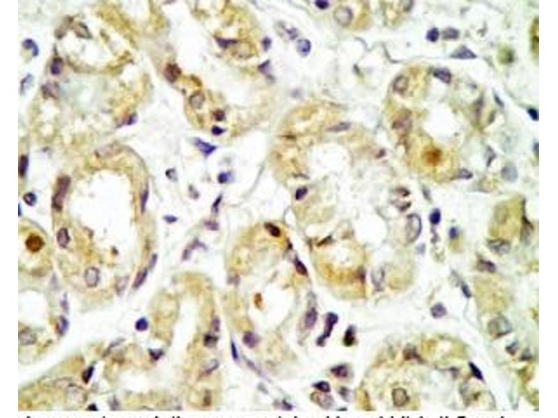
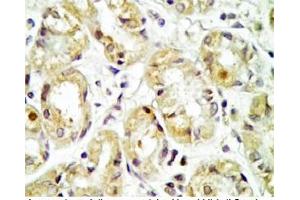
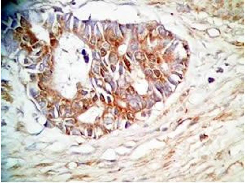
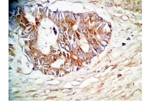
Spexin Antikörper (Preproprotein)

Der Kaninchen Polyklonal anti-Spexin Antikörper wird verwendet zum Nachweis von Spexin in Proben von Human. Er wurde validiert für IHC.
Produktnummer ABIN2873103
850,00 €
Zzgl. Versandkosten 20,00 € und MwSt
100 μL
Lieferung nach: Deutschland
Lieferung in 9 bis 11 Werktagen

Kurzübersicht für Spexin Antikörper (Preproprotein) (ABIN2873103)

Target

Spexin (SPX)

Reaktivität

  • 18
  • 7
  • 7
Human

Wirt

  • 18
Kaninchen

Klonalität

  • 18
Polyklonal

Konjugat

  • 8
  • 5
  • 3
  • 1
  • 1
Dieser Spexin Antikörper ist unkonjugiert

Applikation

  • 5
  • 3
  • 2
Immunohistochemistry (IHC)
  • Bindungsspezifität

    • 7
    • 6
    • 5
    AA 36-58, Preproprotein

    Aufreinigung

    unpurified serum

    Immunogen

    5-10 mg of > 70% pure peptide conjugated to KLH.
  • Applikationshinweise

    Optimal working dilution should be determined by the investigator.

    Beschränkungen

    Nur für Forschungszwecke einsetzbar
  • Format

    Liquid

    Lagerung

    4 °C,-20 °C

    Informationen zur Lagerung

    Store antibodies at 2-4°C before and at -20°C after rehydration. The product is stable for approximately 3-6 weeks after rehydration at -20°C or below.
  • Target

    Spexin (SPX)

    Andere Bezeichnung

    Spexin
Sie sind hier:
Chat with us!