Telefon:
+49 (0)241 95 163 153
Fax:
+49 (0)241 95 163 155
E-Mail:
orders@antikoerper-online.de

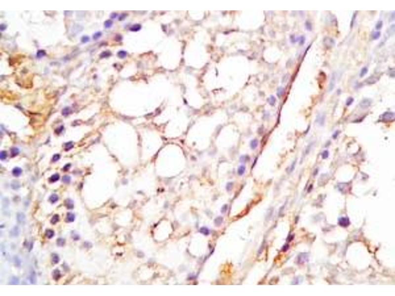
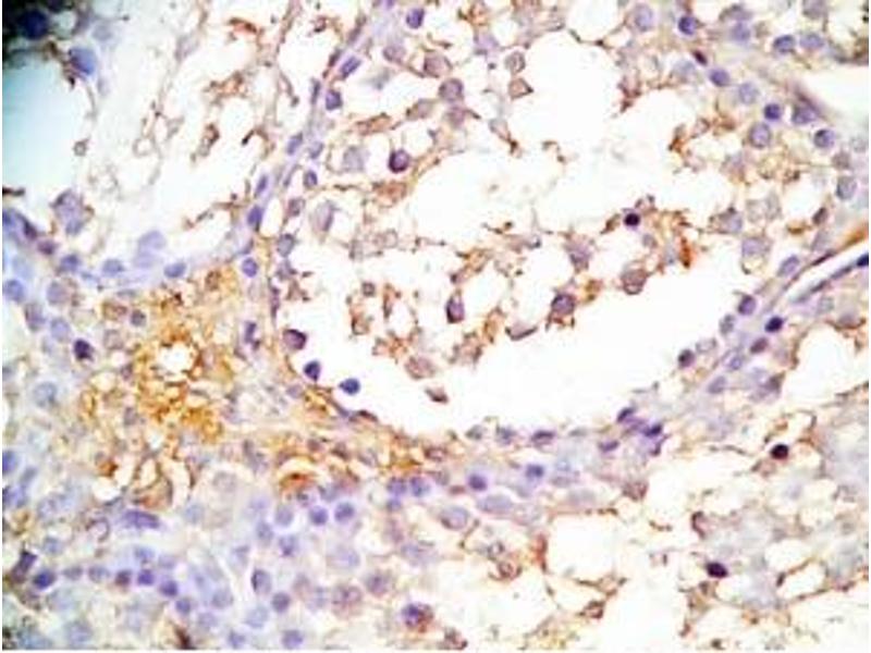
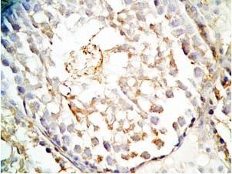
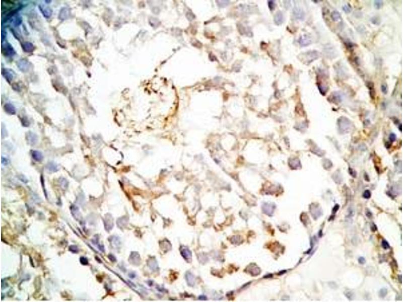
INSL6 Antikörper (Preproprotein)

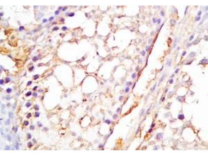
Der Kaninchen Polyklonal anti-INSL6 Antikörper (ABIN2873065) detektiert spezifisch INSL6 in IHC. Dieser Antikörper reagiert spezifisch mit Proben aus Human.
Produktnummer ABIN2873065
473,17 €
Zzgl. Versandkosten 20,00 € und MwSt
100 μL
Lieferung nach: Deutschland
Lieferung in 9 bis 11 Werktagen

Kurzübersicht für INSL6 Antikörper (Preproprotein) (ABIN2873065)

Target

Alle INSL6 Antikörper anzeigen
INSL6 (Insulin-Like 6 (INSL6))

Reaktivität

  • 14
  • 4
  • 2
Human

Wirt

  • 16
Kaninchen

Klonalität

  • 15
Polyklonal

Konjugat

  • 15
  • 1
Dieser INSL6 Antikörper ist unkonjugiert

Applikation

  • 10
  • 9
  • 6
Immunohistochemistry (IHC)
  • Bindungsspezifität

    • 3
    • 3
    • 2
    • 2
    • 1
    • 1
    • 1
    • 1
    AA 55-118, Preproprotein

    Aufreinigung

    unpurified serum

    Immunogen

    5-10 mg of > 70% pure peptide conjugated to KLH.
  • Applikationshinweise

    Optimal working dilution should be determined by the investigator.

    Beschränkungen

    Nur für Forschungszwecke einsetzbar
  • Format

    Liquid

    Lagerung

    4 °C,-20 °C

    Informationen zur Lagerung

    Store antibodies at 2-4°C before and at -20°C after rehydration. The product is stable for approximately 3-6 weeks after rehydration at -20°C or below.
  • Target

    INSL6 (Insulin-Like 6 (INSL6))

    Andere Bezeichnung

    INSL 6

    Pathways

    Hormone Activity
Sie sind hier:
Chat with us!