Telefon:
+49 (0)241 95 163 153
Fax:
+49 (0)241 95 163 155
E-Mail:
orders@antikoerper-online.de

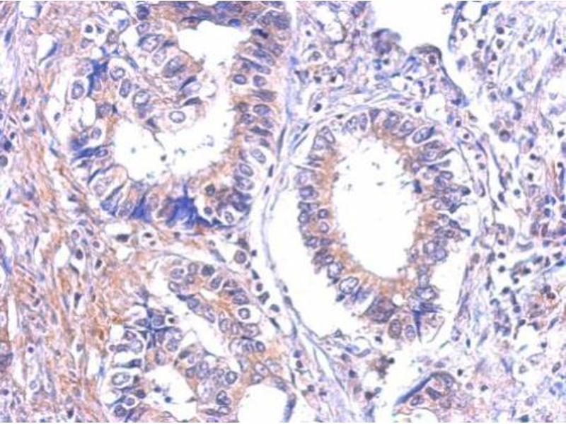
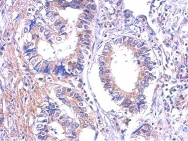
Leukotriene B4 Receptor/BLT Antikörper

Der Kaninchen Polyklonal anti-Leukotriene B4 Receptor/BLT Antikörper wird verwendet zum Nachweis von Leukotriene B4 Receptor/BLT in Proben von Human. Er wurde validiert für WB und IHC (p).
Produktnummer ABIN2857016
765,00 €
Zzgl. Versandkosten 20,00 € und MwSt
100 μL
Lieferung nach: Deutschland
Lieferung in 7 bis 10 Werktagen

Kurzübersicht für Leukotriene B4 Receptor/BLT Antikörper (ABIN2857016)

Target

Alle Leukotriene B4 Receptor/BLT (LTB4R) Antikörper anzeigen
Leukotriene B4 Receptor/BLT (LTB4R) (Leukotriene B4 Receptor (LTB4R))

Reaktivität

  • 54
  • 27
  • 27
  • 2
  • 1
  • 1
  • 1
Human

Wirt

  • 48
  • 7
Kaninchen

Klonalität

  • 37
  • 18
Polyklonal

Konjugat

  • 20
  • 3
  • 3
  • 2
  • 2
  • 2
  • 2
  • 2
  • 2
  • 2
  • 1
  • 1
  • 1
  • 1
  • 1
  • 1
  • 1
  • 1
  • 1
  • 1
  • 1
  • 1
  • 1
  • 1
  • 1
Dieser Leukotriene B4 Receptor/BLT Antikörper ist unkonjugiert

Applikation

  • 23
  • 19
  • 15
  • 13
  • 9
  • 9
  • 5
  • 2
  • 2
  • 1
Western Blotting (WB), Immunohistochemistry (Paraffin-embedded Sections) (IHC (p))
  • Kreuzreaktivität

    Human

    Produktmerkmale

    Rabbit Polyclonal antibody to P2Y7 (leukotriene B4 receptor)
    P2Y7 antibody [N3C2], Internal

    Aufreinigung

    Affinity purified by Protein A.

    Immunogen

    Carrier-protein conjugated synthetic peptide encompassing a sequence within the center region of human Leukotriene B4 Receptor. The exact sequence is proprietary.

    Isotyp

    IgG
  • Applikationshinweise

    WB: 1:500-1:3000. IHC-P: 1:100-1:1000. Optimal dilutions/concentrations should be determined by the researcher. Not tested in other applications.

    Kommentare

    Positive Control: HeLaS3

    Beschränkungen

    Nur für Forschungszwecke einsetzbar
  • Format

    Liquid

    Konzentration

    1 mg/mL

    Buffer

    1XPBS ( pH 7), 20 % Glycerol, 0.01 % Thimerosal

    Konservierungsmittel

    Thimerosal (Merthiolate)

    Vorsichtsmaßnahmen

    This product contains Thimerosal (Merthiolate): a POISONOUS AND HAZARDOUS SUBSTANCE which should be handled by trained staff only.

    Lagerung

    4 °C,-20 °C

    Informationen zur Lagerung

    Store as concentrated solution. Centrifuge briefly prior to opening vial. For short-term storage (1-2 weeks), store at 4°C. For long-term storage, aliquot and store at -20°C or below. Avoid multiple freeze-thaw cycles.
  • Target

    Leukotriene B4 Receptor/BLT (LTB4R) (Leukotriene B4 Receptor (LTB4R))

    Andere Bezeichnung

    leukotriene B4 receptor

    Hintergrund

    Receptor for extracellular ATP > UTP and ADP. The activity of this receptor is mediated by G proteins which activate a phosphatidylinositol-calcium second messenger system. May be the cardiac P2Y receptor involved in the regulation of cardiac muscle contraction through modulation of L-type calcium currents. Is a receptor for leukotriene B4, a potent chemoattractant involved in inflammation and immune response.

    Cellular Localization: Cell membrane, Multi-pass membrane protein

    Molekulargewicht

    38 kDa

    Gen-ID

    1241

    UniProt

    Q15722
Sie sind hier:
Chat with us!