Telefon:
+49 (0)241 95 163 153
Fax:
+49 (0)241 95 163 155
E-Mail:
orders@antikoerper-online.de

UFD1L Antikörper (full length)

Dieser Kaninchen Polyklonal Antikörper detektiert spezifisch UFD1L in WB, IF, ICC und IHC (p). Es zeigt Reaktivität gegenüber Proben von Human und Maus.
Produktnummer ABIN2856688
583,17 €
Zzgl. Versandkosten 20,00 € und MwSt
100 μL
Lieferung nach: Deutschland
Lieferung in 7 bis 10 Werktagen

Kurzübersicht für UFD1L Antikörper (full length) (ABIN2856688)

Target

Alle UFD1L Antikörper anzeigen
UFD1L (Ubiquitin Fusion Degradation Protein 1 Homolog (UFD1L))

Reaktivität

  • 55
  • 37
  • 37
  • 3
  • 3
  • 3
  • 3
  • 1
  • 1
  • 1
  • 1
Human, Maus

Wirt

  • 48
  • 6
Kaninchen

Klonalität

  • 36
  • 19
Polyklonal

Konjugat

  • 31
  • 2
  • 2
  • 1
  • 1
  • 1
  • 1
  • 1
  • 1
  • 1
  • 1
  • 1
  • 1
  • 1
  • 1
  • 1
  • 1
  • 1
  • 1
  • 1
  • 1
  • 1
  • 1
Dieser UFD1L Antikörper ist unkonjugiert

Applikation

  • 51
  • 17
  • 14
  • 13
  • 13
  • 12
  • 11
  • 6
  • 4
  • 1
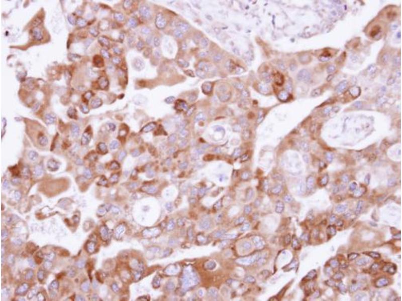
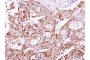
Western Blotting (WB), Immunofluorescence (IF), Immunocytochemistry (ICC), Immunohistochemistry (Paraffin-embedded Sections) (IHC (p))
  • Bindungsspezifität

    • 3
    • 3
    • 2
    • 2
    • 1
    • 1
    • 1
    • 1
    • 1
    • 1
    full length

    Kreuzreaktivität

    Rhesusaffen

    Kreuzreaktivität (Details)

    Rhesus Monkey (100 %)

    Produktmerkmale

    Rabbit Polyclonal antibody to UFD1L (ubiquitin fusion degradation 1 like (yeast))
    UFD1L antibody

    Aufreinigung

    Purified by antigen-affinity chromatography.

    Immunogen

    Full length human UFD1L Recombinant protein.

    Isotyp

    IgG
  • Applikationshinweise

    Suggested dilution Reference ICC/IF 1:100-1:1000* IHC (Formalin-fixed paraffin-embedded sections) 1:100-1:1000* Western blot 1:5000-1:20000* Not tested in other applications. *Optimal dilutions/concentrations should be determined by the researcher.Suggested dilutionReferenceICC/IF1:100-1:1000* IHC (Formalin-fixed paraffin-embedded sections)1:100-1:1000* Western blot1:5000-1:20000*

    Kommentare

    Positive Control: A431 , H1299 , mouse lung

    Beschränkungen

    Nur für Forschungszwecke einsetzbar
  • Format

    Liquid

    Konzentration

    1.02 mg/mL

    Buffer

    0.1M Tris, 0.1M Glycine, 10 % Glycerol ( pH 7). 0.01 % Thimerosal was added as a preservative.

    Konservierungsmittel

    Thimerosal (Merthiolate)

    Vorsichtsmaßnahmen

    This product contains Thimerosal (Merthiolate): a POISONOUS AND HAZARDOUS SUBSTANCE which should be handled by trained staff only.

    Lagerung

    -20 °C

    Informationen zur Lagerung

    Keep as concentrated solution. Aliquot and store at -20°C or below. Avoid multiple freeze-thaw cycles.
  • Target

    UFD1L (Ubiquitin Fusion Degradation Protein 1 Homolog (UFD1L))

    Andere Bezeichnung

    UFD1L

    Hintergrund

    The protein encoded by this gene forms a complex with two other proteins, NPL4 and VCP, that is necessary for the degradation of ubiquitinated proteins. In addition, this complex controls the disassembly of the mitotic spindle and the formation of a closed nuclear envelope after mitosis. Mutations in this gene have been associated with Catch 22 syndrome as well as cardiac and craniofacial defects. Alternative splicing results in multiple transcript variants encoding different isoforms.

    Cellular Localization: Nucleus (By similarity) , Cytoplasm , cytosol

    Molekulargewicht

    35 kDa

    Gen-ID

    7353
Sie sind hier:
Chat with us!