LITAF Antikörper
Kurzübersicht für LITAF Antikörper (ABIN2856656)
Target
Alle LITAF Antikörper anzeigenReaktivität
Wirt
Klonalität
Konjugat
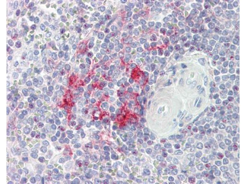
Applikation
-
-
Kreuzreaktivität
- Human
-
Produktmerkmale
-
Rabbit polyclonal antibody to LITAF (lipopolysaccharide-induced TNF factor)
LITAF antibody [N1C3] -
Aufreinigung
- Purified by antigen-affinity chromatography.
-
Immunogen
- Recombinant protein encompassing a sequence within the center region of human LITAF. The exact sequence is proprietary.
-
Isotyp
- IgG
-
-
-
-
Applikationshinweise
- WB: 1:500-1:3000. IHC-P: 1:100-1:1000. Optimal dilutions/concentrations should be determined by the researcher. Not tested in other applications.
-
Kommentare
-
Positive Control: HepG2
-
Beschränkungen
- Nur für Forschungszwecke einsetzbar
-
-
-
Format
- Liquid
-
Konzentration
- 1 mg/mL
-
Buffer
- 0.1M Tris-Glycine ( pH 7), 10 % Glycerol, 0.01 % Thimerosal
-
Konservierungsmittel
- Thimerosal (Merthiolate)
-
Vorsichtsmaßnahmen
- This product contains Thimerosal (Merthiolate): a POISONOUS AND HAZARDOUS SUBSTANCE which should be handled by trained staff only.
-
Lagerung
- 4 °C,-20 °C
-
Informationen zur Lagerung
- Store as concentrated solution. Centrifuge briefly prior to opening vial. For short-term storage (1-2 weeks), store at 4°C. For long-term storage, aliquot and store at -20°C or below. Avoid multiple freeze-thaw cycles.
-
-
- LITAF (Lipopolysaccharide-Induced Tumor Necrosis Factor-alpha Factor (LITAF))
-
Andere Bezeichnung
- lipopolysaccharide induced TNF factor
-
Hintergrund
-
Lipopolysaccharide is a potent stimulator of monocytes and macrophages, causing secretion of tumor necrosis factor-alpha (TNF-alpha) and other inflammatory mediators. This gene encodes lipopolysaccharide-induced TNF-alpha factor, which is a DNA-binding protein and can mediate the TNF-alpha expression by direct binding to the promoter region of the TNF-alpha gene. The transcription of this gene is induced by tumor suppresor p53 and has been implicated in the p53-induced apoptotic pathway. Mutations in this gene cause Charcot-Marie-Tooth disease type 1C (CMT1C) and may be involved in the carcinogenesis of extramammary Paget's disease (EMPD). Multiple alternatively spliced transcript variants have been found for this gene.
Cellular Localization: Lysosome membrane, Peripheral membrane protein, Cytoplasmic side -
Molekulargewicht
- 17 kDa
-
Gen-ID
- 9516
-
UniProt
- Q99732
-
Pathways
- Cellular Response to Molecule of Bacterial Origin
Target
-