RG9MTD3 Antikörper (Center)
Kurzübersicht für RG9MTD3 Antikörper (Center) (ABIN2856460)
Target
Alle RG9MTD3 Antikörper anzeigenReaktivität
Wirt
Klonalität
Konjugat
Applikation
-
-
Bindungsspezifität
- Center
-
Kreuzreaktivität
- Maus, Ratte (Rattus), Rind (Kuh)
-
Kreuzreaktivität (Details)
- Mouse (87 %), Rat (86 %), Bovine (91 %)
-
Produktmerkmale
-
Rabbit Polyclonal antibody to RG9MTD3 (RNA (guanine-9-) methyltransferase domain containing 3)
RG9MTD3 antibody [N2C3] -
Aufreinigung
- Purified by antigen-affinity chromatography.
-
Immunogen
- Recombinant protein encompassing a sequence within the center region of human RG9MTD3. The exact sequence is proprietary.
-
Isotyp
- IgG
-
-
-
-
Applikationshinweise
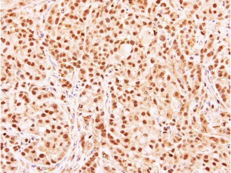
- Suggested dilution Reference IHC (Formalin-fixed paraffin-embedded sections) 1:100-1:1000* Western blot 1:500-1:3000* Not tested in other applications. *Optimal dilutions/concentrations should be determined by the researcher.Suggested dilutionReferenceIHC (Formalin-fixed paraffin-embedded sections)1:100-1:1000* Western blot1:500-1:3000*
-
Kommentare
-
Positive Control: Raji
-
Beschränkungen
- Nur für Forschungszwecke einsetzbar
-
-
-
Format
- Liquid
-
Konzentration
- 1 mg/mL
-
Buffer
- 0.1M Tris, 0.1M Glycine, 10 % Glycerol ( pH 7). 0.01 % Thimerosal was added as a preservative.
-
Konservierungsmittel
- Thimerosal (Merthiolate)
-
Vorsichtsmaßnahmen
- This product contains Thimerosal (Merthiolate): a POISONOUS AND HAZARDOUS SUBSTANCE which should be handled by trained staff only.
-
Lagerung
- -20 °C
-
Informationen zur Lagerung
- Keep as concentrated solution. Aliquot and store at -20°C or below. Avoid multiple freeze-thaw cycles.
-
-
- RG9MTD3 (RNA (Guanine-9-) Methyltransferase Domain Containing 3 (RG9MTD3))
-
Andere Bezeichnung
- RG9MTD3
-
Hintergrund
-
Probable RNA methyltransferase.
-
Molekulargewicht
- 36 kDa
-
Gen-ID
- 158234
Target
-