Telefon:
+49 (0)241 95 163 153
Fax:
+49 (0)241 95 163 155
E-Mail:
orders@antikoerper-online.de

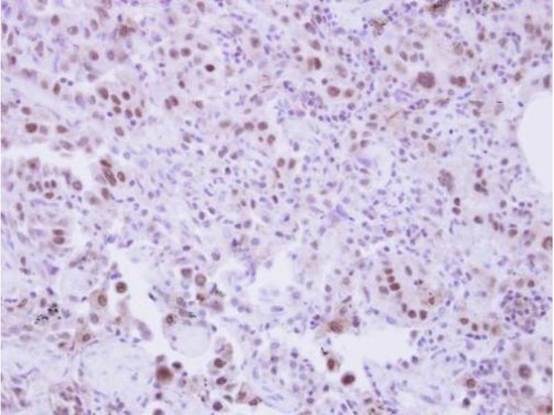
SLU7 Antikörper (C-Term)

Der Kaninchen Polyklonal anti-SLU7 Antikörper (ABIN2856450) detektiert spezifisch SLU7 in WB, IF, IHC (p) und ICC. Dieser Antikörper reagiert spezifisch mit Proben aus Human.
Produktnummer ABIN2856450
583,17 €
Zzgl. Versandkosten 20,00 € und MwSt
100 μL
Lieferung nach: Deutschland
Lieferung in 7 bis 10 Werktagen

Kurzübersicht für SLU7 Antikörper (C-Term) (ABIN2856450)

Target

Alle SLU7 Antikörper anzeigen
SLU7 (SLU7 Splicing Factor Homolog (SLU7))

Reaktivität

  • 49
  • 14
  • 12
  • 4
  • 4
  • 3
  • 3
  • 3
  • 3
  • 2
  • 2
  • 2
  • 2
  • 1
  • 1
  • 1
Human

Wirt

  • 44
  • 6
Kaninchen

Klonalität

  • 45
  • 5
Polyklonal

Konjugat

  • 27
  • 4
  • 3
  • 3
  • 1
  • 1
  • 1
  • 1
  • 1
  • 1
  • 1
  • 1
  • 1
  • 1
  • 1
  • 1
  • 1
Dieser SLU7 Antikörper ist unkonjugiert

Applikation

  • 45
  • 25
  • 13
  • 13
  • 5
  • 4
  • 4
  • 3
  • 3
  • 1
  • 1
  • 1
Western Blotting (WB), Immunofluorescence (IF), Immunohistochemistry (Paraffin-embedded Sections) (IHC (p)), Immunocytochemistry (ICC)
  • Bindungsspezifität

    • 15
    • 8
    • 6
    • 3
    • 2
    • 2
    • 1
    • 1
    • 1
    • 1
    • 1
    • 1
    • 1
    • 1
    • 1
    • 1
    • 1
    • 1
    • 1
    C-Term

    Kreuzreaktivität

    Human

    Produktmerkmale

    Rabbit Polyclonal antibody to SLU7 (SLU7 splicing factor homolog (S. cerevisiae))
    SLU7 antibody

    Aufreinigung

    Purified by antigen-affinity chromatography.

    Immunogen

    Recombinant protein encompassing a sequence within the C-terminus region of human SLU7. The exact sequence is proprietary.

    Isotyp

    IgG
  • Applikationshinweise

    WB: 1:5000-1:20000. ICC/IF: 1:100-1:1000. IHC-P: 1:100-1:1000. Optimal dilutions/concentrations should be determined by the researcher. Not tested in other applications.

    Kommentare

    Positive Control: 293T transfected SLU7 recombinant protein

    Beschränkungen

    Nur für Forschungszwecke einsetzbar
  • Format

    Liquid

    Konzentration

    1 mg/mL

    Buffer

    0.1M Tris-Glycine ( pH 7), 10 % Glycerol, 0.01 % Thimerosal

    Konservierungsmittel

    Thimerosal (Merthiolate)

    Vorsichtsmaßnahmen

    This product contains Thimerosal (Merthiolate): a POISONOUS AND HAZARDOUS SUBSTANCE which should be handled by trained staff only.

    Lagerung

    4 °C,-20 °C

    Informationen zur Lagerung

    Store as concentrated solution. Centrifuge briefly prior to opening vial. For short-term storage (1-2 weeks), store at 4°C. For long-term storage, aliquot and store at -20°C or below. Avoid multiple freeze-thaw cycles.
  • Target

    SLU7 (SLU7 Splicing Factor Homolog (SLU7))

    Andere Bezeichnung

    SLU7 homolog, splicing factor

    Substanzklasse

    Influenza Protein

    Hintergrund

    Pre-mRNA splicing occurs in two sequential transesterification steps. The protein encoded by this gene is a splicing factor that has been found to be essential during the second catalytic step in the pre-mRNA splicing process. It associates with the spliceosome and contains a zinc knuckle motif that is found in other splicing factors and is involved in protein-nucleic acid and protein-protein interactions.

    Cellular Localization: Nucleus , Cytoplasm

    Molekulargewicht

    68 kDa

    Gen-ID

    10569

    UniProt

    O95391

    Pathways

    Ribonucleoprotein Complex Subunit Organization, SARS-CoV-2 Protein Interaktom
Sie sind hier:
Chat with us!