FOXRED1 Antikörper
Kurzübersicht für FOXRED1 Antikörper (ABIN2856444)
Target
Alle FOXRED1 Antikörper anzeigenReaktivität
Wirt
Klonalität
Konjugat
Applikation
-
-
Kreuzreaktivität
- Human
-
Produktmerkmale
-
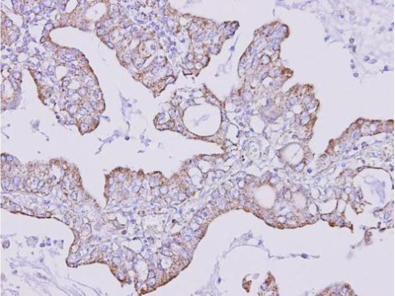
Rabbit Polyclonal antibody to FOXRED1 (FAD-dependent oxidoreductase domain containing 1)
FOXRED1 antibody [C1C3] -
Aufreinigung
- Purified by antigen-affinity chromatography.
-
Immunogen
- Recombinant protein encompassing a sequence within the center region of human FOXRED1. The exact sequence is proprietary.
-
Isotyp
- IgG
-
-
-
-
Applikationshinweise
- WB: 1:500-1:3000. IHC-P: 1:100-1:1000. Optimal dilutions/concentrations should be determined by the researcher. Not tested in other applications.
-
Kommentare
-
Positive Control: A431 , Raji
-
Beschränkungen
- Nur für Forschungszwecke einsetzbar
-
-
-
Format
- Liquid
-
Konzentration
- 1 mg/mL
-
Buffer
- 0.1M Tris-Glycine ( pH 7), 10 % Glycerol, 0.01 % Thimerosal
-
Konservierungsmittel
- Thimerosal (Merthiolate)
-
Vorsichtsmaßnahmen
- This product contains Thimerosal (Merthiolate): a POISONOUS AND HAZARDOUS SUBSTANCE which should be handled by trained staff only.
-
Lagerung
- 4 °C,-20 °C
-
Informationen zur Lagerung
- Store as concentrated solution. Centrifuge briefly prior to opening vial. For short-term storage (1-2 weeks), store at 4°C. For long-term storage, aliquot and store at -20°C or below. Avoid multiple freeze-thaw cycles.
-
-
- FOXRED1 (FAD-Dependent Oxidoreductase Domain Containing 1 (FOXRED1))
-
Andere Bezeichnung
- FAD dependent oxidoreductase domain containing 1
-
Hintergrund
-
This gene encodes a protein that contains a FAD-dependent oxidoreductase domain. The encoded protein is localized to the mitochondria and may function as a chaperone protein required for the function of mitochondrial complex I. Mutations in this gene are associated with mitochondrial complex I deficiency. Alternatively spliced transcript variants have been observed for this gene.
Cellular Localization: Membrane, Single-pass membrane protein -
Molekulargewicht
- 54 kDa
-
Gen-ID
- 55572
-
UniProt
- Q96CU9
Target
-