Telefon:
+49 (0)241 95 163 153
Fax:
+49 (0)241 95 163 155
E-Mail:
orders@antikoerper-online.de

Factor XI Antikörper

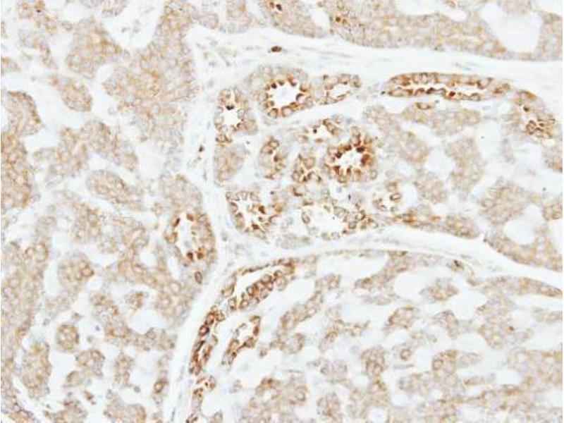
Der Kaninchen Polyklonal anti-Factor XI Antikörper wird verwendet zum Nachweis von Factor XI in Proben von Human. Er wurde validiert für WB und IHC (p).
Produktnummer ABIN2856233
583,17 €
Zzgl. Versandkosten 20,00 € und MwSt
100 μL
Lieferung nach: Deutschland
Lieferung in 7 bis 10 Werktagen

Kurzübersicht für Factor XI Antikörper (ABIN2856233)

Target

Alle Factor XI (F11) Antikörper anzeigen
Factor XI (F11) (Coagulation Factor XI (F11))

Reaktivität

  • 57
  • 6
  • 5
  • 1
  • 1
  • 1
  • 1
  • 1
  • 1
Human

Wirt

  • 36
  • 16
  • 6
  • 3
  • 2
Kaninchen

Klonalität

  • 46
  • 17
Polyklonal

Konjugat

  • 42
  • 5
  • 5
  • 4
  • 3
  • 3
  • 1
Dieser Factor XI Antikörper ist unkonjugiert

Applikation

  • 45
  • 26
  • 20
  • 13
  • 10
  • 9
  • 7
  • 4
  • 4
  • 4
  • 3
  • 2
  • 2
  • 2
  • 2
  • 1
  • 1
  • 1
Western Blotting (WB), Immunohistochemistry (Paraffin-embedded Sections) (IHC (p))
  • Kreuzreaktivität

    Human

    Produktmerkmale

    Rabbit Polyclonal antibody to Factor XI (coagulation factor XI)
    Factor XI antibody [N1N3]

    Aufreinigung

    Purified by antigen-affinity chromatography.

    Immunogen

    Recombinant protein encompassing a sequence within the center region of human Factor XI. The exact sequence is proprietary.

    Isotyp

    IgG
  • Applikationshinweise

    WB: 1:500-1:3000. IHC-P: 1:100-1:1000. Optimal dilutions/concentrations should be determined by the researcher. Not tested in other applications.

    Beschränkungen

    Nur für Forschungszwecke einsetzbar
  • Format

    Liquid

    Konzentration

    0.85 mg/mL

    Buffer

    1XPBS ( pH 7), 1 % BSA, 20 % Glycerol, 0.01 % Thimerosal

    Konservierungsmittel

    Thimerosal (Merthiolate)

    Vorsichtsmaßnahmen

    This product contains Thimerosal (Merthiolate): a POISONOUS AND HAZARDOUS SUBSTANCE which should be handled by trained staff only.

    Lagerung

    4 °C,-20 °C

    Informationen zur Lagerung

    Store as concentrated solution. Centrifuge briefly prior to opening vial. For short-term storage (1-2 weeks), store at 4°C. For long-term storage, aliquot and store at -20°C or below. Avoid multiple freeze-thaw cycles.
  • Target

    Factor XI (F11) (Coagulation Factor XI (F11))

    Andere Bezeichnung

    coagulation factor XI

    Hintergrund

    This gene encodes coagulation factor XI of the blood coagulation cascade. This protein is present in plasma as a zymogen, which is a unique plasma coagulation enzyme because it exists as a homodimer consisting of two identical polypeptide chains linked by disulfide bonds. During activation of the plasma factor XI, an internal peptide bond is cleaved by factor XIIa (or XII) in each of the two chains, resulting in activated factor XIa, a serine protease composed of two heavy and two light chains held together by disulfide bonds. This activated plasma factor XI triggers the middle phase of the intrisic pathway of blood coagulation by activating factor IX. Defects in this factor lead to Rosenthal syndrome, a blood coagulation abnormality.

    Cellular Localization: Secreted

    Molekulargewicht

    70 kDa

    Gen-ID

    2160

    UniProt

    P03951
Sie sind hier:
Chat with us!