Telefon:
+49 (0)241 95 163 153
Fax:
+49 (0)241 95 163 155
E-Mail:
orders@antikoerper-online.de

Glutathione Peroxidase 7 Antikörper

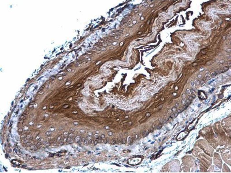
Der Kaninchen Polyklonal anti-Glutathione Peroxidase 7 Antikörper (ABIN2856159) detektiert spezifisch Glutathione Peroxidase 7 in WB und IHC (p). Dieser Antikörper reagiert spezifisch mit Proben aus Human.
Produktnummer ABIN2856159
583,17 €
Zzgl. Versandkosten 20,00 € und MwSt
100 μL
Lieferung nach: Deutschland
Lieferung in 7 bis 10 Werktagen

Kurzübersicht für Glutathione Peroxidase 7 Antikörper (ABIN2856159)

Target

Alle Glutathione Peroxidase 7 (GPX7) Antikörper anzeigen
Glutathione Peroxidase 7 (GPX7)

Reaktivität

  • 28
  • 4
  • 3
  • 2
  • 1
  • 1
  • 1
  • 1
  • 1
  • 1
Human

Wirt

  • 24
  • 4
  • 1
Kaninchen

Klonalität

  • 27
  • 2
Polyklonal

Konjugat

  • 20
  • 3
  • 2
  • 1
  • 1
  • 1
  • 1
Dieser Glutathione Peroxidase 7 Antikörper ist unkonjugiert

Applikation

  • 17
  • 8
  • 7
  • 6
  • 5
  • 4
  • 4
  • 2
  • 2
  • 1
  • 1
  • 1
  • 1
  • 1
Western Blotting (WB), Immunohistochemistry (Paraffin-embedded Sections) (IHC (p))
  • Kreuzreaktivität

    Human, Maus

    Produktmerkmale

    Rabbit polyclonal antibody to Glutathione peroxidase 7 (glutathione peroxidase 7)
    GPX7 antibody [N1C3]

    Aufreinigung

    Purified by antigen-affinity chromatography.

    Immunogen

    Recombinant protein encompassing a sequence within the center region of human GPX7. The exact sequence is proprietary.

    Isotyp

    IgG
  • Applikationshinweise

    WB: 1:500-1:3000. IHC-P: 1:100-1:1000. Optimal dilutions/concentrations should be determined by the researcher. Not tested in other applications.

    Kommentare

    Positive Control: GPX7 transfected 293T

    Beschränkungen

    Nur für Forschungszwecke einsetzbar
  • Format

    Liquid

    Konzentration

    0.52 mg/mL

    Buffer

    0.1M Tris-Glycine ( pH 7), 10 % Glycerol, 0.01 % Thimerosal

    Konservierungsmittel

    Thimerosal (Merthiolate)

    Vorsichtsmaßnahmen

    This product contains Thimerosal (Merthiolate): a POISONOUS AND HAZARDOUS SUBSTANCE which should be handled by trained staff only.

    Lagerung

    4 °C,-20 °C

    Informationen zur Lagerung

    Store as concentrated solution. Centrifuge briefly prior to opening vial. For short-term storage (1-2 weeks), store at 4°C. For long-term storage, aliquot and store at -20°C or below. Avoid multiple freeze-thaw cycles.
  • Target

    Glutathione Peroxidase 7 (GPX7)

    Andere Bezeichnung

    glutathione peroxidase 7

    Hintergrund

    Cellular Localization: Secreted

    Molekulargewicht

    21 kDa

    Gen-ID

    2882

    UniProt

    Q96SL4

    Pathways

    Thyroid Hormone Synthesis
Sie sind hier:
Chat with us!